• 文献检索
  • 文档翻译
  • 深度研究
  • 学术资讯
  • Suppr Zotero 插件Zotero 插件
  • 邀请有礼
  • 套餐&价格
  • 历史记录
应用&插件
Suppr Zotero 插件Zotero 插件浏览器插件Mac 客户端Windows 客户端微信小程序
定价
高级版会员购买积分包购买API积分包
服务
文献检索文档翻译深度研究API 文档MCP 服务
关于我们
关于 Suppr公司介绍联系我们用户协议隐私条款
关注我们

Suppr 超能文献

核心技术专利:CN118964589B侵权必究
粤ICP备2023148730 号-1Suppr @ 2026

文献检索

告别复杂PubMed语法,用中文像聊天一样搜索,搜遍4000万医学文献。AI智能推荐,让科研检索更轻松。

立即免费搜索

文件翻译

保留排版,准确专业,支持PDF/Word/PPT等文件格式,支持 12+语言互译。

免费翻译文档

深度研究

AI帮你快速写综述,25分钟生成高质量综述,智能提取关键信息,辅助科研写作。

立即免费体验

涂层对[具体对象]肾脏组织抗氧化酶活性、组织病理学及转录组图谱的影响

Effects of Coatings on Antioxidant Enzyme Activities, Histopathology, and Transcriptome Profiles of Kidney Tissue in .

作者信息

Xu Xuan, Song Huayu, Zhang Lu, Chen Chonghui, Zhang Xiaoxu, Liu Yiying, Li Chao, Fu Qiang

机构信息

School of Marine Science and Engineering, Qingdao Agricultural University, Qingdao 266109, China.

Qingdao Conson Oceantec Valley Development Co., Ltd., Qingdao 266237, China.

出版信息

Genes (Basel). 2025 Mar 29;16(4):392. doi: 10.3390/genes16040392.

DOI:10.3390/genes16040392
PMID:40282352
原文链接:https://pmc.ncbi.nlm.nih.gov/articles/PMC12026950/
Abstract

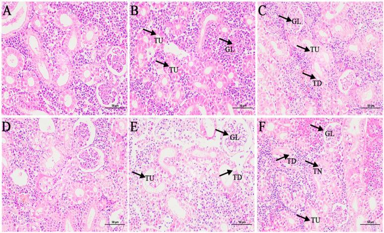
As an innovative approach to deep-sea aquaculture, fish farm vessels offer a dual benefit by alleviating the pressure on offshore fishing resources while providing an additional high-quality protein source. However, the potential impacts of vessel coatings on farmed fish remain poorly understood. In this study, to investigate the effects of vessel coatings on the large yellow croaker (), we established four experimental groups with coating concentrations at 1-fold, 10-fold, 20-fold, and 80-fold levels. Antioxidant enzyme activities in kidney tissues were measured across all groups, while histological and transcriptome analyses were specifically conducted for the 1-fold and 80-fold concentration groups. Firstly, significant alterations in antioxidant enzyme activity were observed in the 80-fold concentration group. Moreover, histological analysis demonstrated more severe pathological changes in kidney tissue at the higher concentration, including interstitial hemorrhage and tubular epithelial cell fatty degeneration. In addition, we identified 11,902 differentially expressed genes (DEGs) by high-throughput sequencing. KEGG pathway enrichment analysis revealed that the DEGs were predominantly involved in critical biological processes, including endoplasmic reticulum protein processing, oxidative phosphorylation, cytokine-cytokine receptor interactions, cell cycle regulation, DNA replication, and PPAR signaling pathways. Finally, the validation of nine selected DEGs through quantitative real-time PCR (qRT-PCR) showed significant correlation with RNA-Seq data, confirming the reliability of our transcriptome analysis. This study provides preliminary insights into the antioxidant stress response mechanisms of to coating exposure and establishes a theoretical foundation for optimizing healthy fish farming practices in aquaculture vessels.

