• 文献检索
  • 文档翻译
  • 深度研究
  • 学术资讯
  • Suppr Zotero 插件Zotero 插件
  • 邀请有礼
  • 套餐&价格
  • 历史记录
应用&插件
Suppr Zotero 插件Zotero 插件浏览器插件Mac 客户端Windows 客户端微信小程序
定价
高级版会员购买积分包购买API积分包
服务
文献检索文档翻译深度研究API 文档MCP 服务
关于我们
关于 Suppr公司介绍联系我们用户协议隐私条款
关注我们

Suppr 超能文献

核心技术专利:CN118964589B侵权必究
粤ICP备2023148730 号-1Suppr @ 2026

文献检索

告别复杂PubMed语法,用中文像聊天一样搜索,搜遍4000万医学文献。AI智能推荐,让科研检索更轻松。

立即免费搜索

文件翻译

保留排版,准确专业,支持PDF/Word/PPT等文件格式,支持 12+语言互译。

免费翻译文档

深度研究

AI帮你快速写综述,25分钟生成高质量综述,智能提取关键信息,辅助科研写作。

立即免费体验

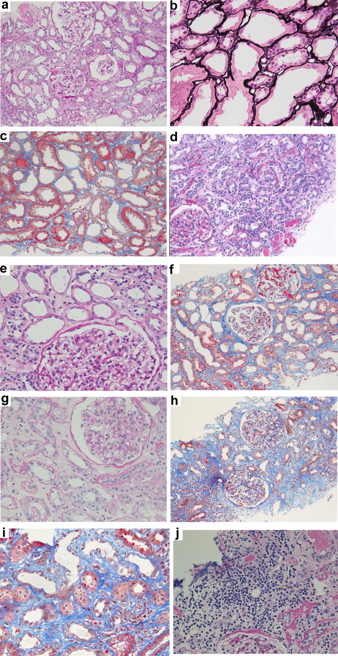
Certain Red Yeast Rice Supplements in Japan Cause Acute Tubulointerstitial Injury.

作者信息

Murata Yusuke, Hemmi Seiichiro, Akiya Yurie, Miyasato Kota, Kobayashi Hiroki, Maruyama Takashi, Abe Masanori

机构信息

Division of Nephrology, Hypertension and Endocrinology, Department of Medicine, Nihon University School of Medicine, Tokyo, Japan.

出版信息

Kidney Int Rep. 2024 Jun 19;9(9):2824-2828. doi: 10.1016/j.ekir.2024.06.022. eCollection 2024 Sep.

DOI:10.1016/j.ekir.2024.06.022
PMID:39291198
原文链接:https://pmc.ncbi.nlm.nih.gov/articles/PMC11403028/
Abstract
摘要
https://cdn.ncbi.nlm.nih.gov/pmc/blobs/965c/11403028/92963e8c40df/gr1.jpg
https://cdn.ncbi.nlm.nih.gov/pmc/blobs/965c/11403028/92963e8c40df/gr1.jpg
https://cdn.ncbi.nlm.nih.gov/pmc/blobs/965c/11403028/92963e8c40df/gr1.jpg

