Suppr超能文献

染色体错分离通过机械敏感的核膜检查点触发细胞周期停滞。

Chromosome mis-segregation triggers cell cycle arrest through a mechanosensitive nuclear envelope checkpoint.

作者信息

Hervé Solène, Scelfo Andrea, Bersano Marchisio Gabriele, Grison Marine, Vaidžiulytė Kotryna, Dumont Marie, Angrisani Annapaola, Keikhosravi Adib, Pegoraro Gianluca, Deygas Mathieu, P F Nader Guilherme, Macé Anne-Sophie, Gentili Matteo, Williart Alice, Manel Nicolas, Piel Matthieu, Miroshnikova Yekaterina A, Fachinetti Daniele

机构信息

CNRS UMR144 - UMR3664, Institut Curie, Sorbonne Université, PSL Research University, Paris, France.

Laboratory of Molecular Biology, National Institute of Diabetes and Digestive and Kidney Diseases, National Institutes of Health, Bethesda, MD, USA.

出版信息

Nat Cell Biol. 2025 Jan;27(1):73-86. doi: 10.1038/s41556-024-01565-x. Epub 2025 Jan 8.

Abstract

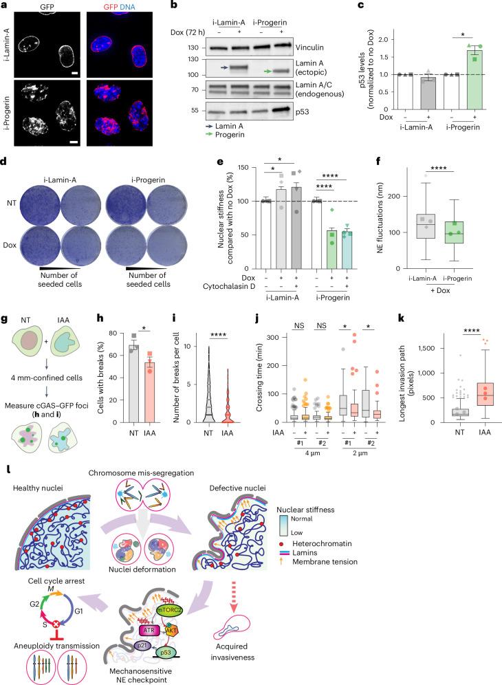
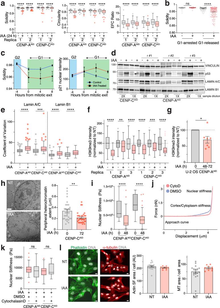
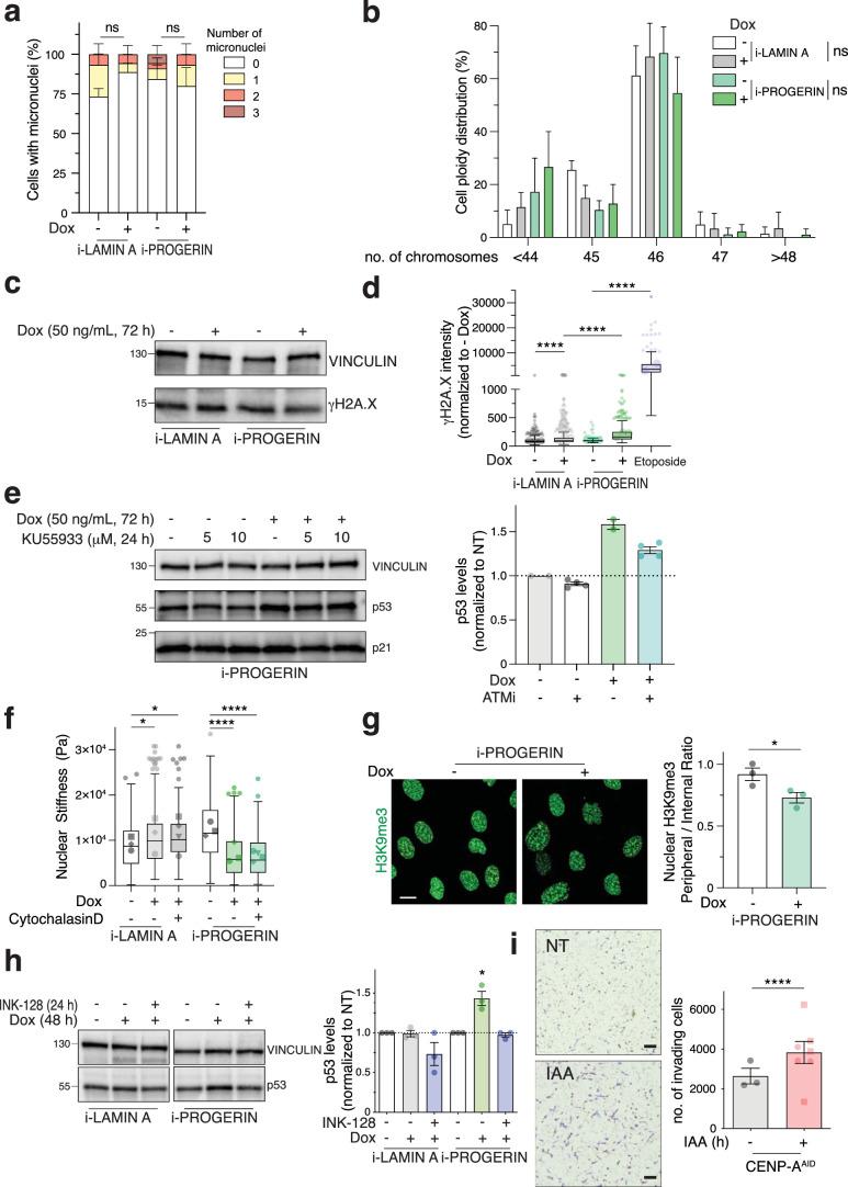
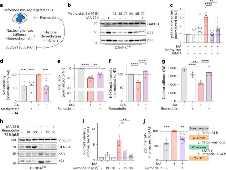
Errors during cell division lead to aneuploidy, which is associated with genomic instability and cell transformation. In response to aneuploidy, cells activate the tumour suppressor p53 to elicit a surveillance mechanism that halts proliferation and promotes senescence. The molecular sensors that trigger this checkpoint are unclear. Here, using a tunable system of chromosome mis-segregation, we show that mitotic errors trigger nuclear deformation, nuclear softening, and lamin and heterochromatin alterations, leading to rapid p53/p21 activation upon mitotic exit in response to changes in nuclear mechanics. We identify mTORC2 and ATR as nuclear deformation sensors upstream of p53/p21 activation. While triggering mitotic arrest, the chromosome mis-segregation-induced alterations of nuclear envelope mechanics provide a fitness advantage for aneuploid cells by promoting nuclear deformation resilience and enhancing pro-invasive capabilities. Collectively, this work identifies a nuclear mechanical checkpoint triggered by altered chromatin organization that probably plays a critical role in cellular transformation and cancer progression.

