• 文献检索
  • 文档翻译
  • 深度研究
  • 学术资讯
  • Suppr Zotero 插件Zotero 插件
  • 邀请有礼
  • 套餐&价格
  • 历史记录
应用&插件
Suppr Zotero 插件Zotero 插件浏览器插件Mac 客户端Windows 客户端微信小程序
定价
高级版会员购买积分包购买API积分包
服务
文献检索文档翻译深度研究API 文档MCP 服务
关于我们
关于 Suppr公司介绍联系我们用户协议隐私条款
关注我们

Suppr 超能文献

核心技术专利:CN118964589B侵权必究
粤ICP备2023148730 号-1Suppr @ 2026

文献检索

告别复杂PubMed语法,用中文像聊天一样搜索,搜遍4000万医学文献。AI智能推荐,让科研检索更轻松。

立即免费搜索

文件翻译

保留排版,准确专业,支持PDF/Word/PPT等文件格式,支持 12+语言互译。

免费翻译文档

深度研究

AI帮你快速写综述,25分钟生成高质量综述,智能提取关键信息,辅助科研写作。

立即免费体验

一种基于聚合酶链反应的快速皮肤感染诊断方法 用于……(原文此处不完整)

A Rapid PCR-Based Diagnostic Method for Skin Infection with .

作者信息

Li Yanan, Feng Yahui, Li Dongmei, Shi Dongmei, Chen Guanzhi

机构信息

Department of Dermatology, Affiliated Hospital of Qingdao University, Qingdao, People's Republic of China.

The Laboratory of Medical Mycology, Jining No. 1 People's Hospital, Jining, Shandong, People's Republic of China.

出版信息

Infect Drug Resist. 2024 Jul 9;17:2833-2851. doi: 10.2147/IDR.S463798. eCollection 2024.

DOI:10.2147/IDR.S463798
PMID:39005849
原文链接:https://pmc.ncbi.nlm.nih.gov/articles/PMC11246082/
Abstract

OBJECTIVE

The increasing incidence of chronic skin infections caused by , coupled with the time-consuming and low detection rates nature of traditional culture and histological-based diagnostic methods, underscores the need for an expedited approach. The study aims to develop a rapid and efficient method for detecting with PCR technology.

METHODS

We designed four pairs of primers based on DNA sequences from GeneBank and prior studies, we utilized both PCR and Real-time PCR to identify . Specificity and sensitivity assessments were conducted in vitro by DNAs extracted from and other bacterial or fungal cultures. Further validation was performed through the implementation of a mouse skin infection model to optimize and confirm the efficacy of the detection method in both fresh and paraffin-embedded skin tissues. The same PCR testing system was further confirmed with paraffin-embedded skin tissues samples from patients as well.

RESULTS

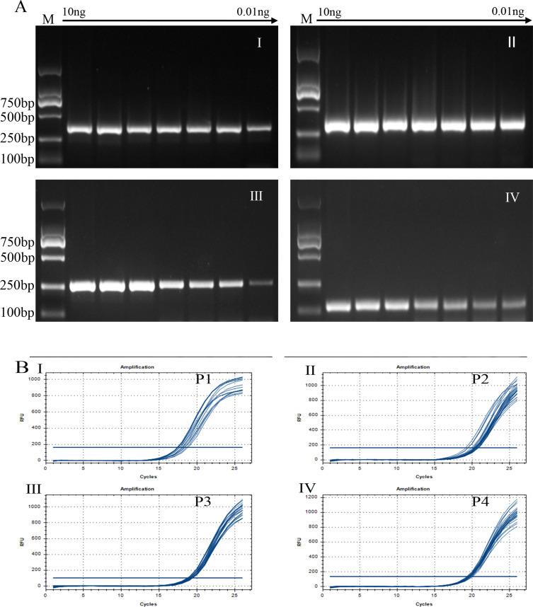
The results of the study indicate promising outcomes for the four-pair primers system. It demonstrated 100% sensitivity in detecting from purified cultures, including typical strains and nine clinical isolates, while achieving a specificity of 100%. This specificity was evidenced by the absence of PCR products from 12 bacterial species, 12 fungi species, and six other non-tuberculous mycobacterium (NTM) species. In the animal model, the PCR assay exhibited high detection efficacy for both infected fresh tissues and paraffin-embedded tissues, with a slight superiority observed in fresh tissues. However, the PCR assay exhibited high detection efficacy for clinical paraffin-embedded tissues. These findings collectively underscore the robust detection capabilities of our four-pair primers in both in vitro and in vivo settings.