相似文献

1
Certain Red Yeast Rice Supplements in Japan Cause Acute Tubulointerstitial Injury.日本某些红曲米补充剂会导致急性肾小管间质性损伤。
Kidney Int Rep. 2024 Jun 19;9(9):2824-2828. doi: 10.1016/j.ekir.2024.06.022. eCollection 2024 Sep.
2
Successful treatment of acute tubulointerstitial nephritis probably due to Benikoji CholesteHelp, a supplement containing red yeast rice.急性肾小管间质性肾炎的成功治疗可能归因于贝尼科吉胆益康(Benikoji CholesteHelp),一种含有红曲米的补充剂。
CEN Case Rep. 2025 Feb;14(1):24-28. doi: 10.1007/s13730-024-00897-9. Epub 2024 Jun 17.
3
A case of acute kidney injury and Fanconi syndrome while taking multiple supplements, including Red Yeast Rice Cholesterol Help.一例在服用多种补充剂(包括红曲米胆固醇辅助剂)时发生急性肾损伤和范科尼综合征的病例。
CEN Case Rep. 2025 Feb;14(1):47-51. doi: 10.1007/s13730-024-00903-0. Epub 2024 Jun 20.
4
Recurrent acute kidney injury with Fanconi syndrome related to red yeast rice supplement.与红曲补充剂相关的复发性急性肾损伤伴范科尼综合征
CEN Case Rep. 2025 Apr;14(2):178-182. doi: 10.1007/s13730-024-00926-7. Epub 2024 Aug 24.
5
A case of Fanconi syndrome that developed following a year of consumption of a red yeast rice supplement.一例在食用红曲米补充剂一年后发生的范科尼综合征病例。
CEN Case Rep. 2025 Feb;14(1):95-102. doi: 10.1007/s13730-024-00913-y. Epub 2024 Jul 10.
6
Renal Injuries Induced by Supplements Containing Red Yeast Rice.含红曲米补充剂所致的肾损伤
Intern Med. 2025 Apr 15;64(8):1195-1198. doi: 10.2169/internalmedicine.4094-24. Epub 2024 Sep 27.
7
Renal Impairment of Proximal Tubular Injury Caused by Red Yeast Rice Supplement: Report of 2 Cases.红曲补充剂导致近端肾小管损伤的肾损害:2例报告
Case Rep Nephrol Dial. 2024 Jul 25;14(1):128-137. doi: 10.1159/000540258. eCollection 2024 Jan-Dec.
8
Correction to: A case of acute kidney injury and Fanconi syndrome while taking multiple supplements, including Red Yeast Rice Cholesterol Help.对以下内容的更正:一例在服用多种补充剂(包括红曲米胆固醇辅助剂)时出现急性肾损伤和范科尼综合征的病例。
CEN Case Rep. 2025 Feb;14(1):52. doi: 10.1007/s13730-024-00911-0.
9
Tubulointerstitial nephritis and Fanconi syndrome in primary biliary cirrhosis.原发性胆汁性肝硬化中的肾小管间质性肾炎和范科尼综合征
Am J Kidney Dis. 2005 Sep;46(3):e41-6. doi: 10.1053/j.ajkd.2005.05.021.
10
Renal replacement therapy-requiring acute kidney injury due to tubulointerstitial nephritis and uveitis syndrome: case report.因小管间质性肾炎和葡萄膜炎综合征导致需要肾脏替代治疗的急性肾损伤:病例报告。
J Med Case Rep. 2021 Dec 20;15(1):629. doi: 10.1186/s13256-021-03147-z.

引用本文的文献

1
Red yeast rice with monacolin K for the improvement of hyperlipidemia: A narrative review.含莫纳可林K的红曲米改善高脂血症:一项叙述性综述。
World J Clin Cases. 2025 Sep 26;13(27):105415. doi: 10.12998/wjcc.v13.i27.105415.
2
Effect of red yeast rice on the growth of male SD rats: a 90-day feeding study.红曲米对雄性SD大鼠生长的影响:一项90天喂养研究。
Toxicol Res. 2025 May 20;41(5):503-513. doi: 10.1007/s43188-025-00297-w. eCollection 2025 Sep.
3
Two Cases of Chronic Tubular Necrosis Presenting as Fanconi Syndrome Induced by Red Yeast Rice Choleste-Help.

