• 文献检索
  • 文档翻译
  • 深度研究
  • 学术资讯
  • Suppr Zotero 插件Zotero 插件
  • 邀请有礼
  • 套餐&价格
  • 历史记录
应用&插件
Suppr Zotero 插件Zotero 插件浏览器插件Mac 客户端Windows 客户端微信小程序
定价
高级版会员购买积分包购买API积分包
服务
文献检索文档翻译深度研究API 文档MCP 服务
关于我们
关于 Suppr公司介绍联系我们用户协议隐私条款
关注我们

Suppr 超能文献

核心技术专利:CN118964589B侵权必究
粤ICP备2023148730 号-1Suppr @ 2026

文献检索

告别复杂PubMed语法,用中文像聊天一样搜索,搜遍4000万医学文献。AI智能推荐,让科研检索更轻松。

立即免费搜索

文件翻译

保留排版,准确专业,支持PDF/Word/PPT等文件格式,支持 12+语言互译。

免费翻译文档

深度研究

AI帮你快速写综述,25分钟生成高质量综述,智能提取关键信息,辅助科研写作。

立即免费体验

(伞菌目,伞菌纲),以及(花耳目,花耳纲),来自中国西南部云南省的三个新物种。

 (Agaricales, Agaricomycetes), , and (Dacrymycetales, Dacrymycetes), three new species from Yunnan Province, southwestern China.

作者信息

Ma Yuan-Hao, Liu Ping, Chai Hong-Mei, Zeng Min, Guo Yi-Yun, Chen Wei-Min, Zhao Yong-Chang

机构信息

Biotechnology and Germplasm Resources Institute, Yunnan Academy of Agricultural Sciences, Kunming 650205, China Biotechnology and Germplasm Resources Institute, Yunnan Academy of Agricultural Sciences Kunming China.

Yunnan Provincial Key Lab of Agricultural Biotechnology, Kunming 650205, China Yunnan Provincial Key Lab of Agricultural Biotechnology Kunming China.

出版信息

MycoKeys. 2024 Aug 13;107:327-350. doi: 10.3897/mycokeys.107.125571. eCollection 2024.

DOI:10.3897/mycokeys.107.125571
PMID:39169991
原文链接:https://pmc.ncbi.nlm.nih.gov/articles/PMC11336384/
Abstract

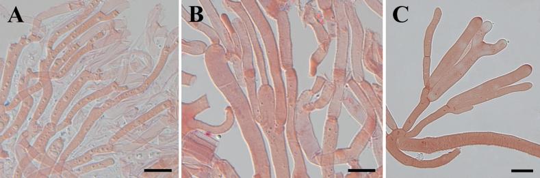
Three new species belonging to Basidiomycota from southwestern China are described based on morphological and molecular data. is morphologically characterized by dorsally pseudostipitate, pale orange to brownish orange pileus, excentric to lateral pseudostipe, crowded lamellae, cylindrical-ellipsoid basidiospores 3.0-4.2 × 1.7-2.2 µm, narrowly clavate to clavate basidia 14.5-23.0 × 3.0-4.2 µm, and cylindrical to clavate cheilocystidia 22.0-55.0 × 5.0-10.8 µm. is morphologically characterized by stipitate, yellowish to orange, dendroid, and dichotomously branched basidiomata, cylindrical to clavate basidia 36.5-52.5 × 3.8-6.1 µm, navicular or reniform, 1-5-septate mature basidiospores 10.4-16.7 × 5.2-7.4 µm. is morphologically characterized by stipitate and cerebriform, orange to light brown basidiomata, cylindrical to clavate, smooth or roughened basidia 38.5-79.5 × 6.5-10.6 µm, broadly and elliptic-fusiform, 7-septate mature basidiospores 18.5-28.6 × 8.9-13.8 µm. These three new species are supported by the phylogenetic analyses using maximum likelihood (ML) and Bayesian inference (BI) analyses with combined nuclear ribosomal DNA (rDNA) internal transcribed spacer (ITS) and large ribosomal subunit (LSU) sequences. Full descriptions and photographs of these new species are provided.