CONCLUSION

A sensitive and highly specific rapid detection system has been successfully developed that can be used to detect in both infected fresh tissues and paraffin-embedded tissues.

摘要

目的

由……引起的慢性皮肤感染发病率不断上升,再加上传统培养和基于组织学的诊断方法耗时且检测率低,凸显了采用快速方法的必要性。本研究旨在开发一种利用PCR技术快速高效检测……的方法。

方法

我们根据基因库中的DNA序列和先前的研究设计了四对引物,利用PCR和实时荧光定量PCR来鉴定……。通过从……以及其他细菌或真菌培养物中提取的DNA进行体外特异性和敏感性评估。通过建立小鼠皮肤感染模型进一步验证,以优化并确认该检测方法在新鲜和石蜡包埋皮肤组织中的有效性。同样的PCR检测系统也用患者的石蜡包埋皮肤组织样本进行了进一步验证。

结果

研究结果表明四对引物系统前景良好。它在检测来自纯化培养物(包括典型菌株和九株临床分离株)中的……时显示出100%的敏感性,同时特异性达到100%。12种细菌、12种真菌和6种其他非结核分枝杆菌(NTM)物种均未产生PCR产物,证明了这种特异性。在动物模型中,PCR检测对感染的新鲜组织和石蜡包埋组织均显示出高检测效能,在新鲜组织中略具优势。然而,PCR检测对临床石蜡包埋组织也显示出高检测效能。这些发现共同强调了我们的四对引物在体外和体内环境中的强大检测能力。

结论

已成功开发出一种灵敏且高度特异的快速检测系统,可用于检测感染的新鲜组织和石蜡包埋组织中的……

https://cdn.ncbi.nlm.nih.gov/pmc/blobs/d47c/11246082/53187158ab9d/IDR-17-2833-g0014.jpg
https://cdn.ncbi.nlm.nih.gov/pmc/blobs/d47c/11246082/b6d3116d6d21/IDR-17-2833-g0001.jpg
https://cdn.ncbi.nlm.nih.gov/pmc/blobs/d47c/11246082/c11fa20975c4/IDR-17-2833-g0002.jpg
https://cdn.ncbi.nlm.nih.gov/pmc/blobs/d47c/11246082/032206215460/IDR-17-2833-g0003.jpg
https://cdn.ncbi.nlm.nih.gov/pmc/blobs/d47c/11246082/775ca902fb2f/IDR-17-2833-g0004.jpg
https://cdn.ncbi.nlm.nih.gov/pmc/blobs/d47c/11246082/8d767a7cac94/IDR-17-2833-g0005.jpg
https://cdn.ncbi.nlm.nih.gov/pmc/blobs/d47c/11246082/0c2ab3087056/IDR-17-2833-g0006.jpg
https://cdn.ncbi.nlm.nih.gov/pmc/blobs/d47c/11246082/cf123ee642a9/IDR-17-2833-g0007.jpg
https://cdn.ncbi.nlm.nih.gov/pmc/blobs/d47c/11246082/f8335d67523a/IDR-17-2833-g0008.jpg
https://cdn.ncbi.nlm.nih.gov/pmc/blobs/d47c/11246082/a194dabd8074/IDR-17-2833-g0009.jpg
https://cdn.ncbi.nlm.nih.gov/pmc/blobs/d47c/11246082/725e6fd4b1a0/IDR-17-2833-g0010.jpg
https://cdn.ncbi.nlm.nih.gov/pmc/blobs/d47c/11246082/980672ae7a62/IDR-17-2833-g0011.jpg
https://cdn.ncbi.nlm.nih.gov/pmc/blobs/d47c/11246082/9b54531162e6/IDR-17-2833-g0012.jpg
https://cdn.ncbi.nlm.nih.gov/pmc/blobs/d47c/11246082/98b30c3c452d/IDR-17-2833-g0013.jpg
https://cdn.ncbi.nlm.nih.gov/pmc/blobs/d47c/11246082/53187158ab9d/IDR-17-2833-g0014.jpg
https://cdn.ncbi.nlm.nih.gov/pmc/blobs/d47c/11246082/b6d3116d6d21/IDR-17-2833-g0001.jpg
https://cdn.ncbi.nlm.nih.gov/pmc/blobs/d47c/11246082/c11fa20975c4/IDR-17-2833-g0002.jpg
https://cdn.ncbi.nlm.nih.gov/pmc/blobs/d47c/11246082/032206215460/IDR-17-2833-g0003.jpg
https://cdn.ncbi.nlm.nih.gov/pmc/blobs/d47c/11246082/775ca902fb2f/IDR-17-2833-g0004.jpg
https://cdn.ncbi.nlm.nih.gov/pmc/blobs/d47c/11246082/8d767a7cac94/IDR-17-2833-g0005.jpg
https://cdn.ncbi.nlm.nih.gov/pmc/blobs/d47c/11246082/0c2ab3087056/IDR-17-2833-g0006.jpg
https://cdn.ncbi.nlm.nih.gov/pmc/blobs/d47c/11246082/cf123ee642a9/IDR-17-2833-g0007.jpg
https://cdn.ncbi.nlm.nih.gov/pmc/blobs/d47c/11246082/f8335d67523a/IDR-17-2833-g0008.jpg
https://cdn.ncbi.nlm.nih.gov/pmc/blobs/d47c/11246082/a194dabd8074/IDR-17-2833-g0009.jpg
https://cdn.ncbi.nlm.nih.gov/pmc/blobs/d47c/11246082/725e6fd4b1a0/IDR-17-2833-g0010.jpg
https://cdn.ncbi.nlm.nih.gov/pmc/blobs/d47c/11246082/980672ae7a62/IDR-17-2833-g0011.jpg
https://cdn.ncbi.nlm.nih.gov/pmc/blobs/d47c/11246082/9b54531162e6/IDR-17-2833-g0012.jpg
https://cdn.ncbi.nlm.nih.gov/pmc/blobs/d47c/11246082/98b30c3c452d/IDR-17-2833-g0013.jpg
https://cdn.ncbi.nlm.nih.gov/pmc/blobs/d47c/11246082/53187158ab9d/IDR-17-2833-g0014.jpg

