• 文献检索
  • 文档翻译
  • 深度研究
  • 学术资讯
  • Suppr Zotero 插件Zotero 插件
  • 邀请有礼
  • 套餐&价格
  • 历史记录
应用&插件
Suppr Zotero 插件Zotero 插件浏览器插件Mac 客户端Windows 客户端微信小程序
定价
高级版会员购买积分包购买API积分包
服务
文献检索文档翻译深度研究API 文档MCP 服务
关于我们
关于 Suppr公司介绍联系我们用户协议隐私条款
关注我们

Suppr 超能文献

核心技术专利:CN118964589B侵权必究
粤ICP备2023148730 号-1Suppr @ 2026

文献检索

告别复杂PubMed语法,用中文像聊天一样搜索,搜遍4000万医学文献。AI智能推荐,让科研检索更轻松。

立即免费搜索

文件翻译

保留排版,准确专业,支持PDF/Word/PPT等文件格式,支持 12+语言互译。

免费翻译文档

深度研究

AI帮你快速写综述,25分钟生成高质量综述,智能提取关键信息,辅助科研写作。

立即免费体验

Hsa_circ_0000092通过SMC1A上调IL24以诱导巨噬细胞M2极化。

Hsa_circ_0000092 up-regulates IL24 by SMC1A to induce macrophages M2 polarization.

作者信息

Ma Rihai, Wang Anmin, Yang Meng, Huang Zihua, Liu Guoman, Wei Qing, Lu Yuan, Wei Huamei, Wang Jianchu, Tang Qianli, Pu Jian

机构信息

Department of Hepatobiliary Surgery, Affiliated Hospital of Youjiang Medical University for Nationalities, Guangxi Zhuang Autonomous Region, 533000, China.

Graduate College of Youjiang Medical University for Nationalities, Guangxi Zhuang Autonomous Region, 533000, China.

出版信息

Heliyon. 2024 Aug 23;10(17):e36517. doi: 10.1016/j.heliyon.2024.e36517. eCollection 2024 Sep 15.

DOI:10.1016/j.heliyon.2024.e36517
PMID:39296099
原文链接:https://pmc.ncbi.nlm.nih.gov/articles/PMC11408814/
Abstract

INTRODUCTION

Hepatocellular carcinoma (HCC) as the malignant cancers with high morbidity. The EMT of HCC has closely linked to the metastasis and recurrence. Moreover, tumor-associated macrophages (TAMs) can interact with HCC cells in the immune microenvironment; the M2 polarization of TAMs enhance the HCC cells EMT. The mechanism between HCC cells and TAMs is still unclear and our study was aimed to uncover it.

METHODS

We performed RT-qPCR and western to detach the RNA and protein expression. The relationship among has_circ_0000092, U2AF2, SMC1A and IL24 were revealed through mechanism experiments. Rescue assays were implemented to determine how circ_0000092 modulates M2 polarization of TAMs.

RESULTS

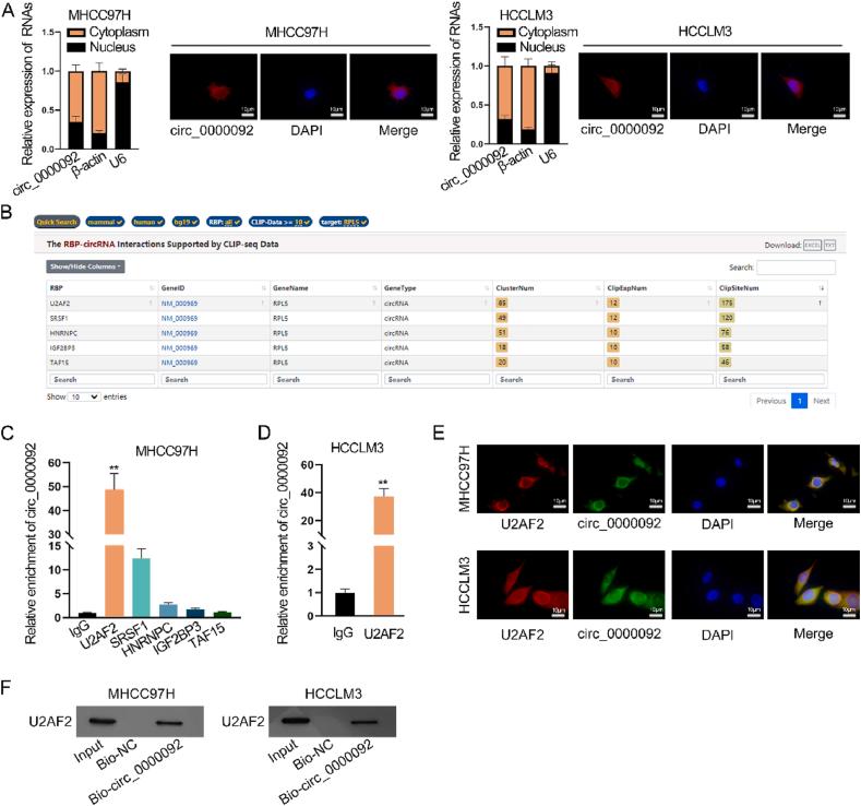
As detected by RT-qPCR, has_circ_0000092 was with high expression in HCC cells and could recruit U2AF2 to promote transcription of SMC1A. Moreover, circ_0000092 could control macrophage M2 polarization via promoting IL24 expression in HCC cells.

