• 文献检索
  • 文档翻译
  • 深度研究
  • 学术资讯
  • Suppr Zotero 插件Zotero 插件
  • 邀请有礼
  • 套餐&价格
  • 历史记录
应用&插件
Suppr Zotero 插件Zotero 插件浏览器插件Mac 客户端Windows 客户端微信小程序
定价
高级版会员购买积分包购买API积分包
服务
文献检索文档翻译深度研究API 文档MCP 服务
关于我们
关于 Suppr公司介绍联系我们用户协议隐私条款
关注我们

Suppr 超能文献

核心技术专利:CN118964589B侵权必究
粤ICP备2023148730 号-1Suppr @ 2026

文献检索

告别复杂PubMed语法,用中文像聊天一样搜索,搜遍4000万医学文献。AI智能推荐,让科研检索更轻松。

立即免费搜索

文件翻译

保留排版,准确专业,支持PDF/Word/PPT等文件格式,支持 12+语言互译。

免费翻译文档

深度研究

AI帮你快速写综述,25分钟生成高质量综述,智能提取关键信息,辅助科研写作。

立即免费体验

鼻咽癌:连接生前和死后发现以突出一例罕见的EB病毒和人乳头瘤病毒阴性病例

Nasopharyngeal Carcinoma: Connecting Antemortem and Postmortem Findings to Highlight a Rare Case of EBV and HPV Negativity.

作者信息

Auen Thomas, Talmon Geoffrey

机构信息

University of Nebraska Medical Center Department of Pathology, Microbiology, and Immunology 983135 Nebraska Medical Center Medical Science Building, 3rd Floor, Omaha, NE 68198, USA.

出版信息

Case Rep Pathol. 2024 Jun 10;2024:8881912. doi: 10.1155/2024/8881912. eCollection 2024.

DOI:10.1155/2024/8881912
PMID:38962102
原文链接:https://pmc.ncbi.nlm.nih.gov/articles/PMC11221976/
Abstract

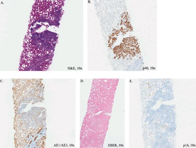
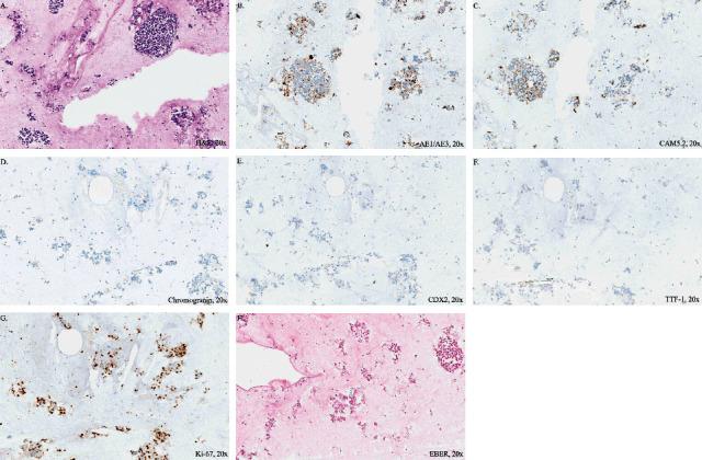
Nasopharyngeal carcinoma is an endemic entity with a strong association with Epstein-Barr virus and a new recognition of human papilloma virus-mediated effects in nonendemic areas. Here, we discuss a nasopharyngeal carcinoma suspected as based on imaging results with metastasis to the lymph nodes, lung, spleen, bone, and liver. Gross and microscopic findings from the autopsy were clinicopathologically correlated with antemortem clinical studies and investigations. The authors report a case of EBV- and HPV-negative nonendemic, multisite metastatic nasopharyngeal carcinoma, shown to be nonkeratinizing undifferentiated subtype.

摘要

鼻咽癌是一种地方病实体,与爱泼斯坦-巴尔病毒密切相关,并且在非流行地区对人乳头瘤病毒介导的效应有了新的认识。在此,我们讨论一例根据影像学结果怀疑为鼻咽癌且伴有淋巴结、肺、脾、骨和肝转移的病例。尸检的大体和显微镜检查结果与生前临床研究及调查进行了临床病理相关性分析。作者报告了一例爱泼斯坦-巴尔病毒和人乳头瘤病毒均为阴性的非地方性、多部位转移的鼻咽癌病例,显示为非角化未分化亚型。