相似文献

1
A Rapid PCR-Based Diagnostic Method for Skin Infection with .一种基于聚合酶链反应的快速皮肤感染诊断方法 用于……(原文此处不完整)
Infect Drug Resist. 2024 Jul 9;17:2833-2851. doi: 10.2147/IDR.S463798. eCollection 2024.
2
Comparative Evaluation of LAMP and Nested PCR for the Rapid Diagnosis of Infection.环介导等温扩增技术(LAMP)与巢式聚合酶链反应(Nested PCR)用于感染快速诊断的比较评估
Infect Drug Resist. 2023 Mar 20;16:1601-1609. doi: 10.2147/IDR.S404929. eCollection 2023.
3
Immunohistochemical and Taqman real-time PCR detection of mycobacterial infections in fish.鱼类分枝杆菌感染的免疫组织化学和 Taqman 实时 PCR 检测。
J Fish Dis. 2011 Mar;34(3):235-46. doi: 10.1111/j.1365-2761.2010.01231.x.
4
Detection and identification of Mycobacterium species by polymerase chain reaction (PCR) from paraffin-embedded tissue compare to AFB staining in pathological sections.通过聚合酶链反应(PCR)从石蜡包埋组织中检测和鉴定分枝杆菌属菌种,并与病理切片中的抗酸杆菌(AFB)染色进行比较。
J Med Assoc Thai. 2005 Jan;88(1):108-13.
5
A sensitive FRET probe assay for the selective detection of Mycobacterium marinum in fish.一种用于选择性检测鱼类中海洋分枝杆菌的灵敏 FRET 探针检测法。
J Fish Dis. 2010 Jan;33(1):47-56. doi: 10.1111/j.1365-2761.2009.01112.x. Epub 2009 Nov 12.
6
Acid-fast bacterium detection and identification from paraffin-embedded tissues using a PCR-pyrosequencing method.使用聚合酶链反应-焦磷酸测序法从石蜡包埋组织中检测和鉴定抗酸菌。
J Clin Pathol. 2018 Feb;71(2):148-153. doi: 10.1136/jclinpath-2016-204128. Epub 2017 Jul 22.
7
Detection and identification of aquatic mycobacteria in formalin-fixed, paraffin-embedded fish tissues.在福尔马林固定、石蜡包埋的鱼类组织中检测和鉴定水生分枝杆菌。
J Fish Dis. 2009 May;32(5):409-19. doi: 10.1111/j.1365-2761.2009.01030.x.
8
[Comparison of two different real-time PCR systems in postmortem diagnosis of tuberculosis in paraffin-embedded tissues].[两种不同实时荧光定量PCR系统在石蜡包埋组织中结核病尸检诊断中的比较]
Mikrobiyol Bul. 2014 Oct;48(4):577-84. doi: 10.5578/mb.8299.
9
[Study on detection of the Mycobacteria DNA in formalin-fixed, paraffin-embedded tissue samples by triplex polymerase chain reaction].[应用三重聚合酶链反应检测福尔马林固定石蜡包埋组织样本中分枝杆菌DNA的研究]
Wei Sheng Wu Xue Bao. 2002 Feb;42(1):69-75.
10
Rapid diagnosis of infection using targeted nanopore sequencing: a case report.利用靶向纳米孔测序快速诊断感染:一例报告。
Front Cell Infect Microbiol. 2023 Oct 30;13:1238872. doi: 10.3389/fcimb.2023.1238872. eCollection 2023.

