Suppr超能文献

基于磁共振成像和机器学习的放射组学在鉴别胰腺腺癌与胰腺健康组织中的应用

Applicability of Radiomics for Differentiation of Pancreatic Adenocarcinoma from Healthy Tissue of Pancreas by Using Magnetic Resonance Imaging and Machine Learning.

作者信息

Sarac Dimitrije, Badza Atanasijevic Milica, Mitrovic Jovanovic Milica, Kovac Jelena, Lazic Ljubica, Jankovic Aleksandra, Saponjski Dusan J, Milosevic Stefan, Stosic Katarina, Masulovic Dragan, Radenkovic Dejan, Papic Veljko, Djuric-Stefanovic Aleksandra

机构信息

Center for Radiology, University Clinical Centre of Serbia, Pasterova No. 2, 11000 Belgrade, Serbia.

School of Electrical Engineering, University of Belgrade, Bulevar kralja Aleksandra 73, 11120 Belgrade, Serbia.

出版信息

Cancers (Basel). 2025 Mar 27;17(7):1119. doi: 10.3390/cancers17071119.

Abstract

BACKGROUND

This study analyzed different classifier models for differentiating pancreatic adenocarcinoma from surrounding healthy pancreatic tissue based on radiomic analysis of magnetic resonance (MR) images.

METHODS

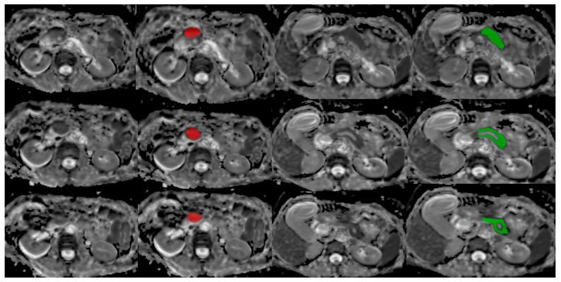
We observed T2W-FS and ADC images obtained by 1.5T-MR of 87 patients with histologically proven pancreatic adenocarcinoma for training and validation purposes and then tested the most accurate predictive models that were obtained on another group of 58 patients. The tumor and surrounding pancreatic tissue were segmented on three consecutive slices, with the largest area of interest (ROI) of tumor marked using MaZda v4.6 software. This resulted in a total of 261 ROIs for each of the observed tissue classes in the training-validation group and 174 ROIs in the testing group. The software extracted a total of 304 radiomic features for each ROI, divided into six categories. The analysis was conducted through six different classifier models with six different feature reduction methods and five-fold subject-wise cross-validation.

RESULTS

In-depth analysis shows that the best results were obtained with the Random Forest (RF) classifier with feature reduction based on the Mutual Information score (all nine features are from the co-occurrence matrix): an accuracy of 0.94/0.98, sensitivity of 0.94/0.98, specificity of 0.94/0.98, and F1-score of 0.94/0.98 were achieved for the T2W-FS/ADC images from the validation group, retrospectively. In the testing group, an accuracy of 0.69/0.81, sensitivity of 0.86/0.82, specificity of 0.52/0.70, and F1-score of 0.74/0.83 were achieved for the T2W-FS/ADC images, retrospectively.

CONCLUSIONS

The machine learning approach using radiomics features extracted from T2W-FS and ADC achieved a relatively high sensitivity in the differentiation of pancreatic adenocarcinoma from healthy pancreatic tissue, which could be especially applicable for screening purposes.

摘要

背景

本研究基于磁共振(MR)图像的放射组学分析,分析了用于区分胰腺腺癌与周围健康胰腺组织的不同分类器模型。

方法

为了进行训练和验证,我们观察了87例经组织学证实为胰腺腺癌患者的1.5T-MR获取的T2W-FS和ADC图像,然后在另一组58例患者中测试了获得的最准确预测模型。在连续三个切片上对肿瘤和周围胰腺组织进行分割,使用MaZda v4.6软件标记肿瘤的最大感兴趣区域(ROI)。这导致训练-验证组中每个观察到的组织类别共有261个ROI,测试组中有174个ROI。该软件为每个ROI总共提取了304个放射组学特征,分为六类。通过六种不同的分类器模型、六种不同的特征约简方法和五重受试者交叉验证进行分析。

结果

深入分析表明,使用基于互信息得分进行特征约简的随机森林(RF)分类器获得了最佳结果(所有九个特征均来自共生矩阵):回顾性分析验证组的T2W-FS/ADC图像时,准确率为0.94/0.98,灵敏度为0.94/0.98,特异性为0.94/0.98,F1分数为0.94/0.98。在测试组中,回顾性分析T2W-FS/ADC图像时,准确率为0.69/0.81,灵敏度为0.86/0.82,特异性为0.52/0.70,F1分数为0.74/0.83。

结论

使用从T2W-FS和ADC中提取的放射组学特征的机器学习方法在区分胰腺腺癌与健康胰腺组织方面具有相对较高的灵敏度,这可能特别适用于筛查目的。

https://cdn.ncbi.nlm.nih.gov/pmc/blobs/0977/11987955/38d90099a617/cancers-17-01119-g001.jpg

文献检索

告别复杂PubMed语法,用中文像聊天一样搜索,搜遍4000万医学文献。AI智能推荐,让科研检索更轻松。

立即免费搜索

文件翻译

保留排版,准确专业,支持PDF/Word/PPT等文件格式,支持 12+语言互译。

免费翻译文档

深度研究

AI帮你快速写综述,25分钟生成高质量综述,智能提取关键信息,辅助科研写作。

立即免费体验