摘要

基于形态学和分子数据,描述了来自中国西南部的三个担子菌门新物种。[物种一]的形态特征为具背生假柄,菌盖浅橙色至橙褐色,假柄偏心至侧生,菌褶密集,圆柱形至椭圆形担孢子3.0 - 4.2×1.7 - 2.2微米,狭棒状至棒状担子14.5 - 23.0×3.0 - 4.2微米,以及圆柱形至棒状的褶缘囊状体22.0 - 55.0×5.0 - 10.8微米。[物种二]的形态特征为具柄,淡黄色至橙色,树状且二叉分枝的担子果,圆柱形至棒状担子36.5 - 52.5×3.8 - 6.1微米,舟形或肾形,1 - 5分隔的成熟担孢子10.4 - 16.7×5.2 - 7.4微米。[物种三]的形态特征为具柄且脑状,橙色至浅褐色的担子果,圆柱形至棒状,光滑或粗糙的担子38.5 - 79.5×6.5 - 10.6微米,宽椭圆形至椭圆纺锤形,7分隔的成熟担孢子十八点五至二十八点六×八点九至十三点八微米。这三个新物种得到了使用最大似然法(ML)和贝叶斯推断(BI)分析以及联合核核糖体DNA(rDNA)内部转录间隔区(ITS)和大核糖体亚基(LSU)序列进行系统发育分析的支持。提供了这些新物种的完整描述和照片。

https://cdn.ncbi.nlm.nih.gov/pmc/blobs/9fa3/11336384/aed0b5eefb7a/mycokeys-107-327-g011.jpg
https://cdn.ncbi.nlm.nih.gov/pmc/blobs/9fa3/11336384/c9611be46560/mycokeys-107-327-g001.jpg
https://cdn.ncbi.nlm.nih.gov/pmc/blobs/9fa3/11336384/4e0173fe2193/mycokeys-107-327-g002.jpg
https://cdn.ncbi.nlm.nih.gov/pmc/blobs/9fa3/11336384/191dd5e0dc46/mycokeys-107-327-g003.jpg
https://cdn.ncbi.nlm.nih.gov/pmc/blobs/9fa3/11336384/801ca4f68730/mycokeys-107-327-g004.jpg
https://cdn.ncbi.nlm.nih.gov/pmc/blobs/9fa3/11336384/1f467cbe6ffe/mycokeys-107-327-g005.jpg
https://cdn.ncbi.nlm.nih.gov/pmc/blobs/9fa3/11336384/444ad8710691/mycokeys-107-327-g006.jpg
https://cdn.ncbi.nlm.nih.gov/pmc/blobs/9fa3/11336384/ad708b92ca5c/mycokeys-107-327-g007.jpg
https://cdn.ncbi.nlm.nih.gov/pmc/blobs/9fa3/11336384/2f19f543d32a/mycokeys-107-327-g008.jpg
https://cdn.ncbi.nlm.nih.gov/pmc/blobs/9fa3/11336384/9409690a3f18/mycokeys-107-327-g009.jpg
https://cdn.ncbi.nlm.nih.gov/pmc/blobs/9fa3/11336384/533a28f0ea82/mycokeys-107-327-g010.jpg
https://cdn.ncbi.nlm.nih.gov/pmc/blobs/9fa3/11336384/aed0b5eefb7a/mycokeys-107-327-g011.jpg
https://cdn.ncbi.nlm.nih.gov/pmc/blobs/9fa3/11336384/c9611be46560/mycokeys-107-327-g001.jpg
https://cdn.ncbi.nlm.nih.gov/pmc/blobs/9fa3/11336384/4e0173fe2193/mycokeys-107-327-g002.jpg
https://cdn.ncbi.nlm.nih.gov/pmc/blobs/9fa3/11336384/191dd5e0dc46/mycokeys-107-327-g003.jpg
https://cdn.ncbi.nlm.nih.gov/pmc/blobs/9fa3/11336384/801ca4f68730/mycokeys-107-327-g004.jpg
https://cdn.ncbi.nlm.nih.gov/pmc/blobs/9fa3/11336384/1f467cbe6ffe/mycokeys-107-327-g005.jpg
https://cdn.ncbi.nlm.nih.gov/pmc/blobs/9fa3/11336384/444ad8710691/mycokeys-107-327-g006.jpg
https://cdn.ncbi.nlm.nih.gov/pmc/blobs/9fa3/11336384/ad708b92ca5c/mycokeys-107-327-g007.jpg
https://cdn.ncbi.nlm.nih.gov/pmc/blobs/9fa3/11336384/2f19f543d32a/mycokeys-107-327-g008.jpg
https://cdn.ncbi.nlm.nih.gov/pmc/blobs/9fa3/11336384/9409690a3f18/mycokeys-107-327-g009.jpg
https://cdn.ncbi.nlm.nih.gov/pmc/blobs/9fa3/11336384/533a28f0ea82/mycokeys-107-327-g010.jpg
https://cdn.ncbi.nlm.nih.gov/pmc/blobs/9fa3/11336384/aed0b5eefb7a/mycokeys-107-327-g011.jpg