摘要

作为深海养殖的一种创新方法,养鱼船具有双重益处,既能减轻近海渔业资源压力,又能提供额外的优质蛋白质来源。然而,船体涂层对养殖鱼类的潜在影响仍知之甚少。在本研究中,为了探究船体涂层对大黄鱼的影响,我们设立了四个实验组,涂层浓度分别为1倍、10倍、20倍和80倍水平。对所有组的肾脏组织中的抗氧化酶活性进行了测定,同时对1倍和80倍浓度组专门进行了组织学和转录组分析。首先,在80倍浓度组中观察到抗氧化酶活性有显著变化。此外,组织学分析表明,较高浓度下肾脏组织的病理变化更为严重,包括间质出血和肾小管上皮细胞脂肪变性。另外,通过高通量测序我们鉴定出11902个差异表达基因(DEGs)。KEGG通路富集分析显示,这些差异表达基因主要参与关键生物学过程,包括内质网蛋白加工、氧化磷酸化、细胞因子-细胞因子受体相互作用、细胞周期调控、DNA复制和PPAR信号通路。最后,通过定量实时PCR(qRT-PCR)对九个选定的差异表达基因进行验证,结果显示与RNA测序数据有显著相关性,证实了我们转录组分析的可靠性。本研究为大黄鱼对涂层暴露的抗氧化应激反应机制提供了初步见解,并为优化水产养殖船中健康养鱼实践奠定了理论基础。

https://cdn.ncbi.nlm.nih.gov/pmc/blobs/af71/12026950/d0afc1d4ce85/genes-16-00392-g012.jpg
https://cdn.ncbi.nlm.nih.gov/pmc/blobs/af71/12026950/f57dce47705b/genes-16-00392-g001.jpg
https://cdn.ncbi.nlm.nih.gov/pmc/blobs/af71/12026950/619a04b37b2c/genes-16-00392-g002.jpg
https://cdn.ncbi.nlm.nih.gov/pmc/blobs/af71/12026950/623b6be05e35/genes-16-00392-g003.jpg
https://cdn.ncbi.nlm.nih.gov/pmc/blobs/af71/12026950/1b64fcd89a32/genes-16-00392-g004.jpg
https://cdn.ncbi.nlm.nih.gov/pmc/blobs/af71/12026950/452bac304a7e/genes-16-00392-g005.jpg
https://cdn.ncbi.nlm.nih.gov/pmc/blobs/af71/12026950/94fc9f52b173/genes-16-00392-g006.jpg
https://cdn.ncbi.nlm.nih.gov/pmc/blobs/af71/12026950/8065715acd7c/genes-16-00392-g007.jpg
https://cdn.ncbi.nlm.nih.gov/pmc/blobs/af71/12026950/b25d7a2623ef/genes-16-00392-g008.jpg
https://cdn.ncbi.nlm.nih.gov/pmc/blobs/af71/12026950/bdf6a269b761/genes-16-00392-g009.jpg
https://cdn.ncbi.nlm.nih.gov/pmc/blobs/af71/12026950/90ff8e2dedfb/genes-16-00392-g010.jpg
https://cdn.ncbi.nlm.nih.gov/pmc/blobs/af71/12026950/70724f11547a/genes-16-00392-g011.jpg
https://cdn.ncbi.nlm.nih.gov/pmc/blobs/af71/12026950/d0afc1d4ce85/genes-16-00392-g012.jpg
https://cdn.ncbi.nlm.nih.gov/pmc/blobs/af71/12026950/f57dce47705b/genes-16-00392-g001.jpg
https://cdn.ncbi.nlm.nih.gov/pmc/blobs/af71/12026950/619a04b37b2c/genes-16-00392-g002.jpg
https://cdn.ncbi.nlm.nih.gov/pmc/blobs/af71/12026950/623b6be05e35/genes-16-00392-g003.jpg
https://cdn.ncbi.nlm.nih.gov/pmc/blobs/af71/12026950/1b64fcd89a32/genes-16-00392-g004.jpg
https://cdn.ncbi.nlm.nih.gov/pmc/blobs/af71/12026950/452bac304a7e/genes-16-00392-g005.jpg
https://cdn.ncbi.nlm.nih.gov/pmc/blobs/af71/12026950/94fc9f52b173/genes-16-00392-g006.jpg
https://cdn.ncbi.nlm.nih.gov/pmc/blobs/af71/12026950/8065715acd7c/genes-16-00392-g007.jpg
https://cdn.ncbi.nlm.nih.gov/pmc/blobs/af71/12026950/b25d7a2623ef/genes-16-00392-g008.jpg
https://cdn.ncbi.nlm.nih.gov/pmc/blobs/af71/12026950/bdf6a269b761/genes-16-00392-g009.jpg
https://cdn.ncbi.nlm.nih.gov/pmc/blobs/af71/12026950/90ff8e2dedfb/genes-16-00392-g010.jpg
https://cdn.ncbi.nlm.nih.gov/pmc/blobs/af71/12026950/70724f11547a/genes-16-00392-g011.jpg
https://cdn.ncbi.nlm.nih.gov/pmc/blobs/af71/12026950/d0afc1d4ce85/genes-16-00392-g012.jpg

