Suppr超能文献

用于促进骨再生的免疫调节多功能基于胶原的双面膜。

Immunomodulatory multifunctional janus collagen-based membrane for advanced bone regeneration.

作者信息

Yang Die, Xu Zhilang, Huang Dou, Luo Qi, Zhang Chunli, Guo Jimin, Tan Lu, Ge Liming, Mu Changdao, Li Defu

机构信息

Department of Pharmaceutics and Bioengineering, School of Chemical Engineering, Sichuan University, Chengdu, Sichuan, P. R. China.

Department of Oral and Maxillofacial Surgery, West China Hospital of Stomatology, Sichuan University, Chengdu, Sichuan, P. R. China.

出版信息

Nat Commun. 2025 May 8;16(1):4264. doi: 10.1038/s41467-025-59651-z.

Abstract

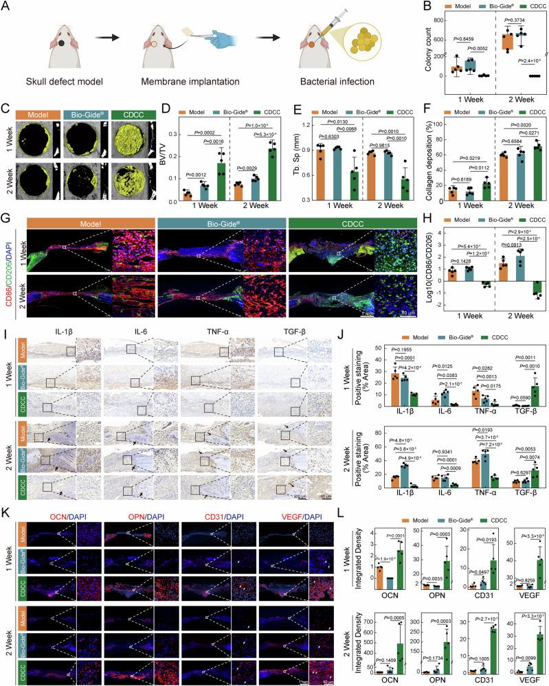
Guided bone regeneration (GBR) is a standard therapy for treating bone defects, with collagen-based barrier membranes widely used clinically. However, these membranes face challenges like poor mechanical properties, early bacterial invasion and immunomodulation deficiency, potentially risking GBR failure. Orchestrating macrophage activation and controlling their M1 or M2 polarization are effective strategies for bone repair. Here, we present a Janus collagen-based barrier membrane with immunomodulation. The porous layer promotes direct osteogenic differentiation and inward growth of osteoblasts. The dense layer prevents invasion of soft tissue into bone defects and protects bone defects from bacterial infection. The membrane also enhances rat bone marrow-derived mesenchymal stem cell infiltration, proliferation, and osteogenic differentiation by regulating the immune microenvironment, demonstrating superior bone regeneration compared to the commercial Bio-Gide® membrane. Overall, the Janus collagen-based membrane reduces tissue inflammation and fosters an osteoimmune environment conducive to new bone formation, offering effective material design for advanced GBR technology.

摘要

引导骨再生(GBR)是治疗骨缺损的标准疗法,基于胶原蛋白的屏障膜在临床上广泛应用。然而,这些膜面临着机械性能差、早期细菌入侵和免疫调节缺陷等挑战,可能导致GBR失败。协调巨噬细胞活化并控制其M1或M2极化是骨修复的有效策略。在此,我们展示了一种具有免疫调节功能的双面胶原蛋白基屏障膜。多孔层促进成骨细胞的直接成骨分化和向内生长。致密层可防止软组织侵入骨缺损,并保护骨缺损免受细菌感染。该膜还通过调节免疫微环境增强大鼠骨髓间充质干细胞的浸润、增殖和成骨分化,与商业Bio-Gide®膜相比,显示出卓越的骨再生能力。总体而言,双面胶原蛋白基膜可减轻组织炎症,营造有利于新骨形成的骨免疫环境,为先进的GBR技术提供了有效的材料设计。

https://cdn.ncbi.nlm.nih.gov/pmc/blobs/23fe/12059164/dca1460e969f/41467_2025_59651_Fig1_HTML.jpg

文献检索

告别复杂PubMed语法,用中文像聊天一样搜索,搜遍4000万医学文献。AI智能推荐,让科研检索更轻松。

立即免费搜索

文件翻译

保留排版,准确专业,支持PDF/Word/PPT等文件格式,支持 12+语言互译。

免费翻译文档

深度研究

AI帮你快速写综述,25分钟生成高质量综述,智能提取关键信息,辅助科研写作。

立即免费体验