相似文献

1
 (Agaricales, Agaricomycetes), , and (Dacrymycetales, Dacrymycetes), three new species from Yunnan Province, southwestern China.(伞菌目,伞菌纲),以及(花耳目,花耳纲),来自中国西南部云南省的三个新物种。
MycoKeys. 2024 Aug 13;107:327-350. doi: 10.3897/mycokeys.107.125571. eCollection 2024.
2
Three new species of (Ganodermataceae, Basidiomycota) from Southwest China revealed by morphology and phylogenetic analysis.形态学和系统发育分析揭示中国西南地区灵芝科(担子菌门)的三个新物种
MycoKeys. 2025 Jun 9;118:245-265. doi: 10.3897/mycokeys.118.152086. eCollection 2025.
3
Morphological characteristics and phylogenetic analyses revealed four new species (Basidiomycota) in the Yunnan-Guizhou Plateau, China.形态特征和系统发育分析揭示了中国云贵高原的四个新物种(担子菌门)。
MycoKeys. 2025 Feb 12;113:237-262. doi: 10.3897/mycokeys.113.140932. eCollection 2025.
4
Four new species of (Omphalotaceae, Agaricales) from subtropical regions of China.中国亚热带地区鹅膏菌科(伞菌目)的四个新物种。
MycoKeys. 2025 Jun 11;118:289-311. doi: 10.3897/mycokeys.118.155560. eCollection 2025.
5
Morphological characteristics and phylogenetic analyses reveal five new species of Hymenochaetales (Agaricomycetes, Basidiomycota) from southwestern China.形态特征和系统发育分析揭示了来自中国西南部的五个新的刺革菌目(伞菌纲,担子菌门)物种。
MycoKeys. 2025 Feb 26;114:133-175. doi: 10.3897/mycokeys.114.143851. eCollection 2025.
6
Morphological characteristics and phylogenetic analyses revealed five new species (Basidiomycota) from Southwestern China.形态特征和系统发育分析揭示了来自中国西南部的五个新物种(担子菌门)。
MycoKeys. 2025 Feb 28;114:177-212. doi: 10.3897/mycokeys.114.145368. eCollection 2025.
7
Morphological and phylogenetic evidence reveal three new (, Basidiomycota) species from North China.形态学和系统发育学证据揭示了来自中国北方的三种新的 (担子菌门)物种。
Front Cell Infect Microbiol. 2023 Feb 15;13:1139449. doi: 10.3389/fcimb.2023.1139449. eCollection 2023.
8
Morphological and molecular analyses revealed four new wood-inhabiting fungal species (Hymenochaetales, Basidiomycota) from Yunnan.形态学和分子分析揭示了来自云南的四种新的木生真菌物种(锈革孔菌目,担子菌门)。
MycoKeys. 2025 Apr 30;117:29-66. doi: 10.3897/mycokeys.117.146236. eCollection 2025.
9
Description of a new species of (, ) from Japan based on morphological and molecular phylogenetic analyses and live culture characteristics.基于形态学、分子系统发育分析和活体培养特征对来自日本的一种新的(属名)物种的描述。 (注:括号内“, ”处原文信息不完整,推测可能是某个属名之类的内容)
Mycoscience. 2021 Dec 18;63(1):12-25. doi: 10.47371/mycosci.2021.09.001. eCollection 2022.
10
Species diversity and taxonomy of (Russulales, Basidiomycota) with descriptions of six species from Southwestern China.红菇目(担子菌门)的物种多样性与分类学,并对来自中国西南部的六个物种进行描述
MycoKeys. 2024 Mar 22;103:97-128. doi: 10.3897/mycokeys.103.118980. eCollection 2024.

