Suppr超能文献

磁共振 ASL、DSC、DCE 灌注成像及 18F-DOPA PET/CT 鉴别脑胶质瘤术后复发与治疗后改变

ASL, DSC, DCE perfusion MRI and 18F-DOPA PET/CT in differentiating glioma recurrence from post-treatment changes.

机构信息

NESMOS, Department of Neuroradiology, S. Andrea Hospital, University Sapienza, Via di Grottarossa 1035/1039, 00189, Rome, Italy.

Department of Medical-Surgical Sciences and Translational Medicine, University of Rome "Sapienza", Rome, Italy.

出版信息

Radiol Med. 2024 Sep;129(9):1382-1393. doi: 10.1007/s11547-024-01862-3. Epub 2024 Aug 8.

Abstract

OBJECTIVES

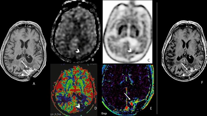
To discriminate between post-treatment changes and tumor recurrence in patients affected by glioma undergoing surgery and chemoradiation with a new enhancing lesion is challenging. We aimed to evaluate the role of ASL, DSC, DCE perfusion MRI, and 18F-DOPA PET/CT in distinguishing tumor recurrence from post-treatment changes in patients with glioma.

MATERIALS AND METHODS

We prospectively enrolled patients with treated glioma (surgery plus chemoradiation) and a new enhancing lesion doubtful for recurrence or post-treatment changes. Each patient underwent a 1.5T MRI examination, including ASL, DSC, and DCE PWI, and an F-DOPA PET/CT examination. For each lesion, we measured ASL-derived CBF and normalized CBF, DSC-derived rCBV, DCE-derived Ktrans, Vp, Ve, Kep, and PET/CT-derived SUV maximum. Clinical and radiological follow-up determined the diagnosis of tumor recurrence or post-treatment changes.

RESULTS

We evaluated 29 lesions (5 low-grade gliomas and 24 high-grade gliomas); 14 were malignancies, and 15 were post-treatment changes. CBF ASL, nCBF ASL, rCBV DSC, and PET SUVmax were associated with tumor recurrence from post-treatment changes in patients with glioma through an univariable logistic regression. Whereas the multivariable logistic regression results showed only nCBF ASL (p = 0.008) was associated with tumor recurrence from post-treatment changes in patients with glioma with OR = 22.85, CI95%: (2.28-228.77).

CONCLUSION

In our study, ASL was the best technique, among the other two MRI PWI and the 18F-DOPA PET/CT PET, in distinguishing disease recurrence from post-treatment changes in treated glioma.

摘要

目的

对于接受手术和放化疗的胶质瘤患者,鉴别新出现的强化病变是治疗后改变还是肿瘤复发具有挑战性。本研究旨在评估动脉自旋标记(ASL)、扩散峰度成像(DKI)、动态对比增强磁共振灌注成像(DCE-PWI)和 18F-多巴 PET/CT 在鉴别胶质瘤患者治疗后改变与肿瘤复发中的作用。

材料与方法

前瞻性纳入经手术和放化疗治疗后出现新强化病变且怀疑为复发或治疗后改变的胶质瘤患者。每位患者均行 1.5T MRI 检查,包括 ASL、DKI 和 DCE-PWI,以及 18F-多巴 PET/CT 检查。对每个病变,我们测量 ASL 衍生的脑血流量(CBF)和标准化 CBF、DKI 衍生的 rCBV、DCE 衍生的 Ktrans、Vp、Ve、Kep 和 PET/CT 衍生的最大标准摄取值(SUVmax)。临床和影像学随访确定肿瘤复发或治疗后改变的诊断。

结果

共评估了 29 个病变(5 个低级别胶质瘤和 24 个高级别胶质瘤);其中 14 个为恶性肿瘤,15 个为治疗后改变。单变量逻辑回归显示,ASL 衍生的 CBF、nCBF ASL、rCBV DSC 和 PET SUVmax 与胶质瘤患者的肿瘤复发有关。而多变量逻辑回归结果显示,只有 nCBF ASL(p=0.008)与胶质瘤患者的肿瘤复发有关,比值比(OR)为 22.85,95%可信区间(CI)为(2.28-228.77)。

结论

在本研究中,与其他两种 MRI PWI(DKI 和 DCE-PWI)和 18F-多巴 PET/CT PET 相比,ASL 是鉴别治疗后胶质瘤疾病复发与治疗后改变的最佳技术。

https://cdn.ncbi.nlm.nih.gov/pmc/blobs/17e2/11379733/59ead5215e09/11547_2024_1862_Fig1_HTML.jpg

文献检索

告别复杂PubMed语法,用中文像聊天一样搜索,搜遍4000万医学文献。AI智能推荐,让科研检索更轻松。

立即免费搜索

文件翻译

保留排版,准确专业,支持PDF/Word/PPT等文件格式,支持 12+语言互译。

免费翻译文档

深度研究

AI帮你快速写综述,25分钟生成高质量综述,智能提取关键信息,辅助科研写作。

立即免费体验