• 文献检索
  • 文档翻译
  • 深度研究
  • 学术资讯
  • Suppr Zotero 插件Zotero 插件
  • 邀请有礼
  • 套餐&价格
  • 历史记录
应用&插件
Suppr Zotero 插件Zotero 插件浏览器插件Mac 客户端Windows 客户端微信小程序
定价
高级版会员购买积分包购买API积分包
服务
文献检索文档翻译深度研究API 文档MCP 服务
关于我们
关于 Suppr公司介绍联系我们用户协议隐私条款
关注我们

Suppr 超能文献

核心技术专利:CN118964589B侵权必究
粤ICP备2023148730 号-1Suppr @ 2026

文献检索

告别复杂PubMed语法,用中文像聊天一样搜索,搜遍4000万医学文献。AI智能推荐,让科研检索更轻松。

立即免费搜索

文件翻译

保留排版,准确专业,支持PDF/Word/PPT等文件格式,支持 12+语言互译。

免费翻译文档

深度研究

AI帮你快速写综述,25分钟生成高质量综述,智能提取关键信息,辅助科研写作。

立即免费体验

网状血管内皮瘤的胸膜起源:一种罕见诊断的不寻常起源。

The Pleural Origin of Retiform Hemangioendothelioma: An Unusual Origin of a Rare Diagnosis.

作者信息

Ullah Hidayat, Khan Imran, Khan Aria, Tangri Apoorva, Lamichhane Saral, Maqbool Shahzaib, Nashwan Abdulqadir J

机构信息

Consultant Hematology/Oncology, Bolan Medical Complex Hospital Quetta, Quetta, Pakistan.

Resident Internal Medicine, NYCH+H/Woodhull, Brooklyn, NY, USA.

出版信息

Case Rep Oncol. 2024 Jul 12;17(1):741-746. doi: 10.1159/000539771. eCollection 2024 Jan-Dec.

DOI:10.1159/000539771
PMID:39015637
原文链接:https://pmc.ncbi.nlm.nih.gov/articles/PMC11249460/
Abstract

INTRODUCTION

Vascular malignancies are categorized into benign hemangiomas, malignant angiosarcomas, and tumors of intermediate malignancy. Retiform hemangioendothelioma (RH) is one of the rare diagnoses belonging to the class of intermediate malignancies that was initially diagnosed.

CASE PRESENTATION

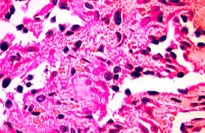
In this case report, we have reported a rare case of RH, a locally aggressive, vascular tumor of malignant potential presenting at an unusual site. The most observed locations of this soft tissue tumor are skin and subcutaneous tissues of extremities; however, this case of RH was observed in an unusual site called pleura, which is a rare occurrence related to this tumor. The presence of cell surface markers like CD31 and ERG of vascular and endothelial origin and the presence of hobnail appearance of endothelial channels on the biopsy profile supported the vascular origin of the tumor; the clinical features and imaging studies further confirmed the diagnosis of RH.

CONCLUSION

In this case report, a rare case of RH with an unusual site of origin was highlighted. RH is a vascular neoplasm; commonly observed sites of this vascular tumor were skin and subcutaneous tissue of the extremities; however, in this case, the site was unusually different, which was the pleura of the left lung.

摘要

引言

血管恶性肿瘤分为良性血管瘤、恶性血管肉瘤和中间型恶性肿瘤。网状血管内皮瘤(RH)是最初诊断出的属于中间型恶性肿瘤类别的罕见诊断之一。

病例报告

在本病例报告中,我们报告了一例罕见的RH病例,这是一种具有局部侵袭性、有恶性潜能的血管肿瘤,出现在一个不寻常的部位。这种软组织肿瘤最常出现的部位是四肢的皮肤和皮下组织;然而,该例RH出现在一个名为胸膜的不寻常部位,这与该肿瘤相关的情况罕见。活检结果中血管和内皮来源的细胞表面标志物如CD31和ERG的存在以及内皮通道的鞋钉样外观支持了肿瘤的血管起源;临床特征和影像学研究进一步证实了RH的诊断。

结论

在本病例报告中,突出了一例起源部位不寻常的罕见RH病例。RH是一种血管肿瘤;这种血管肿瘤常见的部位是四肢的皮肤和皮下组织;然而,在本例中,部位异常不同,是左肺的胸膜。

https://cdn.ncbi.nlm.nih.gov/pmc/blobs/9602/11249460/74750c1fbf8b/cro-2024-0017-0001-539771_F02.jpg
https://cdn.ncbi.nlm.nih.gov/pmc/blobs/9602/11249460/60254fa18071/cro-2024-0017-0001-539771_F01.jpg
https://cdn.ncbi.nlm.nih.gov/pmc/blobs/9602/11249460/74750c1fbf8b/cro-2024-0017-0001-539771_F02.jpg
https://cdn.ncbi.nlm.nih.gov/pmc/blobs/9602/11249460/60254fa18071/cro-2024-0017-0001-539771_F01.jpg
https://cdn.ncbi.nlm.nih.gov/pmc/blobs/9602/11249460/74750c1fbf8b/cro-2024-0017-0001-539771_F02.jpg

