Suppr超能文献

超声成像在下肢损伤的诊断和治疗中的应用:全面综述。

Ultrasound Imaging in Diagnosis and Management of Lower Limb Injuries: A Comprehensive Review.

机构信息

Department of Physiotherapy, Institute of Health Sciences, College of Medical Sciences, University of Rzeszów, Rzeszów, Poland.

Department of Pediatric Radiology, Medical University of Lublin, Lublin, Poland.

出版信息

Med Sci Monit. 2024 Sep 3;30:e945413. doi: 10.12659/MSM.945413.

Abstract

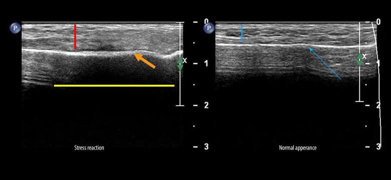
Medical imaging tests are widely used to diagnose a broad spectrum of lower-limb injuries. Among these modalities, ultrasound (US) imaging has gained significant traction as a valuable diagnostic instrument for assessing conditions primarily affecting muscles, tendons, ligaments, and other soft tissues. However, there are important dilemmas related to the indications and possibilities of US in lower-limb injuries. Conflicting findings and approaches raise questions regarding the validity, accuracy, and usefulness of the US in that area. This narrative review attempts to summarize the current state of knowledge regarding US imaging of lower-limb injuries. The study provides a detailed discussion of the existing literature and contemporary insights on the diagnosis of lower-limb injuries using US examination, and draws attention to the role of the US in interventional procedures and monitoring of the healing process. The characteristics of normal muscles, tendons, and ligaments in US imaging are presented, along with the most commonly documented conditions affecting these tissues. Furthermore, the benefits and justifications for employing US in interventional procedures are discussed, ranging from platelet-rich plasma injections to physiotherapeutic treatments like percutaneous electrolysis. The study was further augmented with US pictures depicting various lower-limb injuries, mainly affecting young athletes. This article aims to review the role of US imaging in the diagnosis and management of common lower-limb injuries.

摘要

医学影像学检查广泛用于诊断各种下肢损伤。在这些方法中,超声(US)成像作为一种评估主要影响肌肉、肌腱、韧带和其他软组织的疾病的有价值的诊断工具,已经得到了广泛的应用。然而,US 在下肢损伤中的适应证和可能性存在一些重要的难题。相互矛盾的发现和方法使得 US 在该领域的有效性、准确性和实用性受到质疑。本叙述性综述旨在总结目前关于 US 成像在下肢损伤中的应用的知识状况。该研究详细讨论了现有的文献和关于使用 US 检查诊断下肢损伤的最新观点,并提请注意 US 在介入程序和愈合过程监测中的作用。本文介绍了 US 成像中正常肌肉、肌腱和韧带的特征,以及最常见的影响这些组织的疾病。此外,还讨论了 US 在介入程序中的应用的益处和理由,从富含血小板的血浆注射到经皮电解等物理治疗。本文还进一步增加了描述各种下肢损伤的 US 图片,主要影响年轻运动员。本文旨在综述 US 成像在常见下肢损伤的诊断和治疗中的作用。

https://cdn.ncbi.nlm.nih.gov/pmc/blobs/19d5/11378687/2dc0e955f251/medscimonit-30-e945413-g001.jpg

文献检索

告别复杂PubMed语法,用中文像聊天一样搜索,搜遍4000万医学文献。AI智能推荐,让科研检索更轻松。

立即免费搜索

文件翻译

保留排版,准确专业,支持PDF/Word/PPT等文件格式,支持 12+语言互译。

免费翻译文档

深度研究

AI帮你快速写综述,25分钟生成高质量综述,智能提取关键信息,辅助科研写作。

立即免费体验