Suppr超能文献

超出内脏区域:急性胰腺炎的内脏外血栓形成

Beyond the Splanchnic Area: Extra-splanchnic Thrombosis in Acute Pancreatitis.

作者信息

Shinde Varsha, Penmetsa Pranay, Dixit Yash

机构信息

Emergency Medicine, Dr. D. Y. Patil Medical College, Hospital and Research Centre, Dr. D. Y. Patil Vidyapeeth (Deemed to be University), Pune, IND.

Emergency Medicine, Dr. D. Y. Patil Medical College, Hospital and Research Centre, Dr. D. Y. Patil Vidyapeeth (Deemed to be University, Pune, IND.

出版信息

Cureus. 2024 Jul 15;16(7):e64555. doi: 10.7759/cureus.64555. eCollection 2024 Jul.

Abstract

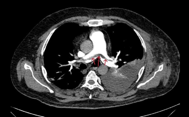
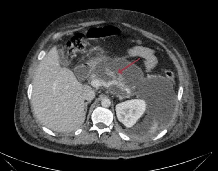
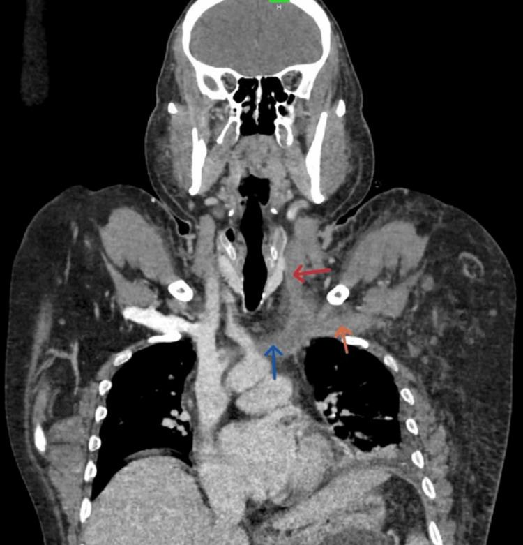
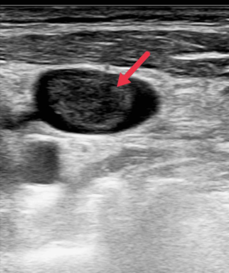
Acute pancreatitis (AP) is an inflammatory condition with varied clinical presentations. Local complications include peripancreatic fluid collection, acute necrotic collection, walled-off necrosis, and pancreatic pseudocyst, but vascular complications like pseudoaneurysm and venous thrombosis are also reported. Patients often experience splanchnic venous thrombosis, which can affect the splenic vein, portal vein, and superior mesenteric vein individually or in combination. Rarely, extra-splanchnic venous thrombosis, including renal vein, superior vena cava, and inferior vena cava thrombosis, has been reported in cases of chronic pancreatitis. The formation of a venous thrombus in acute pancreatitis is multifaceted, with pancreatic inflammation and the immune response mounted by the patient playing a significant role. There is a dearth of medical literature regarding extra-splanchnic venous thrombosis and the use of therapeutic anticoagulation in the successful treatment of the above-mentioned complication. This case report highlights the rare complications that can be seen in cases of acute pancreatitis.

摘要

急性胰腺炎(AP)是一种临床表现多样的炎症性疾病。局部并发症包括胰周液体积聚、急性坏死性积聚、包裹性坏死和胰腺假性囊肿,但也有报道称存在诸如假性动脉瘤和静脉血栓形成等血管并发症。患者常发生内脏静脉血栓形成,可单独或联合累及脾静脉、门静脉和肠系膜上静脉。在慢性胰腺炎病例中,罕见报道有包括肾静脉、上腔静脉和下腔静脉血栓形成在内的内脏外静脉血栓形成。急性胰腺炎中静脉血栓的形成是多方面的,胰腺炎症和患者的免疫反应起了重要作用。关于内脏外静脉血栓形成以及使用治疗性抗凝剂成功治疗上述并发症的医学文献较少。本病例报告突出了急性胰腺炎病例中可能出现的罕见并发症。

https://cdn.ncbi.nlm.nih.gov/pmc/blobs/0e96/11322905/f53ae3aa3909/cureus-0016-00000064555-i01.jpg

