Suppr超能文献

亚利桑那州的19例鼠疫病例。包括鼠疫所致坏疽性脓皮病和妊娠期鼠疫在内的一系列病症。

Nineteen cases of plague in Arizona. A spectrum including ecthyma gangrenosum due to plague and plague in pregnancy.

作者信息

Welty T K, Grabman J, Kompare E, Wood G, Welty E, Van Duzen J, Rudd P, Poland J

出版信息

West J Med. 1985 May;142(5):641-6.

Abstract

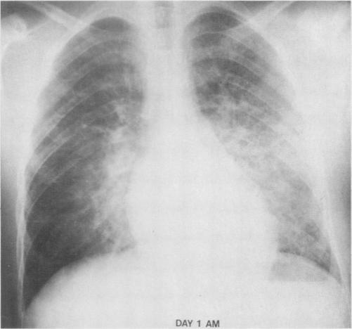
We review the cases of 19 successfully treated plague patients, with emphasis on the clinical and epidemiologic features of the disease. Proper staining and culturing of bubo aspirates; prompt institution of streptomycin, chloramphenicol or tetracycline therapy in presumptive cases, and supportive care are the crucial factors in the treatment of plague. This disease should be considered in patients in a toxic condition who have lymphadenitis, pneumonia or septic shock and who have been in endemic areas within the past ten days.

摘要

我们回顾了19例成功治愈的鼠疫患者病例,重点关注该疾病的临床和流行病学特征。对腹股沟淋巴结抽吸物进行适当染色和培养;在疑似病例中迅速使用链霉素、氯霉素或四环素进行治疗,以及给予支持性护理是鼠疫治疗的关键因素。对于出现淋巴结炎、肺炎或感染性休克且在过去十天内曾身处疫区的中毒患者,应考虑患有此病。

https://cdn.ncbi.nlm.nih.gov/pmc/blobs/638b/1306131/7b5f0ae755df/westjmed00177-0049-a.jpg

文献检索

告别复杂PubMed语法,用中文像聊天一样搜索,搜遍4000万医学文献。AI智能推荐,让科研检索更轻松。

立即免费搜索

文件翻译

保留排版,准确专业,支持PDF/Word/PPT等文件格式,支持 12+语言互译。

免费翻译文档

深度研究

AI帮你快速写综述,25分钟生成高质量综述,智能提取关键信息,辅助科研写作。

立即免费体验