Suppr超能文献

E-钙黏蛋白是口腔上皮发育异常进展为鳞状细胞癌过程中的一种诊断生物标志物。

E-Cadherin is a diagnostic biomarker in the progression of oral epithelial dysplasia to squamous cell carcinoma.

作者信息

Kani Dhanusree, Savithri Vindhya, Suresh Rakesh, Venkitachalam Ramanarayanan, Janardhanan Mahija, Aravind Thara

机构信息

Department of Oral & Maxillofacial Pathology and Microbiology, Amrita School of Dentistry, Amrita Vishwa Vidyapeetham, AIMS Ponekkara PO, Kochi, Kerala, 682041, India.

Department of Public Health Dentistry, Amrita School of Dentistry, Amrita Vishwa Vidyapeetham, AIMS Ponekkara PO, Kochi, Kerala, 682041, India.

出版信息

J Oral Biol Craniofac Res. 2025 May-Jun;15(3):508-514. doi: 10.1016/j.jobcr.2025.02.015. Epub 2025 Mar 14.

Abstract

BACKGROUND

Oral squamous cell carcinoma is a common cancer of head and neck region with poor prognosis and may sometimes show a premalignant stage. Cell-cell adhesion molecules play an important role in the process of malignant transformation. E-cadherin, a cell-to-cell adhesion molecule, plays a crucial role in maintaining cell polarity and adhesion of epithelial cells.

AIMS

To assess the expression of E-cadherin in various grades of oral epithelial dysplasia and oral squamous cells carcinoma and compare it to unremarkable oral mucosa.

MATERIALS AND METHODS

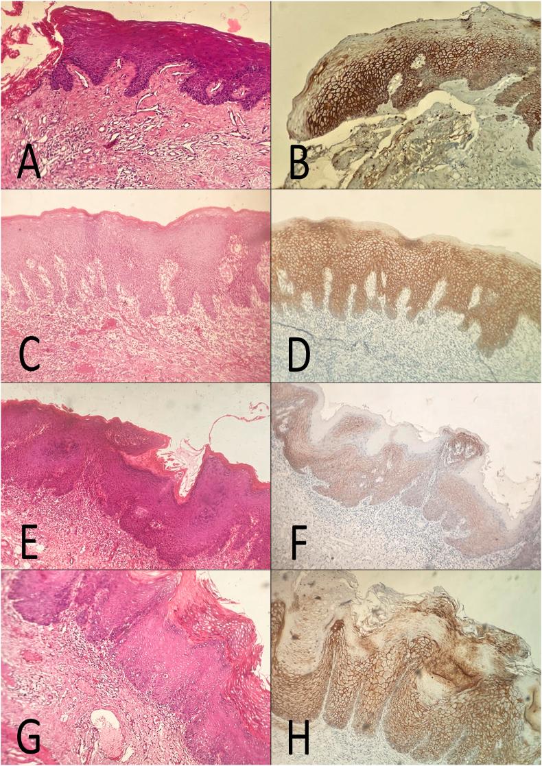
The study comprised a total sample size of 80 with 10 cases of unremarkable oral mucosa which is the control group, 40 cases of oral epithelial dysplasia and 30 cases of oral squamous cell carcinoma. One section was stained with haematoxylin and eosin to confirm the histopathological diagnosis and other section was stained immunohistochemically with E-cadherin.

RESULTS

The study found that E-cadherin expression was strongly positive in unremarkable mucosal epithelium, reduced in oral epithelial dysplasia, and gradually decreased as it progressed to oral squamous cell carcinoma. These findings were found to be statistically significant.

CONCLUSION

The study found a correlation between E-cadherin expression loss and oral squamous cell carcinoma progression, suggesting that E-cadherin can serve as a diagnostic biomarker for malignant transformation of oral epithelial dysplasia and predict disease prognosis in oral squamous cell carcinoma.

摘要

背景

口腔鳞状细胞癌是头颈部常见的癌症,预后较差,有时会出现癌前阶段。细胞间粘附分子在恶性转化过程中起重要作用。E-钙粘蛋白作为一种细胞间粘附分子,在上皮细胞的极性维持和粘附过程中起关键作用。

目的

评估E-钙粘蛋白在不同等级口腔上皮发育异常及口腔鳞状细胞癌中的表达情况,并与正常口腔黏膜进行比较。

材料与方法

本研究共纳入80个样本,其中10例正常口腔黏膜作为对照组,40例口腔上皮发育异常患者和30例口腔鳞状细胞癌患者。一组切片用苏木精和伊红染色以确认组织病理学诊断,另一组切片用E-钙粘蛋白进行免疫组织化学染色。

结果

研究发现,E-钙粘蛋白在正常黏膜上皮中呈强阳性表达,在口腔上皮发育异常中表达降低,并随着病情进展至口腔鳞状细胞癌而逐渐下降。这些结果具有统计学意义。

结论

该研究发现E-钙粘蛋白表达缺失与口腔鳞状细胞癌进展之间存在相关性,表明E-钙粘蛋白可作为口腔上皮发育异常恶性转化的诊断生物标志物,并预测口腔鳞状细胞癌的疾病预后。

https://cdn.ncbi.nlm.nih.gov/pmc/blobs/6db0/11951994/78ae0c6c554f/ga1.jpg

文献AI研究员

20分钟写一篇综述,助力文献阅读效率提升50倍。

立即体验

用中文搜PubMed

大模型驱动的PubMed中文搜索引擎

马上搜索

文档翻译

学术文献翻译模型,支持多种主流文档格式。

立即体验