相似文献

1
Effects of Coatings on Antioxidant Enzyme Activities, Histopathology, and Transcriptome Profiles of Kidney Tissue in .涂层对[具体对象]肾脏组织抗氧化酶活性、组织病理学及转录组图谱的影响
Genes (Basel). 2025 Mar 29;16(4):392. doi: 10.3390/genes16040392.
2
Effects of Environmentally Friendly Aquaculture Chamber Coatings on Enzyme Activities, Histology, and Transcriptome in the Liver of Larimichthys crocea.环保型水产养殖箱涂料对大黄鱼肝脏酶活性、组织学及转录组的影响
Mar Biotechnol (NY). 2025 Apr 28;27(3):78. doi: 10.1007/s10126-025-10453-w.
3
Transcriptomic and histologic analyses preliminarily reveal the immune-metabolic response mechanism to saline-alkaline in large yellow croaker (Larimichthys crocea).转录组学和组织学分析初步揭示了大黄鱼(Larimichthys crocea)对盐碱的免疫代谢反应机制。
Comp Biochem Physiol Part D Genomics Proteomics. 2024 Dec;52:101282. doi: 10.1016/j.cbd.2024.101282. Epub 2024 Jun 23.
4
Transcriptome analysis of large yellow croaker (Larimichthys crocea) at different growth rates.转录组分析大黄鱼(Larimichthys crocea)在不同生长速率下的表现。
Fish Physiol Biochem. 2024 Aug;50(4):1745-1757. doi: 10.1007/s10695-024-01367-w. Epub 2024 Jun 6.
5
Comparative Transcriptome Analysis of Head Kidney of Aeromonas hydrophila-infected Hypoxia-tolerant and Normal Large Yellow Croaker.缺氧耐受大黄鱼头肾组织中嗜水气单胞菌感染的比较转录组分析
Mar Biotechnol (NY). 2022 Dec;24(6):1039-1054. doi: 10.1007/s10126-022-10158-4. Epub 2022 Sep 21.
6
Comparative transcriptome analysis reveals immunoregulation mechanism of lncRNA-mRNA in gill and skin of large yellow croaker (Larimichthys crocea) in response to Cryptocaryon irritans infection.比较转录组分析揭示了大黄鱼(Larimichthys crocea)鳃和皮肤中lncRNA-mRNA响应刺激隐核虫感染的免疫调节机制。
BMC Genomics. 2022 Mar 15;23(1):206. doi: 10.1186/s12864-022-08431-w.
7
Transcriptome analysis reveals new insights into immune response to hypoxia challenge of large yellow croaker (Larimichthys crocea).转录组分析揭示了大黄鱼(Larimichthys crocea)对低氧挑战免疫反应的新见解。
Fish Shellfish Immunol. 2020 Mar;98:738-747. doi: 10.1016/j.fsi.2019.11.021. Epub 2019 Nov 12.
8
Transcriptome analysis reveals the temporal gene expression patterns in skin of large yellow croaker (Larimichthys crocea) in response to Cryptocaryon irritans infection.转录组分析揭示了大黄鱼(Larimichthys crocea)皮肤对刺激隐核虫感染的时间基因表达模式。
Fish Shellfish Immunol. 2020 Apr;99:462-472. doi: 10.1016/j.fsi.2020.02.024. Epub 2020 Feb 16.
9
Transcriptome analysis revealed multiple immune processes and energy metabolism pathways involved in the defense response of the large yellow croaker Larimichthys crocea against Pseudomonas plecoglossicida.转录组分析揭示了大黄鱼(Larimichthys crocea)对鮰爱德华氏菌(Pseudomonas plecoglossicida)防御反应中涉及的多种免疫过程和能量代谢途径。
Comp Biochem Physiol Part D Genomics Proteomics. 2021 Dec;40:100886. doi: 10.1016/j.cbd.2021.100886. Epub 2021 Jul 24.
10
Transcriptome and analysis on the complement and coagulation cascades pathway of large yellow croaker (Larimichthys crocea) to ciliate ectoparasite Cryptocaryon irritans infection.大黄鱼(Larimichthys crocea)对纤毛虫外寄生虫刺激隐核虫感染的转录组及补体和凝血级联途径分析
Fish Shellfish Immunol. 2016 Mar;50:127-41. doi: 10.1016/j.fsi.2016.01.022. Epub 2016 Jan 21.

