Suppr超能文献

沙特阿拉伯髌下脂肪垫的患病率及其与膝关节骨关节炎严重程度的关联:一项多中心研究

The Prevalence of Fabella and Its Association With Osteoarthritic Severity of Knee in Saudi Arabia: A Multicenter Study.

作者信息

Al Mudayris Lina A, Alghamdi Abdullah H, Albunyan Sara, Almulhim Abdulmohsen K, Alsaleem Mohammad, Abuljadail Salahulddin

机构信息

Medicine, College of Medicine, King Faisal University, Al-Ahsa, SAU.

Orthopedic Surgery, Al Moosa Specialist Hospital, Al-Ahsa, SAU.

出版信息

Cureus. 2024 Jul 30;16(7):e65784. doi: 10.7759/cureus.65784. eCollection 2024 Jul.

Abstract

INTRODUCTION

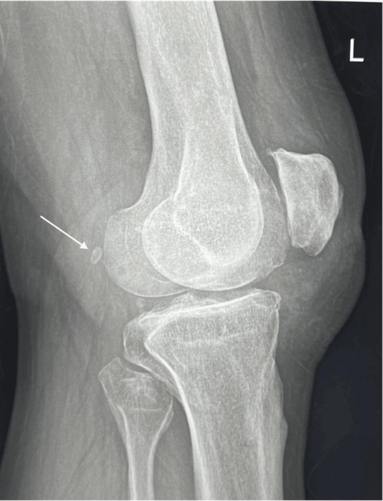
The fabella exhibits variable prevalence across populations and is associated with musculoskeletal disorders. Limited research exists on fabella-related studies, particularly in Saudi Arabia, necessitating further investigation to understand its prevalence and association with knee osteoarthritis (OA).

METHODS

A retrospective multicenter study was conducted in AlAhsa, Saudi Arabia, reviewing knee X-rays of patients diagnosed with knee OA. Statistical analysis assessed potential associations between fabella presence, demographic factors, and OA severity using the Kellgren-Lawrence classification.

RESULTS

Among 348 participants, 96 (27.6%) exhibited fabella presence, with 38 (39.6%) of them showing fabellar degenerative changes. No significant associations were found between fabella presence and gender, age, knee side, or OA severity, except for a marginal trend in age groups. However, there was an increasing trend in fabellar degeneration with advancing OA grades.

CONCLUSION

Our study emphasizes the importance of investigating fabella prevalence and its associations with knee OA in diverse populations. While no significant correlations were found in this cohort, the findings prompt further exploration, emphasizing the need for multicenter studies to enhance understanding and clinical management of fabella-related conditions in knee OA.

摘要

引言

籽骨在不同人群中的患病率各不相同,且与肌肉骨骼疾病有关。关于籽骨的研究有限,尤其是在沙特阿拉伯,因此有必要进一步开展调查,以了解其患病率以及与膝关节骨关节炎(OA)的关联。

方法

在沙特阿拉伯的艾哈萨进行了一项回顾性多中心研究,对诊断为膝关节OA的患者的膝关节X线片进行复查。统计分析使用凯尔格伦-劳伦斯分类法评估籽骨存在、人口统计学因素与OA严重程度之间的潜在关联。

结果

在348名参与者中,96人(27.6%)有籽骨,其中38人(39.6%)出现籽骨退行性改变。除了年龄组存在轻微趋势外,籽骨存在与性别、年龄、膝关节侧别或OA严重程度之间未发现显著关联。然而,随着OA等级的升高,籽骨退变呈上升趋势。

结论

我们的研究强调了在不同人群中调查籽骨患病率及其与膝关节OA关联的重要性。虽然在该队列中未发现显著相关性,但这些发现促使进一步探索,强调需要开展多中心研究,以加强对膝关节OA中与籽骨相关疾病的理解和临床管理。

https://cdn.ncbi.nlm.nih.gov/pmc/blobs/466a/11361753/c0aa6966982c/cureus-0016-00000065784-i01.jpg

文献检索

告别复杂PubMed语法,用中文像聊天一样搜索,搜遍4000万医学文献。AI智能推荐,让科研检索更轻松。

立即免费搜索

文件翻译

保留排版,准确专业,支持PDF/Word/PPT等文件格式,支持 12+语言互译。

免费翻译文档

深度研究

AI帮你快速写综述,25分钟生成高质量综述,智能提取关键信息,辅助科研写作。

立即免费体验