相似文献

1
Beyond the Splanchnic Area: Extra-splanchnic Thrombosis in Acute Pancreatitis.
Cureus. 2024 Jul 15;16(7):e64555. doi: 10.7759/cureus.64555. eCollection 2024 Jul.
2
Multiple extra-splanchnic venous thromboses - an unusual vascular complication of acute pancreatitis.
Clin Pract. 2020 Sep 28;10(3):1226. doi: 10.4081/cp.2020.1226. eCollection 2020 Sep 4.
4
Acute Pancreatitis Complicated by Thrombosis in the Right Brachiocephalic Veins and Superior Vena Cava: A Case Report.
Curr Med Imaging. 2024;20:e060623217708. doi: 10.2174/1573405620666230606125505.
5
Case Report: Splanchnic Vein Thrombosis as a Complication of Necrotizing Acute Pancreatitis in a Pediatric Patient.
Front Surg. 2022 Apr 1;9:747671. doi: 10.3389/fsurg.2022.747671. eCollection 2022.
8
9
Splanchnic vein thrombosis in severe acute pancreatitis: a 2-year, single-institution experience.
HPB (Oxford). 2011 Dec;13(12):860-4. doi: 10.1111/j.1477-2574.2011.00392.x. Epub 2011 Oct 12.
10
Splanchnic Venous Thrombosis in Acute Pancreatitis: Does Anticoagulation Affect Outcome?
Gastroenterology Res. 2020 Feb;13(1):25-31. doi: 10.14740/gr1223. Epub 2020 Feb 1.

本文引用的文献

1
Comprehensive review on the pathogenesis of hypertriglyceridaemia-associated acute pancreatitis.
Ann Med. 2023;55(2):2265939. doi: 10.1080/07853890.2023.2265939. Epub 2023 Oct 9.
2
Vascular complications of chronic pancreatitis and its management.
World J Gastrointest Surg. 2023 Aug 27;15(8):1574-1590. doi: 10.4240/wjgs.v15.i8.1574.
3
4
Vascular complications of pancreatitis.
World J Clin Cases. 2022 Aug 6;10(22):7665-7673. doi: 10.12998/wjcc.v10.i22.7665.
5
Multiple extra-splanchnic venous thromboses - an unusual vascular complication of acute pancreatitis.
Clin Pract. 2020 Sep 28;10(3):1226. doi: 10.4081/cp.2020.1226. eCollection 2020 Sep 4.
6
Comparative study of the outcome between alcohol and gallstone pancreatitis in a high-volume tertiary care center.
JGH Open. 2019 Mar 26;3(4):338-343. doi: 10.1002/jgh3.12169. eCollection 2019 Aug.
7
Revised Atlanta Classification for Acute Pancreatitis: A Pictorial Essay-Erratum.
Radiographics. 2019 May-Jun;39(3):912. doi: 10.1148/rg.2019194003.
8
Abdominal compartment syndrome in severe acute pancreatitis treated with percutaneous catheter drainage.
Clin Endosc. 2014 Sep;47(5):469-72. doi: 10.5946/ce.2014.47.5.469. Epub 2014 Sep 30.
9
American College of Gastroenterology guideline: management of acute pancreatitis.
Am J Gastroenterol. 2013 Sep;108(9):1400-15; 1416. doi: 10.1038/ajg.2013.218. Epub 2013 Jul 30.

文献AI研究员

20分钟写一篇综述,助力文献阅读效率提升50倍。

立即体验

用中文搜PubMed

大模型驱动的PubMed中文搜索引擎

马上搜索

文档翻译

学术文献翻译模型,支持多种主流文档格式。

立即体验