• 文献检索
  • 文档翻译
  • 深度研究
  • 学术资讯
  • Suppr Zotero 插件Zotero 插件
  • 邀请有礼
  • 套餐&价格
  • 历史记录
应用&插件
Suppr Zotero 插件Zotero 插件浏览器插件Mac 客户端Windows 客户端微信小程序
定价
高级版会员购买积分包购买API积分包
服务
文献检索文档翻译深度研究API 文档MCP 服务
关于我们
关于 Suppr公司介绍联系我们用户协议隐私条款
关注我们

Suppr 超能文献

核心技术专利:CN118964589B侵权必究
粤ICP备2023148730 号-1Suppr @ 2026

文献检索

告别复杂PubMed语法,用中文像聊天一样搜索,搜遍4000万医学文献。AI智能推荐,让科研检索更轻松。

立即免费搜索

文件翻译

保留排版,准确专业,支持PDF/Word/PPT等文件格式,支持 12+语言互译。

免费翻译文档

深度研究

AI帮你快速写综述,25分钟生成高质量综述,智能提取关键信息,辅助科研写作。

立即免费体验

瘤胃微生物群移植减轻棉酚饮食诱导的雄性小鼠生殖、肝脏和肠道损伤。

Rumen Microbiota Transplantation Alleviates Gossypol Diet-Induced Reproductive, Liver, and Intestinal Damage in Male Mice.

作者信息

Zhang Chen, Lu Wenguang, Liu Huiru, Shen Lingwei, Zhu Mengfan, Zhou Tangtang, Zhang Ling, Xiao Dingfu, Chen Lijuan

机构信息

The Biological Feedstuff Labaratory, College of Animal Science and Technology, Anhui Agricultural University, Hefei 230036, China.

Animal Nutritional Genome and Germplasm Innovation Research Center, College of Animal Science and Technology, Hunan Agricultural University, Changsha 410128, China.

出版信息

Animals (Basel). 2024 Jul 30;14(15):2206. doi: 10.3390/ani14152206.

DOI:10.3390/ani14152206
PMID:39123732
原文链接:https://pmc.ncbi.nlm.nih.gov/articles/PMC11311098/
Abstract

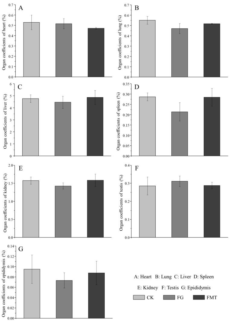
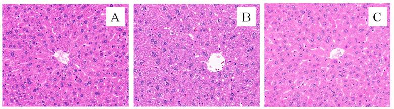
Ruminants exhibit stronger tolerance to gossypol, an anti-nutritional factor, compared to monogastric animals. We transplanted Hu sheep rumen microbiota into male mice to investigate the role of rumen microbiota in animal gossypol tolerance. Thirty specific-pathogen-free (SPF) male C57BL/6 mice were randomly divided into three groups: normal diet (CK group), gossypol diet (FG group), and rumen microbiota transplantation (FMT group, gossypol diet). The pathological changes in the liver and small intestine of the mice, the organ coefficient, and sperm parameters were analyzed. Alanine aminotransferase (ALT) and aspartate aminotransferase (AST) levels in the blood and lactate dihydrogen-X (LDH-X) levels in the testicular tissue were also measured. The results showed that body weight, feed intake, sperm concentration, sperm motility, and LDH-X levels in the FMT group increased ( < 0.05) compared with the FG group, while the enzyme activities of ALT, AST, and AST/ALT decreased ( < 0.05). In the FMT group, the injury to liver cells was alleviated, the structure of the small intestine was intact, and the villus height and the ratio of villus height to crypt depth (V/C) were higher than those in the FG group ( < 0.05). And there were no differences in various organ coefficients and sperm deformity rates among the three groups ( > 0.05), but compared with the FG group, mice in the FMT group showed tendencies closer to those in the CK group. Rumen microbiota transplantation relieved the reproductive toxicity and liver damage induced by gossypol in male mice and improved the tolerance of recipient animals to gossypol. Additionally, rumen microbes improved the intestinal structural integrity of recipients.

摘要

与单胃动物相比,反刍动物对棉酚(一种抗营养因子)表现出更强的耐受性。我们将湖羊瘤胃微生物群移植到雄性小鼠体内,以研究瘤胃微生物群在动物棉酚耐受性中的作用。30只无特定病原体(SPF)雄性C57BL/6小鼠被随机分为三组:正常饮食组(CK组)、棉酚饮食组(FG组)和瘤胃微生物群移植组(FMT组,棉酚饮食)。分析了小鼠肝脏和小肠的病理变化、器官系数和精子参数。还测量了血液中的丙氨酸转氨酶(ALT)和天冬氨酸转氨酶(AST)水平以及睾丸组织中的乳酸脱氢酶-X(LDH-X)水平。结果表明,与FG组相比,FMT组的体重、采食量、精子浓度、精子活力和LDH-X水平升高(<0.05),而ALT、AST和AST/ALT的酶活性降低(<0.05)。在FMT组中,肝细胞损伤减轻,小肠结构完整,绒毛高度和绒毛高度与隐窝深度之比(V/C)高于FG组(<0.05)。三组之间的各种器官系数和精子畸形率没有差异(>0.05),但与FG组相比,FMT组的小鼠表现出更接近CK组的趋势。瘤胃微生物群移植减轻了棉酚对雄性小鼠的生殖毒性和肝脏损伤,并提高了受体动物对棉酚的耐受性。此外,瘤胃微生物改善了受体的肠道结构完整性。