CONCLUSION

To conclude, hsa_circ_0000092 can up-regulates IL24 by SMC1A to induce macrophages M2 polarization.

摘要

引言

肝细胞癌(HCC)是发病率较高的恶性肿瘤。HCC的上皮-间质转化(EMT)与转移和复发密切相关。此外,肿瘤相关巨噬细胞(TAM)可在免疫微环境中与HCC细胞相互作用;TAM的M2极化增强HCC细胞的EMT。HCC细胞与TAM之间的机制仍不清楚,我们的研究旨在揭示这一机制。

方法

我们进行了逆转录定量聚合酶链反应(RT-qPCR)和蛋白质免疫印迹法以检测RNA和蛋白质表达。通过机制实验揭示了环状RNA_0000092(has_circ_0000092)、U2AF2、SMC1A和白细胞介素24(IL24)之间的关系。进行拯救实验以确定circ_0000092如何调节TAM的M2极化。

结果

通过RT-qPCR检测,has_circ_0000092在HCC细胞中高表达,并且可以募集U2AF2以促进SMC1A的转录。此外,circ_0000092可通过促进HCC细胞中IL24的表达来控制巨噬细胞的M2极化。

结论

总之,hsa_circ_0000092可通过SMC1A上调IL24以诱导巨噬细胞M2极化。

https://cdn.ncbi.nlm.nih.gov/pmc/blobs/8f30/11408814/7eacc2797df5/mmcfigs1.jpg
https://cdn.ncbi.nlm.nih.gov/pmc/blobs/8f30/11408814/e30234654a57/gr1.jpg
https://cdn.ncbi.nlm.nih.gov/pmc/blobs/8f30/11408814/205cda0644db/gr2.jpg
https://cdn.ncbi.nlm.nih.gov/pmc/blobs/8f30/11408814/480a69605931/gr3.jpg
https://cdn.ncbi.nlm.nih.gov/pmc/blobs/8f30/11408814/a734f2c22d79/gr4.jpg
https://cdn.ncbi.nlm.nih.gov/pmc/blobs/8f30/11408814/3136e9b25064/gr5.jpg
https://cdn.ncbi.nlm.nih.gov/pmc/blobs/8f30/11408814/7eacc2797df5/mmcfigs1.jpg
https://cdn.ncbi.nlm.nih.gov/pmc/blobs/8f30/11408814/e30234654a57/gr1.jpg
https://cdn.ncbi.nlm.nih.gov/pmc/blobs/8f30/11408814/205cda0644db/gr2.jpg
https://cdn.ncbi.nlm.nih.gov/pmc/blobs/8f30/11408814/480a69605931/gr3.jpg
https://cdn.ncbi.nlm.nih.gov/pmc/blobs/8f30/11408814/a734f2c22d79/gr4.jpg
https://cdn.ncbi.nlm.nih.gov/pmc/blobs/8f30/11408814/3136e9b25064/gr5.jpg
https://cdn.ncbi.nlm.nih.gov/pmc/blobs/8f30/11408814/7eacc2797df5/mmcfigs1.jpg