https://cdn.ncbi.nlm.nih.gov/pmc/blobs/a4d4/11221976/b067fcc230d0/CRIPA2024-8881912.006.jpg
https://cdn.ncbi.nlm.nih.gov/pmc/blobs/a4d4/11221976/9e30a81baaac/CRIPA2024-8881912.001.jpg
https://cdn.ncbi.nlm.nih.gov/pmc/blobs/a4d4/11221976/1ba58c4ad48f/CRIPA2024-8881912.002.jpg
https://cdn.ncbi.nlm.nih.gov/pmc/blobs/a4d4/11221976/3e833e096db4/CRIPA2024-8881912.003.jpg
https://cdn.ncbi.nlm.nih.gov/pmc/blobs/a4d4/11221976/ac86c518326e/CRIPA2024-8881912.004.jpg
https://cdn.ncbi.nlm.nih.gov/pmc/blobs/a4d4/11221976/9f2ec21f6e43/CRIPA2024-8881912.005.jpg
https://cdn.ncbi.nlm.nih.gov/pmc/blobs/a4d4/11221976/b067fcc230d0/CRIPA2024-8881912.006.jpg
https://cdn.ncbi.nlm.nih.gov/pmc/blobs/a4d4/11221976/9e30a81baaac/CRIPA2024-8881912.001.jpg
https://cdn.ncbi.nlm.nih.gov/pmc/blobs/a4d4/11221976/1ba58c4ad48f/CRIPA2024-8881912.002.jpg
https://cdn.ncbi.nlm.nih.gov/pmc/blobs/a4d4/11221976/3e833e096db4/CRIPA2024-8881912.003.jpg
https://cdn.ncbi.nlm.nih.gov/pmc/blobs/a4d4/11221976/ac86c518326e/CRIPA2024-8881912.004.jpg
https://cdn.ncbi.nlm.nih.gov/pmc/blobs/a4d4/11221976/9f2ec21f6e43/CRIPA2024-8881912.005.jpg
https://cdn.ncbi.nlm.nih.gov/pmc/blobs/a4d4/11221976/b067fcc230d0/CRIPA2024-8881912.006.jpg

相似文献

1
Nasopharyngeal Carcinoma: Connecting Antemortem and Postmortem Findings to Highlight a Rare Case of EBV and HPV Negativity.鼻咽癌:连接生前和死后发现以突出一例罕见的EB病毒和人乳头瘤病毒阴性病例
Case Rep Pathol. 2024 Jun 10;2024:8881912. doi: 10.1155/2024/8881912. eCollection 2024.
2
Retrospective analysis of oncogenic human papilloma virus and Epstein-Barr virus prevalence in Turkish nasopharyngeal cancer patients.土耳其鼻咽癌患者致癌性人乳头瘤病毒和爱泼斯坦-巴尔病毒感染率的回顾性分析
Pathol Res Pract. 2016 Nov;212(11):1021-1026. doi: 10.1016/j.prp.2016.08.013. Epub 2016 Sep 3.
3
Epstein-Barr virus and human papillomaviruses as favorable prognostic factors in nasopharyngeal carcinoma: A nationwide study in Finland.爱泼斯坦-巴尔病毒和人乳头瘤病毒作为鼻咽癌的有利预后因素:芬兰的一项全国性研究。
Head Neck. 2019 Feb;41(2):349-357. doi: 10.1002/hed.25450. Epub 2018 Dec 14.
4
Detection of Epstein-Barr virus DNA in formalin-fixed paraffin-embedded tissue of nasopharyngeal carcinoma using polymerase chain reaction and in situ hybridization.使用聚合酶链反应和原位杂交技术检测鼻咽癌福尔马林固定石蜡包埋组织中的EB病毒DNA
Laryngoscope. 1991 Mar;101(3):279-83. doi: 10.1288/00005537-199103000-00010.
5
Epstein-Barr Virus in Nasopharyngeal Carcinoma of Guatemalan and Brazilian Patients.危地马拉和巴西患者鼻咽癌中的爱泼斯坦-巴尔病毒
Int J Surg Pathol. 2017 Jun;25(4):304-309. doi: 10.1177/1066896916679518. Epub 2016 Nov 23.
6
Epstein-Barr virus and human papillomavirus serum antibodies define the viral status of nasopharyngeal carcinoma in a low endemic country.在一个低流行地区,EB 病毒和人乳头瘤病毒血清抗体可定义鼻咽癌的病毒状态。
Int J Cancer. 2020 Jul 15;147(2):461-471. doi: 10.1002/ijc.33006. Epub 2020 Apr 24.
7
Nonendemic HPV-positive nasopharyngeal carcinoma: association with poor prognosis.非流行型 HPV 阳性鼻咽癌:与不良预后相关。
Int J Radiat Oncol Biol Phys. 2014 Mar 1;88(3):580-8. doi: 10.1016/j.ijrobp.2013.11.246.
8
Human papillomavirus and Epstein-Barr virus in nasopharyngeal carcinoma in a non-endemic eastern european population.人乳头瘤病毒和 Epstein-Barr 病毒与非流行地区东欧人群的鼻咽癌。
Neoplasma. 2016;63(1):107-14. doi: 10.4149/neo_2016_013.
9
Human papillomavirus and Epstein-Barr virus in nasopharyngeal carcinoma in a low-incidence population.低发人群鼻咽癌中的人乳头瘤病毒和爱泼斯坦-巴尔病毒
Head Neck. 2014 Apr;36(4):511-6. doi: 10.1002/hed.23318. Epub 2013 Jun 18.
10
Human papillomavirus and World Health Organization type III nasopharyngeal carcinoma: Multicenter study from an endemic area in Southern China.人乳头瘤病毒与世界卫生组织 III 型鼻咽癌:来自中国南方流行地区的多中心研究。
Cancer. 2018 Feb 1;124(3):530-536. doi: 10.1002/cncr.31031. Epub 2017 Oct 26.

