• 文献检索
  • 文档翻译
  • 深度研究
  • 学术资讯
  • Suppr Zotero 插件Zotero 插件
  • 邀请有礼
  • 套餐&价格
  • 历史记录
应用&插件
Suppr Zotero 插件Zotero 插件浏览器插件Mac 客户端Windows 客户端微信小程序
定价
高级版会员购买积分包购买API积分包
服务
文献检索文档翻译深度研究API 文档MCP 服务
关于我们
关于 Suppr公司介绍联系我们用户协议隐私条款
关注我们

Suppr 超能文献

核心技术专利:CN118964589B侵权必究
粤ICP备2023148730 号-1Suppr @ 2026

文献检索

告别复杂PubMed语法,用中文像聊天一样搜索,搜遍4000万医学文献。AI智能推荐,让科研检索更轻松。

立即免费搜索

文件翻译

保留排版,准确专业,支持PDF/Word/PPT等文件格式,支持 12+语言互译。

免费翻译文档

深度研究

AI帮你快速写综述,25分钟生成高质量综述,智能提取关键信息,辅助科研写作。

立即免费体验

皮质类固醇对黏膜肥大细胞蛋白酶的消耗:对大鼠肠道过敏反应的影响。

Depletion of mucosal mast cell protease by corticosteroids: effect on intestinal anaphylaxis in the rat.

作者信息

King S J, Miller H R, Newlands G F, Woodbury R G

出版信息

Proc Natl Acad Sci U S A. 1985 Feb;82(4):1214-8. doi: 10.1073/pnas.82.4.1214.

DOI:10.1073/pnas.82.4.1214
PMID:3883354
原文链接:https://pmc.ncbi.nlm.nih.gov/articles/PMC397225/
Abstract

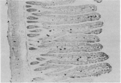
Rats primed by infection with the intestinal nematode Nippostrongylus brasiliensis and challenged intravenously with soluble whole-worm antigen undergo systemic anaphylactic shock. The primary lesions are in the gut and include increased permeability of the mucosa together with release, into enteric secretions, of a mucosal mast cell (MMC)-specific serine proteinase, rat mast cell protease II (RMCP-II). This enzyme is also released into the blood of shocked rats. These manifestations of anaphylaxis were abolished in rats previously treated with corticosteroids (methylprednisolone acetate, 25 mg per kg of body weight, 48 and 24 hr before i.v. challenge with antigen). Suppression of the response was associated with depletion of RMCP-II and of MMC from the intestinal mucosa. Depletion occurred 4-24 hr after treatment with as little as 1 mg of methylprednisolone per kg. By contrast, neither connective tissue mast cells nor serum levels of parasite-specific IgE were depleted in rats given 2 X 25 mg of methylprednisolone per kg. The capacity of unprimed treated rats to mount passive cutaneous anaphylaxis was, however, impaired.

摘要

经巴西日圆线虫肠道线虫感染致敏的大鼠,静脉注射可溶性全虫抗原后会发生全身性过敏性休克。主要病变发生在肠道,包括粘膜通透性增加,以及一种粘膜肥大细胞(MMC)特异性丝氨酸蛋白酶——大鼠肥大细胞蛋白酶II(RMCP-II)释放到肠分泌物中。这种酶也会释放到休克大鼠的血液中。在用皮质类固醇(醋酸甲泼尼龙,每公斤体重25毫克,在静脉注射抗原前48小时和24小时)预先处理的大鼠中,这些过敏反应表现被消除。反应的抑制与RMCP-II和MMC从肠粘膜中耗竭有关。在每公斤仅用1毫克甲泼尼龙治疗后4至24小时发生耗竭。相比之下,每公斤给予2×25毫克甲泼尼龙的大鼠中,结缔组织肥大细胞和寄生虫特异性IgE的血清水平均未耗竭。然而,未致敏的经处理大鼠引发被动皮肤过敏反应的能力受损。

https://cdn.ncbi.nlm.nih.gov/pmc/blobs/9aa4/397225/38df53492b76/pnas00344-0269-b.jpg
https://cdn.ncbi.nlm.nih.gov/pmc/blobs/9aa4/397225/0f47f7edc667/pnas00344-0269-a.jpg
https://cdn.ncbi.nlm.nih.gov/pmc/blobs/9aa4/397225/38df53492b76/pnas00344-0269-b.jpg
https://cdn.ncbi.nlm.nih.gov/pmc/blobs/9aa4/397225/0f47f7edc667/pnas00344-0269-a.jpg
https://cdn.ncbi.nlm.nih.gov/pmc/blobs/9aa4/397225/38df53492b76/pnas00344-0269-b.jpg

