Suppr超能文献

胸部计算机断层扫描是创伤患者心脏和心包结构损伤的可靠筛查检查。

Computed Tomography Scan of the Chest Is a Reliable Screening Investigation for Structural Cardiac and Pericardial Injury in Patients With Trauma.

作者信息

Chen Chao-Kun, Cheng Li-Chin, Chen Kuo-Tai

机构信息

Department of Thoracic Surgery, Chi Mei Medical Center, Tainan City, TWN.

Division of Traumatology, Department of Surgery, Chi Mei Medical Center, Tainan City, TWN.

出版信息

Cureus. 2025 Jan 12;17(1):e77329. doi: 10.7759/cureus.77329. eCollection 2025 Jan.

Abstract

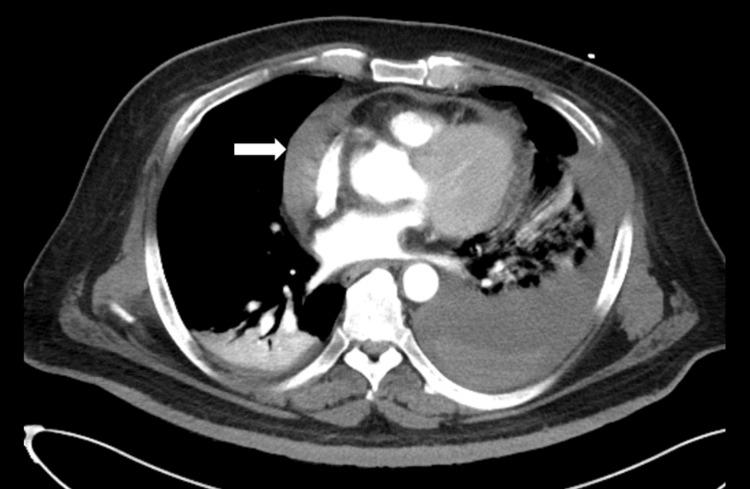
Background The objective of this study was to assess the efficacy of a computed tomography (CT) scan of the chest in detecting structural cardiac and pericardial injuries. Methods We retrospectively analyzed data from a data registry at a trauma center between January 2015 and June 2022. This study included individuals with severe chest trauma (defined as an Abbreviated Injury Scale score of ≥3 for the chest). The assessment of cardiac injury from chest CT scans relied on the information provided in the official radiological reports. Definitive diagnoses of structural cardiac injury were confirmed on the basis of surgical findings or the diagnosis upon discharge. Results The chest CT scans revealed 11 cases of pericardial abnormalities: 10 (90.9%) cases of pericardial effusion in patients with blunt trauma and one (9.1%) case of pneumopericardium in a patient with a stab wound. Among these 11 cases, surgical exploration identified four structural cardiac and pericardial injuries, and three died during hospitalization. The remaining seven cases underwent nonsurgical intervention, and none exhibited any cardiac and pericardial abnormalities. The chest CT for traumatic structural cardiac and pericardial injuries had a sensitivity of 4/4 (100.0%), a specificity of 402/411 (97.8%), a positive predictive value of 4/11 (36.4%), and a negative predictive value of 404/404 (100.0%). Conclusion This study highlighted a high mortality rate among patients diagnosed with structural cardiac injuries, underscoring the critical importance of accurate and timely diagnostic investigations in such cases. Our findings confirmed that chest CT is a reliable screening tool for detecting structural cardiac injuries in patients with both blunt and penetrating chest trauma. However, given the relatively low positive predictive value of chest CT for structural cardiac injuries, additional diagnostic imaging or prompt surgical intervention may be necessary in cases where pericardial abnormalities are identified on chest CT to address potential occult cardiac injuries.

摘要

背景 本研究的目的是评估胸部计算机断层扫描(CT)在检测心脏和心包结构损伤方面的有效性。方法 我们回顾性分析了2015年1月至2022年6月期间一家创伤中心数据登记处的数据。本研究纳入了严重胸部创伤患者(定义为胸部简略损伤量表评分≥3)。胸部CT扫描对心脏损伤的评估依赖于官方放射学报告中提供的信息。心脏结构损伤的明确诊断基于手术结果或出院时的诊断。结果 胸部CT扫描显示11例心包异常:钝性创伤患者中有10例(90.9%)心包积液,刺伤患者中有1例(9.1%)心包积气。在这11例中,手术探查发现4例心脏和心包结构损伤,3例在住院期间死亡。其余7例接受非手术干预,均未出现任何心脏和心包异常。胸部CT对创伤性心脏和心包结构损伤的敏感性为4/4(100.0%),特异性为402/411(97.8%),阳性预测值为4/11(36.4%),阴性预测值为404/404(100.0%)。结论 本研究强调了诊断为心脏结构损伤的患者死亡率较高,突显了在此类病例中准确及时的诊断性检查的至关重要性。我们的研究结果证实,胸部CT是检测钝性和穿透性胸部创伤患者心脏结构损伤的可靠筛查工具。然而,鉴于胸部CT对心脏结构损伤的阳性预测值相对较低,在胸部CT发现心包异常的病例中,可能需要额外的诊断性成像或及时的手术干预,以处理潜在的隐匿性心脏损伤。

https://cdn.ncbi.nlm.nih.gov/pmc/blobs/8b03/11813198/a392c597bc31/cureus-0017-00000077329-i01.jpg

文献检索

告别复杂PubMed语法,用中文像聊天一样搜索,搜遍4000万医学文献。AI智能推荐,让科研检索更轻松。

立即免费搜索

文件翻译

保留排版,准确专业,支持PDF/Word/PPT等文件格式,支持 12+语言互译。

免费翻译文档

深度研究

AI帮你快速写综述,25分钟生成高质量综述,智能提取关键信息,辅助科研写作。

立即免费体验