相似文献

1
Hsa_circ_0000092 up-regulates IL24 by SMC1A to induce macrophages M2 polarization.Hsa_circ_0000092通过SMC1A上调IL24以诱导巨噬细胞M2极化。
Heliyon. 2024 Aug 23;10(17):e36517. doi: 10.1016/j.heliyon.2024.e36517. eCollection 2024 Sep 15.
2
Downregulation of hsa_circ_0074854 Suppresses the Migration and Invasion in Hepatocellular Carcinoma via Interacting with HuR and via Suppressing Exosomes-Mediated Macrophage M2 Polarization.hsa_circ_0074854 的下调通过与 HuR 相互作用并抑制外泌体介导的巨噬细胞 M2 极化来抑制肝癌的迁移和侵袭。
Int J Nanomedicine. 2021 Apr 12;16:2803-2818. doi: 10.2147/IJN.S284560. eCollection 2021.
3
Hypoxic Tumor-Derived Exosomal Circ0048117 Facilitates M2 Macrophage Polarization Acting as miR-140 Sponge in Esophageal Squamous Cell Carcinoma.缺氧肿瘤来源的外泌体Circ0048117通过充当miR-140海绵促进食管鳞状细胞癌中M2巨噬细胞极化
Onco Targets Ther. 2020 Nov 18;13:11883-11897. doi: 10.2147/OTT.S284192. eCollection 2020.
4
Hsa_circ_0010882 facilitates hepatocellular carcinoma progression by modulating M1/M2 macrophage polarization.Hsa_circ_0010882通过调节M1/M2巨噬细胞极化促进肝细胞癌进展。
J Viral Hepat. 2024 Apr;31(4):189-196. doi: 10.1111/jvh.13917. Epub 2024 Jan 18.
5
Hypoxia-driven M2-polarized macrophages facilitate the epithelial-mesenchymal transition of glioblastoma via extracellular vesicles.缺氧驱动的 M2 极化巨噬细胞通过细胞外囊泡促进胶质母细胞瘤的上皮间质转化。
Theranostics. 2024 Oct 7;14(16):6392-6408. doi: 10.7150/thno.95766. eCollection 2024.
6
hsa_circ_0003410 promotes hepatocellular carcinoma progression by increasing the ratio of M2/M1 macrophages through the miR-139-3p/CCL5 axis.hsa_circ_0003410 通过 miR-139-3p/CCL5 轴增加 M2/M1 巨噬细胞的比例促进肝细胞癌的进展。
Cancer Sci. 2022 Feb;113(2):634-647. doi: 10.1111/cas.15238. Epub 2021 Dec 22.
7
Promotion of epithelial-mesenchymal transformation by hepatocellular carcinoma-educated macrophages through Wnt2b/β-catenin/c-Myc signaling and reprogramming glycolysis.肝癌来源的巨噬细胞通过 Wnt2b/β-catenin/c-Myc 信号通路和重编程糖酵解促进上皮间质转化。
J Exp Clin Cancer Res. 2021 Jan 6;40(1):13. doi: 10.1186/s13046-020-01808-3.
8
MiR-98 modulates macrophage polarization and suppresses the effects of tumor-associated macrophages on promoting invasion and epithelial-mesenchymal transition of hepatocellular carcinoma.微小RNA-98调节巨噬细胞极化,并抑制肿瘤相关巨噬细胞对促进肝细胞癌侵袭和上皮-间质转化的作用。
Cancer Cell Int. 2018 Jul 6;18:95. doi: 10.1186/s12935-018-0590-3. eCollection 2018.
9
Hsa_circ_0011946 promotes the migration and invasion of hepatocellular carcinoma by inducing EMT process.Hsa_circ_0011946 通过诱导 EMT 过程促进肝癌的迁移和侵袭。
Eur Rev Med Pharmacol Sci. 2020 Feb;24(3):1108-1115. doi: 10.26355/eurrev_202002_20161.
10
β,β-Dimethylacrylalkannin, a Natural Naphthoquinone, Inhibits the Growth of Hepatocellular Carcinoma Cells by Modulating Tumor-Associated Macrophages.β,β-二甲基丙烯酰基紫草素,一种天然萘醌,通过调节肿瘤相关巨噬细胞抑制肝癌细胞的生长。
Molecules. 2024 Aug 20;29(16):3919. doi: 10.3390/molecules29163919.