相似文献

1
The Pleural Origin of Retiform Hemangioendothelioma: An Unusual Origin of a Rare Diagnosis.网状血管内皮瘤的胸膜起源:一种罕见诊断的不寻常起源。
Case Rep Oncol. 2024 Jul 12;17(1):741-746. doi: 10.1159/000539771. eCollection 2024 Jan-Dec.
2
[Retiform hemangioendothelioma: a clinicopathologic analysis of 8 cases].[网状血管内皮瘤:8例临床病理分析]
Zhonghua Bing Li Xue Za Zhi. 2015 Jul;44(7):480-5.
3
Retiform hemangioendothelioma: a case series and review of the literature.网状血管内皮细胞瘤:病例系列及文献复习。
J Med Case Rep. 2021 Feb 17;15(1):69. doi: 10.1186/s13256-021-02671-2.
4
Retiform Hemangioendothelioma: A Rare Tumor in the Medial Canthus: Case Report and Review of Literature.网状血管内皮瘤:内眦部罕见肿瘤:病例报告及文献复习
J Cutan Aesthet Surg. 2022 Jul-Sep;15(3):319-322. doi: 10.4103/JCAS.JCAS_186_21.
5
A cutaneous vascular neoplasm with hobnail microscopic morphology and unusual gross features.一种具有鞋钉样微观形态和不寻常大体特征的皮肤血管肿瘤。
J Cutan Pathol. 2012 Apr;39(4):454-7. doi: 10.1111/j.1600-0560.2011.01823.x. Epub 2011 Nov 21.
6
Hemangioendothelioma.血管内皮细胞瘤。
Semin Diagn Pathol. 2013 Feb;30(1):29-44. doi: 10.1053/j.semdp.2012.01.003.
7
Retiform hemangioendothelioma: a rare lesion of the vulva.Retiform 血管内皮细胞瘤:外阴罕见病变。
J Int Med Res. 2021 Aug;49(8):3000605211027783. doi: 10.1177/03000605211027783.
8
[Retiform haemangioendothelioma: a case report].[网状血管内皮瘤:一例报告]
Ann Pathol. 2009 Dec;29(6):491-4. doi: 10.1016/j.annpat.2009.10.023.
9
[Retiform hemangioendotelioma in a 8-year-old girl--case report].[一名8岁女孩的网状血管内皮瘤——病例报告]
Cesk Patol. 2009 Jul;45(3):72-4.
10
Clinical, dermoscopic and histopathologic findings of retiform hemangioendothelioma.网状血管内皮细胞瘤的临床、皮肤镜及组织病理学表现。
Dermatol Pract Concept. 2013 Oct 31;3(4):11-4. doi: 10.5826/dpc.0304a03. eCollection 2013.

引用本文的文献

1
ARID1A-Deficient and 11q13-Amplified Metastatic Pancreatic Cancer Initially Presenting as Retroperitoneal Fibrosis in a Patient with Familial CHEK2 Variant.伴有家族性CHEK2变异的患者中,最初表现为腹膜后纤维化的ARID1A缺陷型和11q13扩增型转移性胰腺癌。
Diagnostics (Basel). 2025 Aug 9;15(16):1998. doi: 10.3390/diagnostics15161998.
2
Diagnosis progress of carcinoma of unknown primary.原发灶不明癌的诊断进展
Front Oncol. 2024 Nov 26;14:1510443. doi: 10.3389/fonc.2024.1510443. eCollection 2024.

本文引用的文献

1
Vascular tumors of the mediastinum.纵隔血管肿瘤
Mediastinum. 2020 Sep 30;4:25. doi: 10.21037/med-20-40. eCollection 2020.
2
The genetics of vascular tumours: an update.血管肿瘤的遗传学:更新。
Histopathology. 2022 Jan;80(1):19-32. doi: 10.1111/his.14458.
3
Primary Pleural Hemangioendothelioma: A Case Report and Literature Review.原发性胸膜血管内皮瘤:一例报告及文献综述
Case Rep Oncol. 2021 Aug 16;14(2):1201-1211. doi: 10.1159/000518243. eCollection 2021 May-Aug.
4
A case report of retiform hemangioendothelioma as pleural nodules with literature review.以胸膜结节形式出现的网状血管内皮瘤病例报告并文献复习
Diagn Pathol. 2015 Oct 26;10:194. doi: 10.1186/s13000-015-0433-7.
5
Medial canthus retiform hemangioendothelioma.内眦部网状血管内皮瘤
Indian J Ophthalmol. 2014 Apr;62(4):491-3. doi: 10.4103/0301-4738.126995.
6
Sarcoma classification: an update based on the 2013 World Health Organization Classification of Tumors of Soft Tissue and Bone.肉瘤分类:基于 2013 年世界卫生组织软组织和骨肿瘤分类的更新。
Cancer. 2014 Jun 15;120(12):1763-74. doi: 10.1002/cncr.28657. Epub 2014 Mar 19.
7
Kaposi sarcoma.卡波西肉瘤。
Arch Pathol Lab Med. 2013 Feb;137(2):289-94. doi: 10.5858/arpa.2012-0101-RS.
8
A rare angiosarcoma: retiform haemangioendothelioma.一种罕见的血管肉瘤:网状血管内皮瘤。
J Laryngol Otol. 2012 Feb;126(2):200-2. doi: 10.1017/S0022215111002398. Epub 2011 Sep 5.
9
Unresectable retiform hemangioendothelioma treated with external beam radiation therapy and chemotherapy: a case report and review of the literature.采用外照射放疗和化疗治疗不可切除的网状血管内皮瘤:一例病例报告及文献复习
Sarcoma. 2010;2010. doi: 10.1155/2010/756246. Epub 2010 Sep 26.
10
A case of retiform-hemangioendothelioma with unusual presentation and aggressive clinical features.一例具有不寻常表现和侵袭性临床特征的网状血管内皮瘤病例。
Int J Clin Exp Pathol. 2010 May 12;3(5):528-33.