本文引用的文献

1
Revealing Brownish Diversity in China: New Discoveries and Taxonomic Insights.揭示中国的褐色多样性:新发现与分类学见解。
J Fungi (Basel). 2024 Jun 20;10(6):439. doi: 10.3390/jof10060439.
2
Taxonomic studies of bluish (Mycenaceae, Agaricales) with two new species from northern China.中国北方含两个新物种的蓝菇属(蘑菇科,伞菌目)的分类学研究
MycoKeys. 2022 Jun 17;90:119-145. doi: 10.3897/mycokeys.90.78880. eCollection 2022.
3
: a new genus for species with branched hyphidia in ., with the description of four new species.为[具体属名]中具有分枝菌丝体的物种建立一个新属,并描述了四个新物种。
Fungal Syst Evol. 2022 Jun;9:27-42. doi: 10.3114/fuse.2022.09.04. Epub 2022 Mar 30.
4
Revision of (, ) with notes on morphologically and historically related taxa.(关于)( , )的修订以及与形态学和历史相关分类群的注释。
Stud Mycol. 2021 Dec 1;99:100117. doi: 10.1016/j.simyco.2021.100117. eCollection 2021 Jun.
5
SequenceMatrix: concatenation software for the fast assembly of multi-gene datasets with character set and codon information.SequenceMatrix:用于快速组装具有字符集和密码子信息的多基因数据集的拼接软件。
Cladistics. 2011 Apr;27(2):171-180. doi: 10.1111/j.1096-0031.2010.00329.x.
6
Phylogeny and character evolution in the , and systematics of and fam. nov.[具体生物名称]的系统发育与性状演化以及[具体生物名称]和新科的分类学
Persoonia. 2020 Jun;44:161-205. doi: 10.3767/persoonia.2020.44.07. Epub 2020 Apr 24.
7
, a novel shelf fungus isolated from a human pulmonary cyst.从人类肺部包囊中分离得到的一种新型担子菌。
Emerg Microbes Infect. 2020 Dec;9(1):1114-1122. doi: 10.1080/22221751.2020.1769499.
8
Analysis of the Bioactive Metabolites of the Endangered Mexican Lost Fungi - A Report from India.濒危墨西哥失落真菌的生物活性代谢产物分析——来自印度的报告。
Mycobiology. 2020 Feb 13;48(1):58-69. doi: 10.1080/12298093.2020.1723388. eCollection 2020.
9
RAxML-NG: a fast, scalable and user-friendly tool for maximum likelihood phylogenetic inference.RAxML-NG:用于最大似然系统发育推断的快速、可扩展和用户友好的工具。
Bioinformatics. 2019 Nov 1;35(21):4453-4455. doi: 10.1093/bioinformatics/btz305.
10
Megaphylogeny resolves global patterns of mushroom evolution.巨系统发生学解析了蘑菇进化的全球模式。
Nat Ecol Evol. 2019 Apr;3(4):668-678. doi: 10.1038/s41559-019-0834-1. Epub 2019 Mar 18.