本文引用的文献

1
Feature Reviews of the Molecular Mechanisms of Nasopharyngeal Carcinoma.鼻咽癌分子机制的特征综述
Biomedicines. 2023 May 25;11(6):1528. doi: 10.3390/biomedicines11061528.
2
SMARCB1-Deficient Sinonasal Carcinoma: Case Report and Review of the Literature.SMARCB1 缺陷性鼻腔鼻窦癌:病例报告及文献复习。
Am J Case Rep. 2023 May 18;24:e939244. doi: 10.12659/AJCR.939244.
3
A Case Report of Tongue Lymphoepithelial Carcinoma with a Histological Diagnostic Dilemma.一例存在组织学诊断难题的舌淋巴上皮癌病例报告。
Diagnostics (Basel). 2021 Jun 4;11(6):1039. doi: 10.3390/diagnostics11061039.
4
Prevalence of Nasopharyngeal Carcinoma in Patients with Dermatomyositis: A Systematic Review and Meta-Analysis.皮肌炎患者鼻咽癌的患病率:一项系统评价和荟萃分析
Cancers (Basel). 2021 Apr 14;13(8):1886. doi: 10.3390/cancers13081886.
5
Clinical and survival analysis of nasopharyngeal carcinoma with consistently negative Epstein-Barr virus DNA.持续 EBV-DNA 阴性鼻咽癌的临床和生存分析。
Head Neck. 2021 May;43(5):1465-1475. doi: 10.1002/hed.26608. Epub 2021 Jan 9.
6
A Rare Case of Sinonasal Lymphoepithelial Carcinoma Presented With Clinically Stage IV Disease.鼻腔鼻窦淋巴上皮癌 1 例报道,临床分期为 IV 期。
Ear Nose Throat J. 2022 Jul;101(6):386-391. doi: 10.1177/0145561320955125. Epub 2020 Sep 30.
7
Epstein-Barr virus and human papillomaviruses as favorable prognostic factors in nasopharyngeal carcinoma: A nationwide study in Finland.爱泼斯坦-巴尔病毒和人乳头瘤病毒作为鼻咽癌的有利预后因素:芬兰的一项全国性研究。
Head Neck. 2019 Feb;41(2):349-357. doi: 10.1002/hed.25450. Epub 2018 Dec 14.
8
The role of a monoclonal antibody 11C8B1 as a diagnostic marker of IDH2-mutated sinonasal undifferentiated carcinoma.单克隆抗体 11C8B1 作为 IDH2 突变型鼻腔鼻窦未分化癌的诊断标志物的作用。
Mod Pathol. 2019 Feb;32(2):205-215. doi: 10.1038/s41379-018-0126-3. Epub 2018 Sep 11.
9
Virus-associated neoplasms of the nasopharynx and sinonasal tract: diagnostic problems.鼻咽部和鼻窦道的病毒相关性肿瘤:诊断问题
Mod Pathol. 2017 Jan;30(s1):S68-S83. doi: 10.1038/modpathol.2016.189.
10
Sinonasal Adenocarcinoma: Update on Classification, Immunophenotype and Molecular Features.鼻窦腺癌:分类、免疫表型及分子特征的最新进展
Head Neck Pathol. 2016 Mar;10(1):68-74. doi: 10.1007/s12105-016-0694-9. Epub 2016 Feb 1.