本文引用的文献

1
Mesenchymal stem cell-derived exosomes carry miR-125a-5p to improve diabetic keratopathy by regulating endoplasmic reticulum stress.间充质干细胞来源的外泌体携带miR-125a-5p通过调节内质网应激来改善糖尿病角膜病变。
Tissue Cell. 2025 Apr;93:102669. doi: 10.1016/j.tice.2024.102669. Epub 2024 Dec 5.
2
Transcriptional dynamic changes in energy metabolism, protein synthesis and cell cycle regulation reveal the biological adaptation mechanisms of juvenile Acrossocheilus wenchowensis under acute temperature changes.转录水平上能量代谢、蛋白质合成和细胞周期调控的动态变化揭示了幼年金线鲃在急性温度变化下的生物学适应机制。
Ecotoxicol Environ Saf. 2024 Sep 15;283:116835. doi: 10.1016/j.ecoenv.2024.116835. Epub 2024 Aug 5.
3
Transcriptomic analysis of large yellow croaker (Larimichthys crocea) reveals the suppression of the inflammatory response from Cryptocaryon irritans infection.
转录组分析大黄花鱼(Larimichthys crocea)揭示了 Cryptocaryon irritans 感染引起的炎症反应受到抑制。
Fish Shellfish Immunol. 2024 Jan;144:109258. doi: 10.1016/j.fsi.2023.109258. Epub 2023 Nov 30.
4
Endoplasmic reticulum stress: molecular mechanism and therapeutic targets.内质网应激:分子机制与治疗靶点。
Signal Transduct Target Ther. 2023 Sep 15;8(1):352. doi: 10.1038/s41392-023-01570-w.
5
Liver Injury and Metabolic Dysregulation in Largemouth Bass () after Ammonia Exposure.氨暴露后大口黑鲈的肝脏损伤与代谢失调
Metabolites. 2023 Feb 14;13(2):274. doi: 10.3390/metabo13020274.
6
Differentially expressed genes in head kidney of following challenge.头肾中差异表达基因的研究。
Front Immunol. 2023 Jan 10;13:1039956. doi: 10.3389/fimmu.2022.1039956. eCollection 2022.
7
Crosstalk of oxidative stress, inflammation, apoptosis, and autophagy under reactive oxygen stress involved in difenoconazole-induced kidney damage in carp.活性氧应激下氧化应激、炎症、细胞凋亡和自噬的相互作用与苯醚甲环唑诱导鲤鱼肾脏损伤有关。
Fish Shellfish Immunol. 2023 Jan;132:108508. doi: 10.1016/j.fsi.2022.108508. Epub 2022 Dec 27.
8
Effects of Weak and Strong Drought Conditions on Physiological Stability of Flowering Soybean.弱干旱和强干旱条件对开花期大豆生理稳定性的影响
Plants (Basel). 2022 Oct 13;11(20):2708. doi: 10.3390/plants11202708.
9
Genetic Mechanism for Antioxidant Activity of Endogenous Enzymes under Salinity and Temperature Stress in Turbot ().大菱鲆在盐度和温度胁迫下内源性酶抗氧化活性的遗传机制()。
Antioxidants (Basel). 2022 Oct 19;11(10):2062. doi: 10.3390/antiox11102062.
10
The IL-20RB receptor and the IL-20 signaling pathway in regulating host defense in oral mucosal candidiasis.IL-20RB 受体和 IL-20 信号通路在口腔黏膜念珠菌病中调节宿主防御的作用。
Front Cell Infect Microbiol. 2022 Sep 26;12:979701. doi: 10.3389/fcimb.2022.979701. eCollection 2022.