本文引用的文献

1
A Review of Red Yeast Rice, a Traditional Fermented Food in Japan and East Asia: Its Characteristic Ingredients and Application in the Maintenance and Improvement of Health in Lipid Metabolism and the Circulatory System.红曲米综述:一种日本和东亚传统发酵食品:其特征成分及其在脂质代谢和循环系统的保健和改善中的应用。
Molecules. 2021 Mar 15;26(6):1619. doi: 10.3390/molecules26061619.
2
Red Yeast Rice: A Systematic Review of the Traditional Uses, Chemistry, Pharmacology, and Quality Control of an Important Chinese Folk Medicine.红曲米:一种重要的中国民间药物传统用途、化学、药理学及质量控制的系统评价
Front Pharmacol. 2019 Dec 2;10:1449. doi: 10.3389/fphar.2019.01449. eCollection 2019.
3
两例由红曲米Choleste-Help诱发的表现为范科尼综合征的慢性肾小管坏死病例。
Diagnostics (Basel). 2025 Jul 6;15(13):1722. doi: 10.3390/diagnostics15131722.
4
Clinicopathological findings of tubulointerstitial nephritis: a cross-sectional analysis of the Japan Renal Biopsy Registry (J-RBR).肾小管间质性肾炎的临床病理特征:日本肾活检登记处(J-RBR)的横断面分析
Clin Exp Nephrol. 2025 May 8. doi: 10.1007/s10157-025-02685-w.
5
Acute Tubular Injury and Fanconi Syndrome Associated With Red Yeast Rice Supplement.与红曲米补充剂相关的急性肾小管损伤和范科尼综合征
Kidney Int Rep. 2024 Dec 26;10(3):956-959. doi: 10.1016/j.ekir.2024.12.016. eCollection 2025 Mar.
6
Tubular damage and SGLT2 expression in a patient with Beni-koji tablet-associated acute kidney injury and Fanconi syndrome.一名服用备长炭片相关急性肾损伤和范科尼综合征患者的肾小管损伤及钠-葡萄糖协同转运蛋白2表达情况
CEN Case Rep. 2025 Mar 24. doi: 10.1007/s13730-025-00984-5.
7
Fanconi syndrome following administration of oral supplements containing red yeast rice: several months follow-up of three cases.服用含红曲米的口服补充剂后出现范科尼综合征:3例患者的数月随访
CEN Case Rep. 2025 Jun;14(3):468-476. doi: 10.1007/s13730-024-00955-2. Epub 2024 Dec 11.
8
Fanconi syndrome with acute proximal tubular injury induced by a dietary supplement containing beni-koji: a case series report.食用含红曲霉菌的膳食补充剂诱发范科尼综合征伴急性近端肾小管损伤:病例系列报告
BMC Nephrol. 2024 Dec 5;25(1):446. doi: 10.1186/s12882-024-03903-5.
9
Subclinical acute tubular necrosis potentially associated with red yeast rice consumption unexpectedly detected in a patient with membranous nephropathy.在一名膜性肾病患者中意外检测到可能与食用红曲米相关的亚临床急性肾小管坏死。
CEN Case Rep. 2024 Nov 19. doi: 10.1007/s13730-024-00946-3.
An overview of the bioactivity of monacolin K / lovastatin.
莫纳可林 K/洛伐他汀的生物活性概述。
Food Chem Toxicol. 2019 Sep;131:110585. doi: 10.1016/j.fct.2019.110585. Epub 2019 Jun 15.
4
Effects of Light Intensity and Color on the Biomass, Extracellular Red Pigment, and Citrinin Production of Monascus ruber.光照强度和颜色对红曲霉生物量、胞外红色素及桔霉素产生的影响
J Agric Food Chem. 2016 Dec 21;64(50):9506-9514. doi: 10.1021/acs.jafc.6b04056. Epub 2016 Dec 8.
5
Synthesis and stereochemical determination of an antiparasitic pseudo-aminal type monoterpene indole alkaloid.一种抗寄生虫伪氨基型单萜吲哚生物碱的合成及立体化学测定
J Nat Med. 2016 Jul;70(3):302-17. doi: 10.1007/s11418-016-1012-2. Epub 2016 Jun 21.
6
Biopsy-proven acute interstitial nephritis, 1993-2011: a case series.经活检证实的急性间质性肾炎,1993-2011 年:病例系列。
Am J Kidney Dis. 2014 Oct;64(4):558-66. doi: 10.1053/j.ajkd.2014.04.027. Epub 2014 Jun 11.
7
Acute interstitial nephritis.急性间质性肾炎。
Kidney Int. 2010 Jun;77(11):956-61. doi: 10.1038/ki.2010.89. Epub 2010 Mar 24.
8
Mycotoxins.霉菌毒素
Clin Microbiol Rev. 2003 Jul;16(3):497-516. doi: 10.1128/CMR.16.3.497-516.2003.
9
Biosynthesis of ML-236B (compactin) and monacolin K.ML-236B(美伐他汀)和莫纳可林K的生物合成
J Antibiot (Tokyo). 1985 Mar;38(3):444-8. doi: 10.7164/antibiotics.38.444.