相似文献

1
Depletion of mucosal mast cell protease by corticosteroids: effect on intestinal anaphylaxis in the rat.皮质类固醇对黏膜肥大细胞蛋白酶的消耗:对大鼠肠道过敏反应的影响。
Proc Natl Acad Sci U S A. 1985 Feb;82(4):1214-8. doi: 10.1073/pnas.82.4.1214.
2
Gut mucosal mast cells in Nippostrongylus-primed rats are the major source of secreted rat mast cell protease II following systemic anaphylaxis.在经日本圆线虫致敏的大鼠中,肠道黏膜肥大细胞是全身性过敏反应后分泌的大鼠肥大细胞蛋白酶II的主要来源。
Eur J Immunol. 1986 Feb;16(2):151-5. doi: 10.1002/eji.1830160208.
3
Release of the mucosal mast cell granule chymase, rat mast cell protease-II, during anaphylaxis is associated with the rapid development of paracellular permeability to macromolecules in rat jejunum.在过敏反应期间,黏膜肥大细胞颗粒糜酶(大鼠肥大细胞蛋白酶-II)的释放与大鼠空肠中大分子物质经细胞旁途径通透性的快速增加有关。
J Exp Med. 1995 Dec 1;182(6):1871-81. doi: 10.1084/jem.182.6.1871.
4
Anaphylactic release of mucosal mast cell protease and its relationship to gut permeability in Nippostrongylus-primed rats.日本圆线虫致敏大鼠黏膜肥大细胞蛋白酶的过敏反应性释放及其与肠道通透性的关系
Immunology. 1984 Apr;51(4):653-60.
5
Basal secretion and anaphylactic release of rat mast cell protease-II (RMCP-II) from ex vivo perfused rat jejunum: translocation of RMCP-II into the gut lumen and its relation to mucosal histology.大鼠肥大细胞蛋白酶-II(RMCP-II)从离体灌注的大鼠空肠中的基础分泌和过敏反应释放:RMCP-II向肠腔内的转运及其与黏膜组织学的关系
Gut. 1995 Aug;37(2):235-41. doi: 10.1136/gut.37.2.235.
6
The presence in blood of both glycosaminoglycan and mucosal mast cell protease following systemic anaphylaxis in the rat.大鼠全身过敏反应后血液中糖胺聚糖和黏膜肥大细胞蛋白酶的存在情况。
Int Arch Allergy Appl Immunol. 1985;76(3):286-8. doi: 10.1159/000233707.
7
Systemic release of mucosal mast-cell protease in primed rats challenged with Nippostrongylus brasiliensis.用巴西日圆线虫攻击致敏大鼠后黏膜肥大细胞蛋白酶的全身释放
Immunology. 1983 Jul;49(3):471-9.
8
Quantitative analysis of mucosal mast cell protease in the intestines of Nippostrongylus-infected rats.感染类圆线虫大鼠肠道中黏膜肥大细胞蛋白酶的定量分析
Immunology. 1982 Jul;46(3):487-95.
9
The effect of protein deficiency on systemic release of rat mucosal mast cell protease II during Nippostrongylus brasiliensis infection and following systemic anaphylaxis.蛋白质缺乏对巴西日圆线虫感染期间及全身性过敏反应后大鼠黏膜肥大细胞蛋白酶II全身释放的影响。
Immunol Cell Biol. 1987 Aug;65 ( Pt 4):357-63. doi: 10.1038/icb.1987.40.
10
Stem cell factor contributes to intestinal mucosal mast cell hyperplasia in rats infected with Nippostrongylus brasiliensis or Trichinella spiralis, but anti-stem cell factor treatment decreases parasite egg production during N brasiliensis infection.干细胞因子有助于感染巴西日圆线虫或旋毛虫的大鼠肠道黏膜肥大细胞增生,但抗干细胞因子治疗可减少巴西日圆线虫感染期间的寄生虫产卵量。
Blood. 1995 Sep 1;86(5):1968-76.

引用本文的文献

1
Food allergy: begin at the skin, end at the mast cell?食物过敏:始于皮肤,终于肥大细胞?
Nat Rev Immunol. 2025 Jun 26. doi: 10.1038/s41577-025-01185-y.
2
Mast Cell and Basophil Granule Proteases - Targets and Function.肥大细胞和嗜碱性粒细胞颗粒蛋白酶 - 靶点与功能。
Front Immunol. 2022 Jul 5;13:918305. doi: 10.3389/fimmu.2022.918305. eCollection 2022.
3
Dysregulation of intestinal epithelial CFTR-dependent Cl ion transport and paracellular barrier function drives gastrointestinal symptoms of food-induced anaphylaxis in mice.