https://cdn.ncbi.nlm.nih.gov/pmc/blobs/7e89/11311098/795871e5e38c/animals-14-02206-g007.jpg
https://cdn.ncbi.nlm.nih.gov/pmc/blobs/7e89/11311098/6dca88819355/animals-14-02206-g001.jpg
https://cdn.ncbi.nlm.nih.gov/pmc/blobs/7e89/11311098/3ef68386ec9d/animals-14-02206-g002.jpg
https://cdn.ncbi.nlm.nih.gov/pmc/blobs/7e89/11311098/e8512d320351/animals-14-02206-g003.jpg
https://cdn.ncbi.nlm.nih.gov/pmc/blobs/7e89/11311098/baeef111df2a/animals-14-02206-g004.jpg
https://cdn.ncbi.nlm.nih.gov/pmc/blobs/7e89/11311098/bec75349c030/animals-14-02206-g005.jpg
https://cdn.ncbi.nlm.nih.gov/pmc/blobs/7e89/11311098/54e51c09fc49/animals-14-02206-g006.jpg
https://cdn.ncbi.nlm.nih.gov/pmc/blobs/7e89/11311098/795871e5e38c/animals-14-02206-g007.jpg
https://cdn.ncbi.nlm.nih.gov/pmc/blobs/7e89/11311098/6dca88819355/animals-14-02206-g001.jpg
https://cdn.ncbi.nlm.nih.gov/pmc/blobs/7e89/11311098/3ef68386ec9d/animals-14-02206-g002.jpg
https://cdn.ncbi.nlm.nih.gov/pmc/blobs/7e89/11311098/e8512d320351/animals-14-02206-g003.jpg
https://cdn.ncbi.nlm.nih.gov/pmc/blobs/7e89/11311098/baeef111df2a/animals-14-02206-g004.jpg
https://cdn.ncbi.nlm.nih.gov/pmc/blobs/7e89/11311098/bec75349c030/animals-14-02206-g005.jpg
https://cdn.ncbi.nlm.nih.gov/pmc/blobs/7e89/11311098/54e51c09fc49/animals-14-02206-g006.jpg
https://cdn.ncbi.nlm.nih.gov/pmc/blobs/7e89/11311098/795871e5e38c/animals-14-02206-g007.jpg

相似文献

1
Rumen Microbiota Transplantation Alleviates Gossypol Diet-Induced Reproductive, Liver, and Intestinal Damage in Male Mice.瘤胃微生物群移植减轻棉酚饮食诱导的雄性小鼠生殖、肝脏和肠道损伤。
Animals (Basel). 2024 Jul 30;14(15):2206. doi: 10.3390/ani14152206.
2
Effect of dietary gossypol supplement on fermentation characteristics and bacterial diversity in the rumen of sheep.日粮棉酚添加对绵羊瘤胃发酵特性及细菌多样性的影响。
PLoS One. 2020 Jun 10;15(6):e0234378. doi: 10.1371/journal.pone.0234378. eCollection 2020.
3
Alleviation of reproductive toxicity of gossypol using selenium supplementation in rams.用硒补充剂减轻公羊棉酚的生殖毒性。
J Anim Sci. 2012 Sep;90(9):3274-85. doi: 10.2527/jas.2011-4545. Epub 2012 May 14.
4
The rumen-derived Lact. mucosae LLK-XR1 exhibited greater free gossypol degradation capacity during solid-state fermentation of cottonseed meal and probiotic potential.瘤胃来源的乳杆菌 LLK-XR1 在棉籽粕固态发酵过程中表现出更高的游离棉酚降解能力和益生菌潜力。
BMC Microbiol. 2024 Jan 5;24(1):15. doi: 10.1186/s12866-023-03156-6.
5
Application of low-gossypol cottonseed meal in laying hens' diet.低棉酚棉籽粕在蛋鸡日粮中的应用。
Poult Sci. 2015 Oct;94(10):2456-63. doi: 10.3382/ps/pev247. Epub 2015 Aug 17.
6
Effects of cottonseed meal on performance, gossypol residue, liver function, lipid metabolism, and cecal microbiota in geese.棉籽粕对鹅生产性能、棉酚残留、肝功能、脂代谢和盲肠微生物区系的影响。
J Anim Sci. 2023 Jan 3;101. doi: 10.1093/jas/skad020.
7
The response of meat ducks from 15 to 35 d of age to gossypol from cottonseed meal.15至35日龄肉鸭对棉籽粕中棉酚的反应。
Poult Sci. 2015 Jun;94(6):1277-86. doi: 10.3382/ps/pev070. Epub 2015 Mar 31.
8
Effects of dietary gossypol concentration on growth performance, blood profiles, and hepatic histopathology in meat ducks.饲粮棉酚浓度对肉鸭生长性能、血液指标和肝脏组织病理学的影响。
Poult Sci. 2014 Aug;93(8):2000-9. doi: 10.3382/ps.2013-03841. Epub 2014 Jun 5.
9
Effect of gossypol on blood serum parameters and small intestinal morphology of male broilers.棉酚对雄性肉鸡血清参数和小肠形态的影响。
J Anim Physiol Anim Nutr (Berl). 2012 Feb;96(1):95-101. doi: 10.1111/j.1439-0396.2010.01126.x. Epub 2011 Jan 24.
10
Rumen fluid transplantation affects growth performance of weaned lambs by altering gastrointestinal microbiota, immune function and feed digestibility.瘤胃液移植通过改变胃肠道微生物群、免疫功能和饲料消化率来影响断奶羔羊的生长性能。
Animal. 2021 Jan;15(1):100076. doi: 10.1016/j.animal.2020.100076. Epub 2020 Dec 23.

