Suppr超能文献

二尖瓣弓、心室中部梗阻与人工主动脉瓣之间复杂的血流动力学相互作用。

The Complex Hemodynamic Interplay between Mitral Arcade, Midventricular Obstruction, and Prosthetic Aortic Valve.

作者信息

Taverna Giovanni, Micari Antonino, Trio Olimpia, D'Angelo Tommaso, Di Bella Gianluca, Faletra Francesco F, Andò Giuseppe

机构信息

Department of Clinical and Experimental Medicine, University of Messina and Azienda Ospedaliera Universitaria Policlinico "Gaetano Martino", Messina, Italy.

Department of Biomedical and Dental Sciences and Morphological and Functional Imaging, University of Messina and Azienda Ospedaliera Universitaria Policlinico "Gaetano Martino", Messina, Italy.

出版信息

CASE (Phila). 2024 Mar 25;8(6):351-355. doi: 10.1016/j.case.2024.02.003. eCollection 2024 Jun.

Abstract

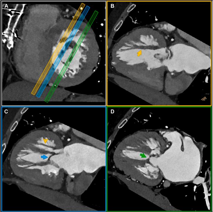
• MA is a malformation of valve tensor apparatus leading to early heart failure. • MA can be associated with subvalvar aortic stenosis, bicuspid AV, or aortic coarctation. • Multimodal imaging is invaluable in assessing mitral arcade.

摘要

• 二尖瓣拱状畸形(MA)是一种瓣膜张肌装置的畸形,可导致早期心力衰竭。

• MA可能与瓣下主动脉狭窄、二叶式主动脉瓣或主动脉缩窄相关。

• 多模态成像在评估二尖瓣拱状畸形方面具有重要价值。

https://cdn.ncbi.nlm.nih.gov/pmc/blobs/f326/11227998/c0da698d9c78/ga1.jpg

相似文献

1
The Complex Hemodynamic Interplay between Mitral Arcade, Midventricular Obstruction, and Prosthetic Aortic Valve.
CASE (Phila). 2024 Mar 25;8(6):351-355. doi: 10.1016/j.case.2024.02.003. eCollection 2024 Jun.
3
Comparison of transthoracic and transesophageal assessment of prosthetic valve dysfunction.
Echocardiography. 1990 Mar;7(2):83-95. doi: 10.1111/j.1540-8175.1990.tb00352.x.
5
Imaging for Predicting and Assessing Prosthesis-Patient Mismatch After Aortic Valve Replacement.
JACC Cardiovasc Imaging. 2019 Jan;12(1):149-162. doi: 10.1016/j.jcmg.2018.10.020.
6
Transesophageal echocardiographic features of normal and dysfunctioning bioprosthetic valves.
Am Heart J. 1991 Apr;121(4 Pt 1):1149-55. doi: 10.1016/0002-8703(91)90676-9.

本文引用的文献

1
Mitral Arcade Causing Severe Stenosis in an Adult Patient.
Heart Lung Circ. 2022 Feb;31(2):e24-e26. doi: 10.1016/j.hlc.2021.09.012. Epub 2021 Oct 28.
2
Mitral Arcade With Anomalous Papillary Muscles: Rare Cause of Mitral Stenosis in a Young Adult.
JACC Case Rep. 2021 Aug 19;3(10):1303-1309. doi: 10.1016/j.jaccas.2021.06.013. eCollection 2021 Aug 18.
3
An arcade in the heart: Multimodality imaging.
Ann Pediatr Cardiol. 2020 Jan-Mar;13(1):95-97. doi: 10.4103/apc.APC_47_19. Epub 2019 Oct 9.
4
Shone Complex: An Under-recognized Congenital Heart Disease With Substantial Morbidity in Adulthood.
Can J Cardiol. 2017 Feb;33(2):253-259. doi: 10.1016/j.cjca.2016.09.005. Epub 2016 Sep 29.
7
Mitral arcade in adults -- a systematic overview.
Echocardiography. 2013 Mar;30(3):354-9. doi: 10.1111/echo.12126. Epub 2013 Feb 14.
8
Multi-imaging assessment of the congenital mitral arcade.
J Am Coll Cardiol. 2011 May 3;57(18):1856. doi: 10.1016/j.jacc.2010.06.069.
9
Congenital mitral disease: anomalous mitral arcade in a young man.
Ann Thorac Surg. 2010 Feb;89(2):629-31. doi: 10.1016/j.athoracsur.2009.07.070.

文献AI研究员

20分钟写一篇综述,助力文献阅读效率提升50倍。

立即体验

用中文搜PubMed

大模型驱动的PubMed中文搜索引擎

马上搜索

文档翻译

学术文献翻译模型,支持多种主流文档格式。

立即体验