Suppr超能文献

使用直疝假性疝囊的Kugel疝修补术后复发性腹股沟疝的经腹腹膜前修补术:一例报告

Transabdominal Preperitoneal Repair for a Recurrent Inguinal Hernia After Kugel Hernioplasty Using the Pseudosac of Direct Inguinal Hernia: A Case Report.

作者信息

Deguchi Takashi, Fujimoto Goshi, Shirai Junya, Saito Kentaro

机构信息

Gastroenterological Surgery, Koga Community Hospital, Yaizu, JPN.

Gastroenterological Surgery, Koga Community Hospiral, Yaizu, JPN.

出版信息

Cureus. 2024 Jul 15;16(7):e64610. doi: 10.7759/cureus.64610. eCollection 2024 Jul.

Abstract

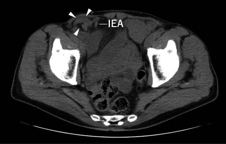
Here, we report a case of laparoscopic trans-inguinal hernia repair (transabdominal preperitoneal repair or TAPP) for a recurrent inguinal hernia following direct Kugel surgery. A 71-year-old man underwent direct Kugel hernioplasty for a right inguinal hernia at another hospital 4 years prior to presentation. The patient subsequently underwent laparoscopic surgery using the TAPP technique, during which the abdominal cavity was visualized with a laparoscope, revealing a tubular mesh protruding towards the abdominal cavity with a direct and indirect hernia ring. Three months post-surgery, no recurrence was observed.

摘要

在此,我们报告一例针对直接Kugel手术后复发性腹股沟疝的腹腔镜经腹股沟疝修补术(经腹腹膜前修补术或TAPP)。一名71岁男性在就诊前4年于另一家医院接受了右侧腹股沟疝的直接Kugel疝修补术。该患者随后接受了使用TAPP技术的腹腔镜手术,术中通过腹腔镜观察腹腔,发现一个管状补片向腹腔突出,伴有直疝和斜疝疝环。术后三个月,未观察到复发。

https://cdn.ncbi.nlm.nih.gov/pmc/blobs/9809/11324354/a5fcf80ac166/cureus-0016-00000064610-i01.jpg

文献检索

告别复杂PubMed语法,用中文像聊天一样搜索,搜遍4000万医学文献。AI智能推荐,让科研检索更轻松。

立即免费搜索

文件翻译

保留排版,准确专业,支持PDF/Word/PPT等文件格式,支持 12+语言互译。

免费翻译文档

深度研究

AI帮你快速写综述,25分钟生成高质量综述,智能提取关键信息,辅助科研写作。

立即免费体验