本文引用的文献

1
Influence of ACTH and cortisone upon alteration in capillary permeability induced by hyaluronidase in rats.促肾上腺皮质激素和可的松对透明质酸酶诱导的大鼠毛细血管通透性改变的影响。
Proc Soc Exp Biol Med. 1950 Dec;75(3):782-4. doi: 10.3181/00379727-75-18341.
2
Anaphylactic shock in the albino rat.白化大鼠的过敏性休克
J Physiol. 1958 Aug 6;142(3):571-84. doi: 10.1113/jphysiol.1958.sp006037.
3
Adoptive transfer of total and parasite-specific IgE responses in rats infected with Nippostrongylus brasiliensis.对感染巴西日圆线虫的大鼠进行总 IgE 反应和寄生虫特异性 IgE 反应的过继转移。
肠道上皮细胞 CFTR 依赖性 Cl-离子转运和细胞旁屏障功能失调导致食物诱导的小鼠过敏反应的胃肠道症状。
Mucosal Immunol. 2021 Jan;14(1):135-143. doi: 10.1038/s41385-020-0306-6. Epub 2020 Jun 23.
4
Suppression of IgE-Independent Degranulation of Murine Connective Tissue-Type Mast Cells by Dexamethasone.地塞米松抑制小鼠结缔组织型肥大细胞 IgE 非依赖性脱颗粒。
Cells. 2019 Feb 1;8(2):112. doi: 10.3390/cells8020112.
5
Dexamethasone prevents visceral hyperalgesia but not colonic permeability increase induced by luminal protease-activated receptor-2 agonist in rats.地塞米松可预防大鼠内脏痛觉过敏,但不能预防由肠腔蛋白酶激活受体-2激动剂诱导的结肠通透性增加。
Gut. 2007 Aug;56(8):1072-8. doi: 10.1136/gut.2006.115352. Epub 2007 Feb 19.
6
Effects of anti-allergic drugs on intestinal mastocytosis and worm expulsion of rats infected with Neodiplostomum seoulense.抗过敏药物对感染首尔新双口吸虫的大鼠肠道肥大细胞增多症及驱虫效果的影响。
Korean J Parasitol. 2003 Jun;41(2):81-7. doi: 10.3347/kjp.2003.41.2.81.
7
Gastric inflammation during systemic anaphylaxis: neutrophil recruitment in stomach wall of mice does not require mast cell participation.全身性过敏反应期间的胃炎症:小鼠胃壁中的中性粒细胞募集不需要肥大细胞参与。
Dig Dis Sci. 1998 Sep;43(9):2021-7. doi: 10.1023/a:1018851012940.
8
Glucocorticoids decrease tissue mast cell number by reducing the production of the c-kit ligand, stem cell factor, by resident cells: in vitro and in vivo evidence in murine systems.糖皮质激素通过减少驻留细胞产生c-kit配体(干细胞因子)来降低组织肥大细胞数量:小鼠系统中的体外和体内证据。
J Clin Invest. 1997 Apr 1;99(7):1721-8. doi: 10.1172/JCI119336.
9
Developmental changes in intestinal globule leukocytes of normal rats.正常大鼠肠道球状白细胞的发育变化
Cell Tissue Res. 1993 Sep;273(3):447-55. doi: 10.1007/BF00333699.
10
Fasting or dexamethasone treatment reduce protease content in rat lung mast cells and modulation of histamine synthesis by H3 receptors.禁食或地塞米松治疗可降低大鼠肺肥大细胞中的蛋白酶含量以及H3受体对组胺合成的调节作用。
Agents Actions. 1994 Aug;42(1-2):7-12. doi: 10.1007/BF02014292.
Immunology. 1981 Sep;44(1):119-23.
4
Quantitative analysis of mucosal mast cell protease in the intestines of Nippostrongylus-infected rats.感染类圆线虫大鼠肠道中黏膜肥大细胞蛋白酶的定量分析
Immunology. 1982 Jul;46(3):487-95.
5
Structure, specificity and localization of the serine proteases of connective tissue.结缔组织丝氨酸蛋白酶的结构、特异性及定位
FEBS Lett. 1980 Jun 2;114(2):189-96. doi: 10.1016/0014-5793(80)81112-4.
6
A phospholipase A2 inhibitory protein in rabbit neutrophils induced by glucocorticoids.糖皮质激素诱导的兔中性粒细胞中的一种磷脂酶A2抑制蛋白。
Proc Natl Acad Sci U S A. 1980 May;77(5):2533-6. doi: 10.1073/pnas.77.5.2533.
7
Macrocortin: a polypeptide causing the anti-phospholipase effect of glucocorticoids.巨皮质素:一种引起糖皮质激素抗磷脂酶作用的多肽。
Nature. 1980 Sep 11;287(5778):147-9. doi: 10.1038/287147a0.
8
Anaphylactic release of mucosal mast cell protease and its relationship to gut permeability in Nippostrongylus-primed rats.日本圆线虫致敏大鼠黏膜肥大细胞蛋白酶的过敏反应性释放及其与肠道通透性的关系
Immunology. 1984 Apr;51(4):653-60.
9
Inhibition of phospholipase.磷脂酶的抑制作用。
Br Med Bull. 1983 Jul;39(3):260-4. doi: 10.1093/oxfordjournals.bmb.a071830.
10
Systemic release of mucosal mast-cell protease in primed rats challenged with Nippostrongylus brasiliensis.用巴西日圆线虫攻击致敏大鼠后黏膜肥大细胞蛋白酶的全身释放
Immunology. 1983 Jul;49(3):471-9.