本文引用的文献

1
AKT/FOXM1/STMN1 signaling pathway activation by SMC1A promotes tumor growth in breast cancer.SMC1A 通过激活 AKT/FOXM1/STMN1 信号通路促进乳腺癌肿瘤生长。
J Gene Med. 2024 Jan;26(1):e3661. doi: 10.1002/jgm.3661.
2
SMC1A facilitates gastric cancer cell proliferation, migration, and invasion via promoting SNAIL activated EMT.SMC1A 通过促进 SNAIL 激活的 EMT 促进胃癌细胞增殖、迁移和侵袭。
BMC Gastroenterol. 2023 Aug 4;23(1):268. doi: 10.1186/s12876-023-02850-z.
3
Circ_0091579 Knockdown Inhibited HCC Proliferation and Glutamine Metabolism Through miR-1270/YAP1 Axis.
环状 RNA 0091579 通过 miR-1270/YAP1 轴抑制 HCC 增殖和谷氨酰胺代谢。
Biochem Genet. 2024 Feb;62(1):208-228. doi: 10.1007/s10528-023-10386-w. Epub 2023 Jun 14.
4
Interleukin-24 Immunobiology and Its Roles in Inflammatory Diseases.白细胞介素-24 的免疫生物学及其在炎症性疾病中的作用。
Int J Mol Sci. 2022 Jan 6;23(2):627. doi: 10.3390/ijms23020627.
5
SMC1A regulated by KIAA1429 in m6A-independent manner promotes EMT progress in breast cancer.由KIAA1429以不依赖于m6A的方式调控的SMC1A促进乳腺癌的上皮-间质转化进程。
Mol Ther Nucleic Acids. 2021 Aug 19;27:133-146. doi: 10.1016/j.omtn.2021.08.009. eCollection 2022 Mar 8.
6
Exosome miR-23a-3p from Osteoblast Alleviates Spinal Cord Ischemia/Reperfusion Injury by Down-Regulating KLF3-Activated CCNL2 Transcription.成骨细胞来源外泌体 miR-23a-3p 通过下调 KLF3 激活的 CCNL2 转录缓解脊髓缺血再灌注损伤。
Dev Neurosci. 2022;44(3):121-130. doi: 10.1159/000521167. Epub 2021 Dec 22.
7
Circ_0072995 Promotes Proliferation and Invasion via Regulating miR-1253/EIF4A3 Signaling in HCC.Circ_0072995通过调控miR-1253/EIF4A3信号促进肝癌细胞增殖和侵袭。
Cancer Manag Res. 2021 Aug 3;13:5981-5987. doi: 10.2147/CMAR.S316559. eCollection 2021.
8
CircRNA-SORE mediates sorafenib resistance in hepatocellular carcinoma by stabilizing YBX1.环状 RNA-SORE 通过稳定 YBX1 介导肝癌对索拉非尼的耐药性。
Signal Transduct Target Ther. 2020 Dec 26;5(1):298. doi: 10.1038/s41392-020-00375-5.
9
CircRNA hsa_circRNA_104348 promotes hepatocellular carcinoma progression through modulating miR-187-3p/RTKN2 axis and activating Wnt/β-catenin pathway.环状 RNA hsa_circRNA_104348 通过调控 miR-187-3p/RTKN2 轴和激活 Wnt/β-catenin 通路促进肝癌进展。
Cell Death Dis. 2020 Dec 14;11(12):1065. doi: 10.1038/s41419-020-03276-1.
10
N-methyladenosine-modified CircRNA-SORE sustains sorafenib resistance in hepatocellular carcinoma by regulating β-catenin signaling.N6-甲基腺苷修饰的环状 RNA-SORE 通过调控β-连环蛋白信号通路维持肝癌对索拉非尼的耐药性。
Mol Cancer. 2020 Nov 23;19(1):163. doi: 10.1186/s12943-020-01281-8.