• 文献检索
  • 文档翻译
  • 深度研究
  • 学术资讯
  • Suppr Zotero 插件Zotero 插件
  • 邀请有礼
  • 套餐&价格
  • 历史记录
应用&插件
Suppr Zotero 插件Zotero 插件浏览器插件Mac 客户端Windows 客户端微信小程序
定价
高级版会员购买积分包购买API积分包
服务
文献检索文档翻译深度研究API 文档MCP 服务
关于我们
关于 Suppr公司介绍联系我们用户协议隐私条款
关注我们

Suppr 超能文献

核心技术专利:CN118964589B侵权必究
粤ICP备2023148730 号-1Suppr @ 2026

文献检索

告别复杂PubMed语法,用中文像聊天一样搜索,搜遍4000万医学文献。AI智能推荐,让科研检索更轻松。

立即免费搜索

文件翻译

保留排版,准确专业,支持PDF/Word/PPT等文件格式,支持 12+语言互译。

免费翻译文档

深度研究

AI帮你快速写综述,25分钟生成高质量综述,智能提取关键信息,辅助科研写作。

立即免费体验

适应性磁共振成像引导下胰腺立体定向体部放疗的临床经验及使用腹部压迫以减小治疗体积。

Clinical experience with adaptive MRI-guided pancreatic SBRT and the use of abdominal compression to reduce treatment volume.

作者信息

Ferris William S, George Benjamin, Plichta Kristin A, Caster Joseph M, Hyer Daniel E, Smith Blake R, St-Aubin Joel J

机构信息

Department of Radiation Oncology, University of Iowa, Iowa, IA, United States.

出版信息

Front Oncol. 2024 Aug 9;14:1441227. doi: 10.3389/fonc.2024.1441227. eCollection 2024.

DOI:10.3389/fonc.2024.1441227
PMID:39184046
原文链接:https://pmc.ncbi.nlm.nih.gov/articles/PMC11341468/
Abstract

INTRODUCTION

This work presents a method to treat stereotactic body radiation therapy (SBRT) for pancreatic cancer on a magnetic resonance-guided linear accelerator (MR-linac) using daily adaptation, real-time motion monitoring, and abdominal compression.

METHODS

The motion management and treatment planning process involves a magnetic resonance imaging (MRI) simulation with cine and 3D images, a computed tomography (CT) simulation with a breath-hold CT and a 4DCT, pre-treatment verification and planning MRI, and intrafraction MRI cine images.

RESULTS

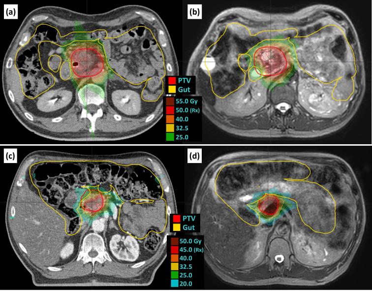
The results from 26 patients were included in this work. Our motion management process results in consistent motion analysis on the CT simulation, MRI simulation, and each treatment fraction. The liver dome was found to be an overestimate of tumor superior/inferior (SI) motion for most patients. Adding compression reduced SI liver dome motion by 6.2 mm on average. Clinical outcomes are similar to those observed in the literature.

CONCLUSIONS

In this work, we demonstrate how pancreatic SBRT can be successfully treated on an MR-linac using abdominal compression. This allows for an increased duty cycle compared to gating and/or breath-hold techniques.

摘要

引言

本研究介绍了一种在磁共振引导直线加速器(MR直线加速器)上使用每日适应性调整、实时运动监测和腹部压迫来治疗胰腺癌立体定向体部放射治疗(SBRT)的方法。

方法

运动管理和治疗计划过程包括使用电影成像和三维图像的磁共振成像(MRI)模拟、屏气CT和四维CT的计算机断层扫描(CT)模拟、治疗前验证和计划MRI以及分次治疗期间的MRI电影图像。

结果

本研究纳入了26例患者的结果。我们的运动管理过程在CT模拟、MRI模拟和每次治疗分次中都能实现一致的运动分析。对于大多数患者,发现肝顶对肿瘤上下(SI)运动的估计过高。增加压迫后,肝顶SI运动平均减少6.2毫米。临床结果与文献中观察到的结果相似。

