Suppr超能文献

Atlastin-1 调节人皮质神经元内体小管化和溶酶体蛋白水解。

Atlastin-1 regulates endosomal tubulation and lysosomal proteolysis in human cortical neurons.

机构信息

Cambridge Institute for Medical Research, University of Cambridge, Cambridge, UK; Department of Medical Genetics, University of Cambridge, Cambridge, UK.

Department of Biotechnology, University of Verona, Verona, Italy.

出版信息

Neurobiol Dis. 2024 Sep;199:106556. doi: 10.1016/j.nbd.2024.106556. Epub 2024 Jun 6.

Abstract

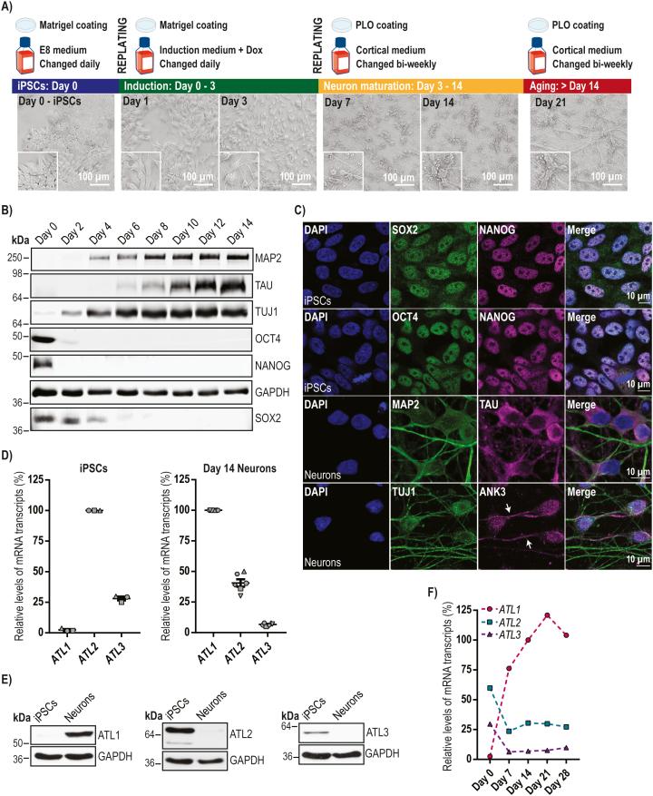
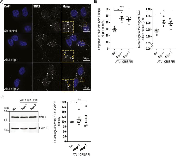
Mutation of the ATL1 gene is one of the most common causes of hereditary spastic paraplegia (HSP), a group of genetic neurodegenerative conditions characterised by distal axonal degeneration of the corticospinal tract axons. Atlastin-1, the protein encoded by ATL1, is one of three mammalian atlastins, which are homologous dynamin-like GTPases that control endoplasmic reticulum (ER) morphology by fusing tubules to form the three-way junctions that characterise ER networks. However, it is not clear whether atlastin-1 is required for correct ER morphology in human neurons and if so what the functional consequences of lack of atlastin-1 are. Using CRISPR-inhibition we generated human cortical neurons lacking atlastin-1. We demonstrate that ER morphology was altered in these neurons, with a reduced number of three-way junctions. Neurons lacking atlastin-1 had longer endosomal tubules, suggestive of defective tubule fission. This was accompanied by reduced lysosomal proteolytic capacity. As well as demonstrating that atlastin-1 is required for correct ER morphology in human neurons, our results indicate that lack of a classical ER-shaping protein such as atlastin-1 may cause altered endosomal tubulation and lysosomal proteolytic dysfunction. Furthermore, they strengthen the idea that defective lysosome function contributes to the pathogenesis of a broad group of HSPs, including those where the primary localisation of the protein involved is not at the endolysosomal system.

摘要

ATL1 基因突变是遗传性痉挛性截瘫(HSP)最常见的原因之一,HSP 是一组遗传性神经退行性疾病,其特征是皮质脊髓束轴突的远端轴突变性。ATL1 基因编码的蛋白——atlastin-1 是三种哺乳动物 atlastin 之一,它是一种类似于 dynamin 的 GTP 酶,通过融合小管形成三向接头来控制内质网(ER)的形态,三向接头是 ER 网络的特征。然而,目前尚不清楚 atlastin-1 是否是人类神经元中正确 ER 形态所必需的,如果是,那么缺乏 atlastin-1 的功能后果是什么。我们使用 CRISPR 抑制技术生成了缺乏 atlastin-1 的人类皮质神经元。我们证明这些神经元中的 ER 形态发生了改变,三向接头的数量减少。缺乏 atlastin-1 的神经元有更长的内体小管,提示小管分裂有缺陷。这伴随着溶酶体蛋白水解能力的降低。我们的研究结果不仅证明了 atlastin-1 是人类神经元中正确 ER 形态所必需的,还表明缺乏经典的 ER 塑形蛋白(如 atlastin-1)可能导致内体小管化和溶酶体蛋白水解功能障碍。此外,它们进一步证实了溶酶体功能缺陷导致广泛 HSP 发病机制的观点,包括那些涉及的蛋白主要定位于内溶酶体系统之外的 HSP。

https://cdn.ncbi.nlm.nih.gov/pmc/blobs/b93d/11300884/615d6577e074/gr1.jpg

文献AI研究员

20分钟写一篇综述,助力文献阅读效率提升50倍。

立即体验

用中文搜PubMed

大模型驱动的PubMed中文搜索引擎

马上搜索

文档翻译

学术文献翻译模型,支持多种主流文档格式。

立即体验