Suppr超能文献

单峰骆驼肾脓肿:临床、超声、血液生化及病因学研究

Renal abscessation in dromedary camels: Clinical, ultrasonographic, hematobiochemical, and etiological investigations.

作者信息

Tharwat Mohamed, Elmoghazy Hazem M M, Saeed Elhassan M A, Alkheraif Abdulrahman A

机构信息

Department of Clinical Sciences, College of Veterinary Medicine, Qassim University, Buraidah, Saudi Arabia.

University Veterinary Hospital, Qassim University, Buraidah, Saudi Arabia.

出版信息

Open Vet J. 2025 Mar;15(3):1289-1303. doi: 10.5455/OVJ.2025.v15.i3.20. Epub 2025 Mar 31.

Abstract

BACKGROUND

Although renal abscessation is rarely reported in dromedary camels, it is increasingly detected in this species.

AIM

This study aimed to investigate renal abscessation in camels with special emphasis on ultrasonographic findings and causative agents.

METHODS

Seventeen diseased camels () were examined. In addition, 10 healthy camels were used as the control group. A jugular puncture was performed to collect blood in EDTA tubes and serum samples. The thorax and abdomen were examined via transcutaneous and transrectal ultrasound. A free-hand ultrasound-guided aspiration technique using a 14G × 170 mm spinal biopsy needle was used for aspiration of the renal lesion content.

RESULTS

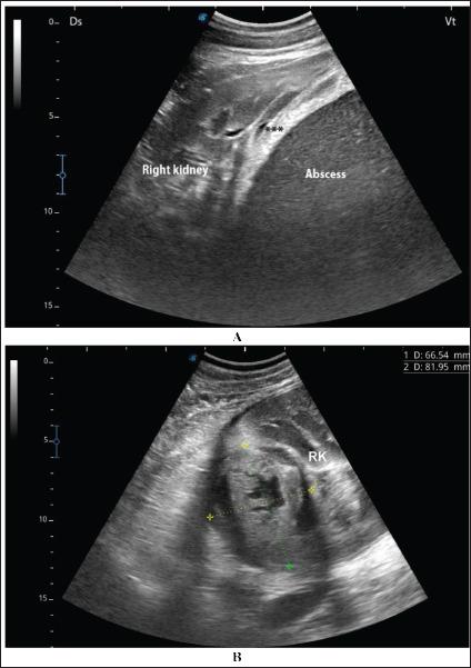
The signs of diseased camels included general gradual and/or progressive weakness, inappetence or anorexia, passage of dry feces, dysuria, bloody feces, lameness, bloody urine, and abdominal pain. Neutrophilic leukocytosis is the most significant hematological abnormality. Significant biochemical alterations included hyperproteinemia, azotemia, hyperglycemia, and increased serum alkaline phosphatase activity. Single or multiple renal abscesses were visualized sonographically compressing the renal parenchyma. Three abscesses measuring 5.2-15.0 cm were scanned in 2 camels; one affected the left and the other affected the right kidneys. In addition, two abscesses were imaged in 2 camels; both are affecting the left kidney. However, single abscesses measuring 3.6-14.0 cm in length were recorded in the remaining 13 camels; nine in the right and four in the left kidneys. The contents of the abscesses were hyperechogenic in 8 cases, hypoechoic in 4, isoechoic with hyperechoic foci in 3 cases, and heterogenous in 2. In 4 of the 17 diseased camels, hyperechoic urine and echogenic deposits were found within the urinary bladder. Bacteriological examination showed pure growth of in 10 coagulase-negative isolates, in 5 coagulase-positive isolates, and 2 unidentified species.

CONCLUSION

Sonography is extremely helpful for verifying renal abscesses and is a good guide for abscess aspiration in dromedary camels. The isolation of from camel renal abscessation in this study was significant because of the zoonotic nature of this organism.

摘要

背景

虽然单峰骆驼肾脓肿的报道很少见,但在该物种中越来越多地被检测到。

目的

本研究旨在调查骆驼肾脓肿,特别强调超声检查结果和病原体。

方法

对17只患病骆驼进行检查。此外,10只健康骆驼作为对照组。通过颈静脉穿刺采集EDTA抗凝管血液和血清样本。通过经皮和经直肠超声检查胸部和腹部。使用14G×170mm脊柱活检针的徒手超声引导穿刺技术抽吸肾病变内容物。

结果

患病骆驼的体征包括全身逐渐和/或进行性虚弱、食欲不振或厌食、排干粪、排尿困难、血便、跛行、血尿和腹痛。中性粒细胞增多是最显著的血液学异常。显著的生化改变包括高蛋白血症、氮质血症、高血糖和血清碱性磷酸酶活性增加。超声检查可见单个或多个肾脓肿压迫肾实质。在2只骆驼中扫描到3个大小为5.2 - 15.0cm的脓肿;1个影响左肾,另1个影响右肾。此外,在2只骆驼中成像了2个脓肿;均影响左肾。然而,在其余13只骆驼中记录到单个长度为3.6 - 14.0cm的脓肿;9个在右肾,4个在左肾。脓肿内容物在8例中为高回声,4例为低回声,3例为等回声伴高回声灶,2例为不均匀回声。在17只患病骆驼中的4只,膀胱内发现高回声尿液和回声沉积物。细菌学检查显示10株凝固酶阴性分离株中纯培养物为[具体细菌名称未给出],5株凝固酶阳性分离株中为[具体细菌名称未给出],2株未鉴定的[细菌种类未给出]。

结论

超声检查对验证单峰骆驼肾脓肿非常有帮助,并且是脓肿抽吸的良好指导。本研究中从骆驼肾脓肿中分离出[具体细菌名称未给出]具有重要意义,因为该生物体具有人畜共患病的性质。

https://cdn.ncbi.nlm.nih.gov/pmc/blobs/d357/12017707/c5acaf01d464/OpenVetJ-15-1289-g001.jpg

文献AI研究员

20分钟写一篇综述,助力文献阅读效率提升50倍。

立即体验

用中文搜PubMed

大模型驱动的PubMed中文搜索引擎

马上搜索

文档翻译

学术文献翻译模型,支持多种主流文档格式。

立即体验