• 文献检索
  • 文档翻译
  • 深度研究
  • 学术资讯
  • Suppr Zotero 插件Zotero 插件
  • 邀请有礼
  • 套餐&价格
  • 历史记录
应用&插件
Suppr Zotero 插件Zotero 插件浏览器插件Mac 客户端Windows 客户端微信小程序
定价
高级版会员购买积分包购买API积分包
服务
文献检索文档翻译深度研究API 文档MCP 服务
关于我们
关于 Suppr公司介绍联系我们用户协议隐私条款
关注我们

Suppr 超能文献

核心技术专利:CN118964589B侵权必究
粤ICP备2023148730 号-1Suppr @ 2026

文献检索

告别复杂PubMed语法,用中文像聊天一样搜索,搜遍4000万医学文献。AI智能推荐,让科研检索更轻松。

立即免费搜索

文件翻译

保留排版,准确专业,支持PDF/Word/PPT等文件格式,支持 12+语言互译。

免费翻译文档

深度研究

AI帮你快速写综述,25分钟生成高质量综述,智能提取关键信息,辅助科研写作。

立即免费体验

黄甲综合征伴牙脓肿:一例报告

Yellow Nail Syndrome Associated With a Dental Abscess: A Case Report.

作者信息

Mallah Shatha, Mallah Haneen, Owda Fahed, Gomez-Manjarres Diana, Peruvemba Sriram

机构信息

Internal Medicine, An-Najah National University, Nablus, PSE.

Pulmonary and Critical Care Medicine, University of Florida Health, Gainesville, USA.

出版信息

Cureus. 2025 Apr 7;17(4):e81841. doi: 10.7759/cureus.81841. eCollection 2025 Apr.

DOI:10.7759/cureus.81841
PMID:40337563
原文链接:https://pmc.ncbi.nlm.nih.gov/articles/PMC12056881/
Abstract

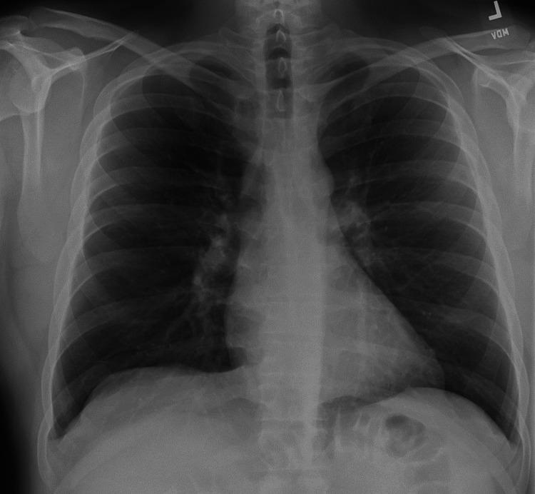
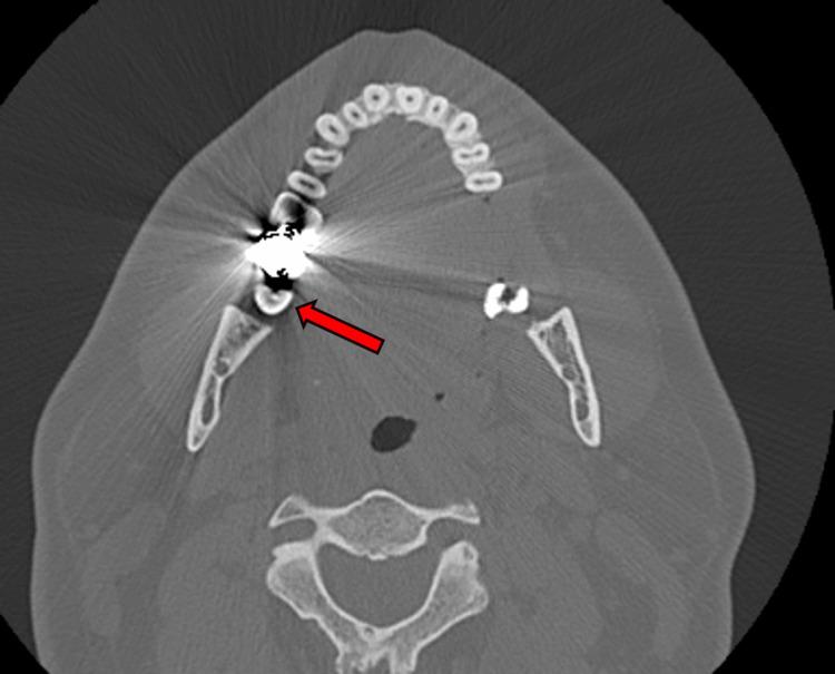
Yellow nail syndrome (YNS) is a rare disorder marked by a triad of symptoms: lymphedema, yellow discolored nails, and respiratory manifestations. It is often associated with conditions such as chronic cough, bronchiectasis, pleural effusion, and chronic rhinosinusitis. Although its precise etiology remains elusive, it is believed that impaired lymphatic drainage plays a central role in its pathogenesis. YNS predominantly affects individuals over the age of 50, and there is no definitive treatment, though some cases may achieve partial or spontaneous remission. In this report, we present the case of a man in his mid-30s with a one-year history of persistent cough, sinus congestion, yellow deformed nails, and lymphedema. Extensive investigations, including imaging and pulmonary function tests, revealed no significant pulmonary abnormalities. The patient underwent multiple rounds of treatments, including antibiotics, antifungal therapy, inhaled and systemic corticosteroids, and nail care regimens, all of which proved ineffective in resolving his symptoms. Further evaluation, including dental imaging, uncovered an odontogenic abscess. After the infected tooth was extracted, the patient experienced a significant and gradual resolution of his symptoms, including yellow nail discoloration and sinus issues. This case highlights the importance of considering secondary causes, such as dental infections, in the workup of patients with YNS, particularly when standard treatments fail to produce improvements. To our knowledge, this is the first reported case identifying a tooth abscess as the potential cause of YNS. YNS has been linked to several systemic conditions, including autoimmune disorders, thyroid dysfunction, nephrotic syndrome, and malignancies, but an association with dental abscesses has not been previously documented. This case underscores the critical need for a thorough evaluation of potential contributory factors in YNS, especially in younger patients who do not fit the typical demographic profile. It also emphasizes the importance of timely management of secondary infections, which can lead to significant clinical improvement in such cases. By illustrating a rare presentation of YNS, this case provides further insight into the syndrome's complexity and the potential role of odontogenic infections in its development.