引用本文的文献

1
Benchmarking pangenome dynamics and horizontal gene transfer in evolution.衡量进化过程中的泛基因组动态变化和水平基因转移
Front Microbiol. 2025 Jun 17;16:1537826. doi: 10.3389/fmicb.2025.1537826. eCollection 2025.

本文引用的文献

1
: A Case-Based Narrative Review of Diagnosis and Management.基于病例的诊断与管理叙述性综述
Microorganisms. 2023 Jul 13;11(7):1799. doi: 10.3390/microorganisms11071799.
2
Ruxolitinib Treatment During Myelofibrosis Leads to Cutaneous Infection: A Case Report.芦可替尼治疗骨髓纤维化期间导致皮肤感染:一例报告
Clin Cosmet Investig Dermatol. 2023 Jun 13;16:1499-1503. doi: 10.2147/CCID.S413592. eCollection 2023.
3
Molecular epidemiology of nontuberculous mycobacteria isolated from tuberculosis-suspected patients.从疑似结核病患者中分离出的非结核分枝杆菌的分子流行病学
AMB Express. 2023 May 18;13(1):49. doi: 10.1186/s13568-023-01557-4.
4
Acid-fast bacteria as causative agents of skin and soft tissue infections: case presentations and literature review.导致皮肤和软组织感染的抗酸细菌:病例介绍和文献回顾。
Rev Inst Med Trop Sao Paulo. 2023 Apr 14;65:e29. doi: 10.1590/S1678-9946202365029. eCollection 2023.
5
Metagenomic next-generation sequencing for the aetiological diagnosis of Mycobacterium marinum infections: A pilot study.宏基因组下一代测序用于海分枝杆菌感染的病因诊断:一项试点研究。
Indian J Dermatol Venereol Leprol. 2023 Sep-Oct;89(5):745-748. doi: 10.25259/IJDVL_768_2022.
6
Comparative Evaluation of LAMP and Nested PCR for the Rapid Diagnosis of Infection.环介导等温扩增技术(LAMP)与巢式聚合酶链反应(Nested PCR)用于感染快速诊断的比较评估
Infect Drug Resist. 2023 Mar 20;16:1601-1609. doi: 10.2147/IDR.S404929. eCollection 2023.
7
Scubcutaneous Mycobacterium marinum infection misdiagnosed as sporotrichosis: A case report.皮下分枝杆菌感染误诊为孢子丝菌病:一例报告。
Medicine (Baltimore). 2022 Dec 9;101(49):e32220. doi: 10.1097/MD.0000000000032220.
8
Sporotrichoid lymphocutaneous pattern in a fish-merchant under immunosuppressant medications: Clues to differential diagnoses.一名服用免疫抑制剂的鱼贩出现孢子丝菌病样淋巴管炎型皮肤表现:鉴别诊断线索
Clin Case Rep. 2022 Dec 5;10(12):e6708. doi: 10.1002/ccr3.6708. eCollection 2022 Dec.
9
Diagnosis and therapy of Mycobacterium marinum: a single-center 21-year retrospective analysis.分枝杆菌 marinum 的诊断与治疗:单中心 21 年回顾性分析。
J Dtsch Dermatol Ges. 2022 Sep;20(9):1211-1218. doi: 10.1111/ddg.14847. Epub 2022 Aug 24.
10
Rapid Diagnosis of Infection by Next-Generation Sequencing: A Case Report.通过下一代测序技术快速诊断感染:病例报告
Front Med (Lausanne). 2022 Feb 4;9:824122. doi: 10.3389/fmed.2022.824122. eCollection 2022.