Suppr超能文献

成熟性畸胎瘤综合征的急诊处理:病例报告

Emergent Management of Growing Teratoma Syndrome: A Case Presentation.

作者信息

Nimodia Devyansh, Parihar Pratap, Nagendra Vadlamudi, Gowda Harshith, Desale Prasad

机构信息

Radiodiagnosis, Jawaharlal Nehru Medical College, Datta Meghe Institute of Higher Education and Research, Wardha, IND.

出版信息

Cureus. 2024 Apr 30;16(4):e59335. doi: 10.7759/cureus.59335. eCollection 2024 Apr.

Abstract

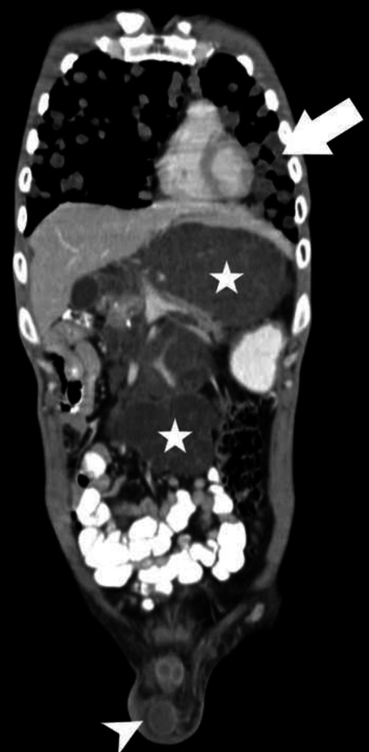
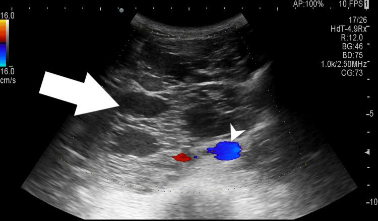
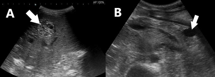
Growing teratoma syndrome (GTS) represents a rare yet significant complication following treatment for non-seminomatous germ cell tumors (NSGCT), characterized by the growth of mature teratoma elements despite prior chemotherapy. We present the case of a 30-year-old male who, following orchidectomy for NSGCT and subsequent chemotherapy, developed acute abdominal pain and pulmonary metastasis. Despite normal serum tumor markers, imaging revealed a large retroperitoneal mass encasing significant vessels. Surgical excision led to symptom resolution. This case underscores the diagnostic challenges GTS poses, the importance of imaging in diagnosis, and the efficacy of prompt surgical intervention in achieving favorable outcomes.

摘要

成熟性畸胎瘤综合征(GTS)是非精原细胞性生殖细胞肿瘤(NSGCT)治疗后一种罕见但严重的并发症,其特征是尽管先前进行了化疗,但仍有成熟畸胎瘤成分生长。我们报告了一例30岁男性病例,该患者因NSGCT接受睾丸切除术后并进行了后续化疗,出现了急性腹痛和肺转移。尽管血清肿瘤标志物正常,但影像学检查显示一个巨大的腹膜后肿块包绕了重要血管。手术切除后症状得以缓解。该病例强调了GTS带来的诊断挑战、影像学在诊断中的重要性以及及时手术干预在取得良好预后方面的有效性。

https://cdn.ncbi.nlm.nih.gov/pmc/blobs/d2a3/11137605/17d7e2a29bb9/cureus-0016-00000059335-i01.jpg

文献AI研究员

20分钟写一篇综述,助力文献阅读效率提升50倍。

立即体验

用中文搜PubMed

大模型驱动的PubMed中文搜索引擎

马上搜索

文档翻译

学术文献翻译模型,支持多种主流文档格式。

立即体验