摘要

黄甲综合征(YNS)是一种罕见的疾病,其特征为三联征症状:淋巴水肿、指甲变黄和呼吸道表现。它常与慢性咳嗽、支气管扩张、胸腔积液和慢性鼻窦炎等病症相关。尽管其确切病因尚不清楚,但据信淋巴引流受损在其发病机制中起核心作用。YNS主要影响50岁以上的人群,且没有明确的治疗方法,不过一些病例可能会部分缓解或自发缓解。在本报告中,我们介绍了一名35岁左右的男性病例,他有持续咳嗽、鼻窦充血、指甲变黄变形和淋巴水肿的病史一年。包括影像学和肺功能测试在内的广泛检查未发现明显的肺部异常。该患者接受了多轮治疗,包括抗生素、抗真菌治疗、吸入和全身性皮质类固醇以及指甲护理方案,但所有这些治疗均未能有效缓解他的症状。进一步评估,包括牙科影像学检查,发现了牙源性脓肿。拔除感染牙齿后,患者的症状,包括指甲变黄和鼻窦问题,得到了显著且逐渐的缓解。该病例强调了在YNS患者的检查中考虑继发性病因(如牙科感染)的重要性,特别是在标准治疗未能产生改善效果时。据我们所知,这是第一例报告的将牙脓肿确定为YNS潜在病因的病例。YNS与多种全身性疾病有关,包括自身免疫性疾病、甲状腺功能障碍、肾病综合征和恶性肿瘤,但此前尚未记录到与牙脓肿的关联。该病例强调了对YNS潜在促成因素进行全面评估的迫切需求,特别是在不符合典型人口统计学特征的年轻患者中。它还强调了及时处理继发性感染的重要性,这可导致此类病例的显著临床改善。通过说明YNS的一种罕见表现,该病例进一步深入了解了该综合征的复杂性以及牙源性感染在其发展中的潜在作用。

https://cdn.ncbi.nlm.nih.gov/pmc/blobs/97c1/12056881/24419d2011d6/cureus-0017-00000081841-i08.jpg
https://cdn.ncbi.nlm.nih.gov/pmc/blobs/97c1/12056881/63824b6ba7ad/cureus-0017-00000081841-i01.jpg
https://cdn.ncbi.nlm.nih.gov/pmc/blobs/97c1/12056881/8aec36cd2922/cureus-0017-00000081841-i02.jpg
https://cdn.ncbi.nlm.nih.gov/pmc/blobs/97c1/12056881/3aab381e33f5/cureus-0017-00000081841-i03.jpg
https://cdn.ncbi.nlm.nih.gov/pmc/blobs/97c1/12056881/7284825766c0/cureus-0017-00000081841-i04.jpg
https://cdn.ncbi.nlm.nih.gov/pmc/blobs/97c1/12056881/7e156cc5a298/cureus-0017-00000081841-i05.jpg
https://cdn.ncbi.nlm.nih.gov/pmc/blobs/97c1/12056881/a78a138e6cfd/cureus-0017-00000081841-i06.jpg
https://cdn.ncbi.nlm.nih.gov/pmc/blobs/97c1/12056881/0a1bb7019dc3/cureus-0017-00000081841-i07.jpg
https://cdn.ncbi.nlm.nih.gov/pmc/blobs/97c1/12056881/24419d2011d6/cureus-0017-00000081841-i08.jpg
https://cdn.ncbi.nlm.nih.gov/pmc/blobs/97c1/12056881/63824b6ba7ad/cureus-0017-00000081841-i01.jpg
https://cdn.ncbi.nlm.nih.gov/pmc/blobs/97c1/12056881/8aec36cd2922/cureus-0017-00000081841-i02.jpg
https://cdn.ncbi.nlm.nih.gov/pmc/blobs/97c1/12056881/3aab381e33f5/cureus-0017-00000081841-i03.jpg
https://cdn.ncbi.nlm.nih.gov/pmc/blobs/97c1/12056881/7284825766c0/cureus-0017-00000081841-i04.jpg
https://cdn.ncbi.nlm.nih.gov/pmc/blobs/97c1/12056881/7e156cc5a298/cureus-0017-00000081841-i05.jpg
https://cdn.ncbi.nlm.nih.gov/pmc/blobs/97c1/12056881/a78a138e6cfd/cureus-0017-00000081841-i06.jpg
https://cdn.ncbi.nlm.nih.gov/pmc/blobs/97c1/12056881/0a1bb7019dc3/cureus-0017-00000081841-i07.jpg
https://cdn.ncbi.nlm.nih.gov/pmc/blobs/97c1/12056881/24419d2011d6/cureus-0017-00000081841-i08.jpg

