Suppr超能文献

一例以隐匿性周边发病和向心性进展为特征的急性区域性隐匿性外层视网膜病变变异型病例。

A Case of an Acute Zonal Occult Outer Retinopathy Variant Characterized With an Insidious Peripheral Onset and Centripetal Progression.

作者信息

Ünlü Barbaros Hayrettin, Karti Omer, Saatci Ali O

机构信息

Department of Ophthalmology, Dokuz Eylül University, Izmir, TUR.

出版信息

Cureus. 2024 May 3;16(5):e59600. doi: 10.7759/cureus.59600. eCollection 2024 May.

Abstract

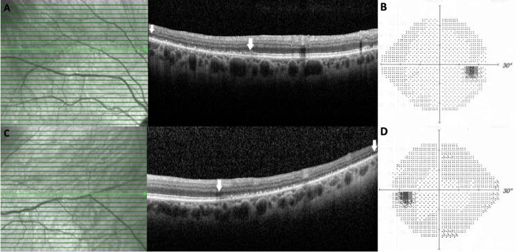
Acute zonal occult outer retinopathy (AZOOR) manifests as the rapid loss of one or multiple large zones of the outer retinal layers, often with a distinct sectoral distribution. Subtle fundus changes, such as pigmentary alterations around the optic nerve, are typically present in the early stages. Disease progression is characterized by the appearance of well-defined atrophic zones involving the outer retina, retinal pigment epithelium, and choroid. AZOOR lesions typically begin in the peripapillary region and then spread centrifugally toward the peripheral fundus. In this case report, we present the clinical and multimodal imaging characteristics of a 63-year-old woman with a symmetrical, peripheral-onset AZOOR variant with a very slow centrifugal progression. Most notably, the posterior pole was unaffected bilaterally.

摘要

急性区域性隐匿性外层视网膜病变(AZOOR)表现为外层视网膜多个大区域迅速丧失,常呈明显的扇形分布。早期通常会出现细微的眼底改变,如视神经周围的色素改变。疾病进展的特征是出现累及外层视网膜、视网膜色素上皮和脉络膜的界限清晰的萎缩区。AZOOR病变通常始于视乳头周围区域,然后离心性地向周边眼底扩散。在本病例报告中,我们呈现了一名63岁女性患者的临床和多模态影像学特征,该患者患有对称性、周边起病的AZOOR变异型,离心性进展非常缓慢。最值得注意的是,双侧后极部未受影响。

https://cdn.ncbi.nlm.nih.gov/pmc/blobs/6f9c/11144451/51dcf04d6603/cureus-0016-00000059600-i01.jpg

文献AI研究员

20分钟写一篇综述,助力文献阅读效率提升50倍。

立即体验

用中文搜PubMed

大模型驱动的PubMed中文搜索引擎

马上搜索

文档翻译

学术文献翻译模型,支持多种主流文档格式。

立即体验