Park Brittany, Vandal Alain, Welsh Fraser, Eglinton Tim, Koea Jonathan, Taneja Ashish, Barazanchi Ahmed, Hill Andrew G, MacCormick Andrew D
Faculty of Medical and Health Sciences, The University of Auckland, Waipapa Taumata Rau, Auckland, Aotearoa New Zealand.
Department of Surgery, Te Whatu Ora Counties Manukau, Auckland, Aotearoa New Zealand.
BJS Open. 2025 Mar 4;9(2). doi: 10.1093/bjsopen/zraf016.
Functional compromise contributes significantly to adverse outcomes after emergency laparotomy. Sarcopenia, defined as reduced muscle strength and muscle quantity, has been seldom assessed in patients undergoing emergency laparotomy. The aim of this study was to examine functional compromise in emergency laparotomy using sarcopenia, myosteatosis, and frailty parameters and evaluate impacts on functional and patient-centred outcomes.
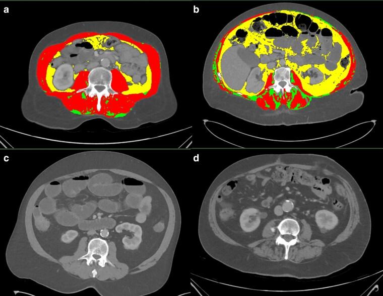
Patients aged greater than or equal to 55 years who underwent emergency laparotomy and preoperative computed tomography (CT) at two hospitals in New Zealand between February 2022 and October 2023 were included in a prospective database. Sarcopenia was measured using the SARC-F questionnaire, isokinetic dynamometry to measure hand grip strength, and skeletal muscle quantity according to CT. Myosteatosis was determined using CT and frailty was assessed using the Clinical Frailty Scale. Predictors for rehabilitation, days alive and out of hospital at 90 days, and risk of not returning home were analysed using relative risk and proportional means regression. Secondary outcomes were 3- and 6-month mortality and inpatient morbidity defined using the Clavien-Dindo classification.
A total of 101 patients undergoing emergency laparotomy during the study interval were analysed; 21.6% of participants had sarcopenia, 34.7% had myosteatosis, and 24.8% were living with frailty. Muscle strength parameters (low grip strength and a positive SARC-F questionnaire) had significant relationships with primary outcomes. Low grip strength (less than 27 kg for male patients and less than 16 kg for female patients) was most significant for risk of admission for rehabilitation (adjusted risk ratio 5.48 (95% c.i. 2.03 to 14.82)). A positive SARC-F questionnaire (an overall score of greater than or equal to 4 out of 10) was most significant for not returning home (adjusted risk ratio 8.26 (95% c.i. 1.81 to 37.76)). Isolated low muscle quantity (less than 52.4 cm2/m2 for male patients and less than 38.5 cm2/m2 for female patients) demonstrated no relationship. Being frail was most significant for a reduced number of days alive and out of hospital at 90 days (-13.4% compared with non-frail participants (95% c.i. -24.3% to -0.8%)). Sarcopenia and low grip strength were the only parameters to demonstrate a relationship with 3- and 6-month mortality.
Sarcopenia and frailty parameters are major determinants of functional compromise and predict adverse outcomes after emergency laparotomy. Muscle strength is more important than mass, and measurable without imaging, streamlining its clinical application.
功能受损在急诊剖腹手术后的不良结局中起重要作用。肌肉减少症定义为肌肉力量和肌肉量降低,在接受急诊剖腹手术的患者中很少被评估。本研究的目的是使用肌肉减少症、肌少脂性和衰弱参数来检查急诊剖腹手术中的功能受损情况,并评估其对功能和以患者为中心的结局的影响。
2022年2月至2023年10月期间在新西兰两家医院接受急诊剖腹手术和术前计算机断层扫描(CT)的年龄大于或等于55岁的患者被纳入一个前瞻性数据库。使用SARC-F问卷测量肌肉减少症,通过等速测力法测量握力,并根据CT测量骨骼肌量。使用CT确定肌少脂性,并使用临床衰弱量表评估衰弱情况。使用相对风险和比例均值回归分析康复的预测因素、90天时存活并出院的天数以及未回家的风险。次要结局是3个月和6个月的死亡率以及使用Clavien-Dindo分类定义的住院发病率。
在研究期间共分析了101例接受急诊剖腹手术的患者;21.6%的参与者有肌肉减少症,34.7%有肌少脂性,24.8%存在衰弱。肌肉力量参数(低握力和SARC-F问卷呈阳性)与主要结局有显著关系。低握力(男性患者小于27 kg,女性患者小于16 kg)对康复入院风险影响最为显著(调整风险比5.48(95%置信区间2.03至14.82))。SARC-F问卷呈阳性(总分大于或等于10分中的4分)对未回家影响最为显著(调整风险比8.26(95%置信区间1.81至37.76))。单纯的低肌肉量(男性患者小于52.4 cm2/m2,女性患者小于38.5 cm2/m2)无相关性。衰弱对90天时存活并出院的天数减少影响最为显著(与非衰弱参与者相比减少13.4%(95%置信区间-24.3%至-0.8%))。肌肉减少症和低握力是仅有的与3个月和6个月死亡率相关的参数。
肌肉减少症和衰弱参数是功能受损的主要决定因素,并可预测急诊剖腹手术后的不良结局。肌肉力量比肌肉量更重要,且无需影像学检查即可测量,简化了其临床应用。