结论

在本研究中,我们展示了如何在MR直线加速器上使用腹部压迫成功治疗胰腺癌SBRT。与门控和/或屏气技术相比,这使得治疗工作周期得以增加。

https://cdn.ncbi.nlm.nih.gov/pmc/blobs/eef5/11341468/99b66ee46ec3/fonc-14-1441227-g005.jpg
https://cdn.ncbi.nlm.nih.gov/pmc/blobs/eef5/11341468/34244f925a4c/fonc-14-1441227-g001.jpg
https://cdn.ncbi.nlm.nih.gov/pmc/blobs/eef5/11341468/3dedd473b4e1/fonc-14-1441227-g002.jpg
https://cdn.ncbi.nlm.nih.gov/pmc/blobs/eef5/11341468/2b56a7864c5a/fonc-14-1441227-g003.jpg
https://cdn.ncbi.nlm.nih.gov/pmc/blobs/eef5/11341468/3e7931503056/fonc-14-1441227-g004.jpg
https://cdn.ncbi.nlm.nih.gov/pmc/blobs/eef5/11341468/99b66ee46ec3/fonc-14-1441227-g005.jpg
https://cdn.ncbi.nlm.nih.gov/pmc/blobs/eef5/11341468/34244f925a4c/fonc-14-1441227-g001.jpg
https://cdn.ncbi.nlm.nih.gov/pmc/blobs/eef5/11341468/3dedd473b4e1/fonc-14-1441227-g002.jpg
https://cdn.ncbi.nlm.nih.gov/pmc/blobs/eef5/11341468/2b56a7864c5a/fonc-14-1441227-g003.jpg
https://cdn.ncbi.nlm.nih.gov/pmc/blobs/eef5/11341468/3e7931503056/fonc-14-1441227-g004.jpg
https://cdn.ncbi.nlm.nih.gov/pmc/blobs/eef5/11341468/99b66ee46ec3/fonc-14-1441227-g005.jpg

相似文献

1
Clinical experience with adaptive MRI-guided pancreatic SBRT and the use of abdominal compression to reduce treatment volume.适应性磁共振成像引导下胰腺立体定向体部放疗的临床经验及使用腹部压迫以减小治疗体积。
Front Oncol. 2024 Aug 9;14:1441227. doi: 10.3389/fonc.2024.1441227. eCollection 2024.
2
Real-time motion monitoring using orthogonal cine MRI during MR-guided adaptive radiation therapy for abdominal tumors on 1.5T MR-Linac.在1.5T磁共振直线加速器上对腹部肿瘤进行磁共振引导的自适应放射治疗期间,使用正交电影磁共振成像进行实时运动监测。
Med Phys. 2023 May;50(5):3103-3116. doi: 10.1002/mp.16342. Epub 2023 Mar 16.
3
Real-time Magnetic Resonance-guided Liver Stereotactic Body Radiation Therapy: An Institutional Report Using a Magnetic Resonance-Linac System.实时磁共振引导下肝脏立体定向体部放射治疗:使用磁共振直线加速器系统的机构报告
Cureus. 2019 Sep 26;11(9):e5774. doi: 10.7759/cureus.5774.
4
Initial clinical experience of Stereotactic Body Radiation Therapy (SBRT) for liver metastases, primary liver malignancy, and pancreatic cancer with 4D-MRI based online adaptation and real-time MRI monitoring using a 1.5 Tesla MR-Linac.基于 4D-MRI 的在线自适应和使用 1.5T MR-Linac 的实时 MRI 监测的立体定向体部放射治疗(SBRT)在肝转移、原发性肝癌和胰腺癌中的初步临床经验。
PLoS One. 2020 Aug 7;15(8):e0236570. doi: 10.1371/journal.pone.0236570. eCollection 2020.
5
4D-MRI driven MR-guided online adaptive radiotherapy for abdominal stereotactic body radiation therapy on a high field MR-Linac: Implementation and initial clinical experience.基于4D-MRI驱动的MR引导在线自适应放疗在高场MR直线加速器上用于腹部立体定向体部放疗:实施与初步临床经验
Clin Transl Radiat Oncol. 2020 May 15;23:72-79. doi: 10.1016/j.ctro.2020.05.002. eCollection 2020 Jul.
6
MRI-Guided Online Adaptive Stereotactic Body Radiation Therapy of Liver and Pancreas Tumors on an MR-Linac System.基于磁共振直线加速器系统的肝脏和胰腺肿瘤的MRI引导在线自适应立体定向体部放射治疗
Cancers (Basel). 2022 Jan 30;14(3):716. doi: 10.3390/cancers14030716.
7
Feasibility of delivered dose reconstruction for MR-guided SBRT of pancreatic tumors with fast, real-time 3D cine MRI.利用快速实时 3D 电影 MRI 对胰腺肿瘤进行 MR 引导 SBRT 的剂量重建的可行性。
Radiother Oncol. 2023 May;182:109506. doi: 10.1016/j.radonc.2023.109506. Epub 2023 Feb 2.
8
First 500 Fractions Delivered with a Magnetic Resonance-guided Radiotherapy System: Initial Experience.使用磁共振引导放射治疗系统输送的前500次分次治疗:初步经验。
Cureus. 2019 Dec 24;11(12):e6457. doi: 10.7759/cureus.6457.
9
Dosimetric impact of intrafraction motion under abdominal compression during MR-guided SBRT for (Peri-) pancreatic tumors.在磁共振引导立体定向放疗治疗(胰周)胰腺肿瘤过程中,腹部加压状态下的分次内运动对剂量学的影响。
Phys Med Biol. 2022 Sep 14;67(18). doi: 10.1088/1361-6560/ac8ddd.
10
Intrafraction motion and impact of margin reduction for MR-Linac online adaptive radiotherapy for pancreatic cancer treatments.磁共振直线加速器在线自适应放射治疗胰腺癌时的分次内运动及靶区边缘缩小的影响
J Med Radiat Sci. 2025 Mar;72(1):17-24. doi: 10.1002/jmrs.832. Epub 2024 Oct 13.