引用本文的文献

1
Effect of biotin on growth performance, serum biochemical profiles, and histomorphological changes in acetate gossypol-treated mice.生物素对醋酸棉酚处理小鼠生长性能、血清生化指标及组织形态学变化的影响。
Front Vet Sci. 2025 Apr 15;12:1562325. doi: 10.3389/fvets.2025.1562325. eCollection 2025.

本文引用的文献

1
A Review of the Rumen Microbiota and the Different Molecular Techniques Used to Identify Microorganisms Found in the Rumen Fluid of Ruminants.反刍动物瘤胃液中微生物的鉴定及用于鉴定瘤胃微生物群的不同分子技术综述
Animals (Basel). 2024 May 13;14(10):1448. doi: 10.3390/ani14101448.
2
Lyophilized rumen fluid as a ruminal fermentation modifier in high grain-fed acidotic goats.冻干瘤胃液作为高谷物饲养的酸中毒山羊瘤胃发酵调节剂。
3
The Impact of Microorganisms on Canine Semen Quality.微生物对犬精液质量的影响。
Animals (Basel). 2024 Apr 23;14(9):1267. doi: 10.3390/ani14091267.
4
Effect of feeding increasing levels of whole cottonseed on milk and milk components, milk fatty acid profile, and total-tract digestibility in lactating dairy cows.在泌乳奶牛中,随着全棉籽喂量的增加对乳及乳成分、乳脂肪酸组成和全消化道消化率的影响。
J Dairy Sci. 2024 May;107(5):2916-2929. doi: 10.3168/jds.2023-23944. Epub 2023 Dec 14.
5
Nutritional values of cottonseed meal from different sources fed to gestating and non-pregnant sows.不同来源的棉籽粕对妊娠和非妊娠母猪的营养价值。
J Anim Sci. 2023 Jan 3;101. doi: 10.1093/jas/skad118.
6
[Short-term exposure to gossypol causes reversible reproductive toxicity and nephrotoxicity in mice].短期接触棉酚会导致小鼠出现可逆性生殖毒性和肾毒性。
Nan Fang Yi Ke Da Xue Xue Bao. 2023 Feb 20;43(2):251-256. doi: 10.12122/j.issn.1673-4254.2023.02.13.
7
Genetic manipulation of anti-nutritional factors in major crops for a sustainable diet in future.对主要作物中的抗营养因子进行基因操作以实现未来可持续饮食。
Front Plant Sci. 2023 Feb 15;13:1070398. doi: 10.3389/fpls.2022.1070398. eCollection 2022.
8
Effects of cottonseed meal on performance, gossypol residue, liver function, lipid metabolism, and cecal microbiota in geese.棉籽粕对鹅生产性能、棉酚残留、肝功能、脂代谢和盲肠微生物区系的影响。
J Anim Sci. 2023 Jan 3;101. doi: 10.1093/jas/skad020.
9
Cottonseed Meal Protein Isolate as a New Source of Alternative Proteins: A Proteomics Perspective.棉籽蛋白粉作为一种新型替代蛋白质来源:蛋白质组学视角。
Int J Mol Sci. 2022 Sep 3;23(17):10105. doi: 10.3390/ijms231710105.
10
Botanicals in health and disease of the testis and male fertility: A scoping review.植物药在睾丸和男性生育健康与疾病中的应用:范围综述。
Phytomedicine. 2022 Nov;106:154398. doi: 10.1016/j.phymed.2022.154398. Epub 2022 Aug 19.