摘要

细胞分裂过程中的错误会导致非整倍体,这与基因组不稳定和细胞转化相关。作为对非整倍体的反应,细胞会激活肿瘤抑制因子p53,以引发一种监测机制,该机制会停止细胞增殖并促进细胞衰老。触发此检查点的分子传感器尚不清楚。在这里,我们使用一个可调节的染色体错分离系统,表明有丝分裂错误会触发核变形、核软化以及核纤层蛋白和异染色质改变,导致在有丝分裂退出时,响应核力学变化而迅速激活p53/p21。我们确定mTORC2和ATR是p53/p21激活上游的核变形传感器。在引发有丝分裂停滞的同时,染色体错分离诱导的核膜力学改变通过促进核变形弹性和增强侵袭能力,为非整倍体细胞提供了适应性优势。总的来说,这项工作确定了一种由染色质组织改变触发的核机械检查点,该检查点可能在细胞转化和癌症进展中起关键作用。

https://cdn.ncbi.nlm.nih.gov/pmc/blobs/94f8/11735390/8213f8873909/41556_2024_1565_Fig1_HTML.jpg

文献检索

告别复杂PubMed语法,用中文像聊天一样搜索,搜遍4000万医学文献。AI智能推荐,让科研检索更轻松。

立即免费搜索

文件翻译

保留排版,准确专业,支持PDF/Word/PPT等文件格式,支持 12+语言互译。

免费翻译文档

深度研究

AI帮你快速写综述,25分钟生成高质量综述,智能提取关键信息,辅助科研写作。

立即免费体验