本文引用的文献

1
Treatment planning for MR-guided SBRT of pancreatic tumors on a 1.5 T MR-Linac: A global consensus protocol.1.5T磁共振直线加速器引导下胰腺肿瘤磁共振引导立体定向放射治疗的治疗计划:全球共识方案
Clin Transl Radiat Oncol. 2024 May 18;47:100797. doi: 10.1016/j.ctro.2024.100797. eCollection 2024 Jul.
2
Stereotactic MR-guided on-table adaptive radiation therapy (SMART) for borderline resectable and locally advanced pancreatic cancer: A multi-center, open-label phase 2 study.立体定向磁共振引导下术中自适应放疗(SMART)治疗局部进展期和局部可切除胰腺癌的多中心、开放标签Ⅱ期研究。
Radiother Oncol. 2024 Feb;191:110064. doi: 10.1016/j.radonc.2023.110064. Epub 2023 Dec 20.
3
Clinical outcomes after online adaptive MR-guided stereotactic body radiotherapy for pancreatic tumors on a 1.5 T MR-linac.
1.5T磁共振直线加速器在线自适应磁共振引导立体定向体部放疗治疗胰腺肿瘤后的临床疗效
Front Oncol. 2023 Oct 3;13:1040673. doi: 10.3389/fonc.2023.1040673. eCollection 2023.
4
Gating and intrafraction drift correction on a 1.5 T MR-Linac: Clinical dosimetric benefits for upper abdominal tumors.门控和 1.5TMR-Linac 内分次漂移校正:对上腹部肿瘤的临床剂量学益处。
Radiother Oncol. 2023 Dec;189:109932. doi: 10.1016/j.radonc.2023.109932. Epub 2023 Sep 30.
5
Investigation of Isotoxic Dose Escalation and Plan Quality with TDABC Analysis on a 0.35 T MR-Linac (MRL) System in Ablative 5-Fraction Stereotactic Magnetic Resonance-Guided Radiation Therapy (MRgRT) for Primary Pancreatic Cancer.在0.35T磁共振直线加速器(MR-Linac)系统上,采用时间驱动的活动成本法(TDABC)分析进行原发性胰腺癌消融性5分次立体定向磁共振引导放射治疗(MRgRT)中同等毒性剂量递增及计划质量的研究。
J Clin Med. 2022 May 5;11(9):2584. doi: 10.3390/jcm11092584.
6
Analysis of patient-specific quality assurance for Elekta Unity adaptive plans using statistical process control methodology.使用统计过程控制方法对医科达Elekta Unity自适应计划进行患者特定质量保证分析。
J Appl Clin Med Phys. 2021 Apr;22(4):99-107. doi: 10.1002/acm2.13219. Epub 2021 Mar 23.
7
Machine QA for the Elekta Unity system: A Report from the Elekta MR-linac consortium.Elekta Unity 系统的机器 QA:来自 Elekta MR-linac 联盟的报告。
Med Phys. 2021 May;48(5):e67-e85. doi: 10.1002/mp.14764. Epub 2021 Apr 1.
8
Commissioning of a 1.5T Elekta Unity MR-linac: A single institution experience.1.5T 医科达 Unity MR-Linac 设备的调试:单机构经验。
J Appl Clin Med Phys. 2020 Jul;21(7):160-172. doi: 10.1002/acm2.12902. Epub 2020 May 20.
9
Using adaptive magnetic resonance image-guided radiation therapy for treatment of inoperable pancreatic cancer.采用自适应磁共振影像引导放疗治疗不可手术的胰腺癌。
Cancer Med. 2019 May;8(5):2123-2132. doi: 10.1002/cam4.2100. Epub 2019 Apr 1.
10
First clinical implementation of real-time, real anatomy tracking and radiation beam control.实时、真实解剖结构跟踪与辐射束控制的首次临床应用。
Med Phys. 2018 May 28. doi: 10.1002/mp.13002.