相似文献

1
Yellow Nail Syndrome Associated With a Dental Abscess: A Case Report.黄甲综合征伴牙脓肿:一例报告
Cureus. 2025 Apr 7;17(4):e81841. doi: 10.7759/cureus.81841. eCollection 2025 Apr.
2
Yellow nail syndrome: a review.黄甲综合征:综述
Orphanet J Rare Dis. 2017 Feb 27;12(1):42. doi: 10.1186/s13023-017-0594-4.
3
Yellow Nail Syndrome With Dramatic Improvement of Nail Manifestations After Endoscopic Sinus Surgery.内镜鼻窦手术后黄甲综合征的甲表现显著改善
Clin Med Insights Ear Nose Throat. 2017 Jul 5;10:1179550617718184. doi: 10.1177/1179550617718184. eCollection 2017.
4
Effectiveness of clarithromycin in patients with yellow nail syndrome.克拉霉素治疗黄甲综合征患者的疗效。
BMC Pulm Med. 2018 Aug 15;18(1):138. doi: 10.1186/s12890-018-0707-4.
5
Yellow Nail Syndrome: Analysis of 23 Consecutive Patients and Effect of Combined Fluconazole-Vitamin-E Treatment.黄甲综合征:23 例连续患者的分析及氟康唑-维生素 E 联合治疗的效果。
Dermatology. 2024;240(2):343-351. doi: 10.1159/000535577. Epub 2023 Dec 9.
6
Yellow nail syndrome with massive chylothorax after esophagectomy: A case report.食管癌切除术后并发黄甲综合征伴大量乳糜胸:一例报告
Respir Med Case Rep. 2021 Jun 12;33:101448. doi: 10.1016/j.rmcr.2021.101448. eCollection 2021.
7
Yellow Nail Syndrome: A Case Presentation and a Review of Management Options.黄甲综合征:病例报告及治疗选择的回顾。
S D Med. 2021 Aug;74(8):368-371.
8
A diagnostic journey started with yellow nail syndrome (YNS) ended with the Kartagener's syndrome: a rare case report of coexistence of YNS and Kartagener's syndrome.一段始于黄甲综合征(YNS)的诊断历程以卡塔格内综合征告终:一例YNS与卡塔格内综合征并存的罕见病例报告。
Ann Med Surg (Lond). 2025 Apr 2;87(5):2970-2976. doi: 10.1097/MS9.0000000000002878. eCollection 2025 May.
9
Yellow nail syndrome: dystrophic nails, peripheral lymphedema and chronic cough.黄甲综合征:营养不良性指甲、周围淋巴水肿和慢性咳嗽。
Can Respir J. 2011 Jul-Aug;18(4):e68-9. doi: 10.1155/2011/861913.
10
Titanium Dioxide in Toothpaste Causing Yellow Nail Syndrome.牙膏中的二氧化钛导致黄甲综合征。
Pediatrics. 2017 Jan;139(1). doi: 10.1542/peds.2016-0546. Epub 2016 Dec 7.

本文引用的文献

1
Transient yellow discoloration of the nails for differential diagnosis with yellow nail syndrome.指甲一过性黄染的鉴别诊断:黄甲综合征。
Orphanet J Rare Dis. 2017 Oct 2;12(1):159. doi: 10.1186/s13023-017-0711-4.
2
Yellow nail syndrome: a review.黄甲综合征:综述
Orphanet J Rare Dis. 2017 Feb 27;12(1):42. doi: 10.1186/s13023-017-0594-4.
3
Yellow nail syndrome: a case report and review of treatment options.黄甲综合征:一例病例报告及治疗选择综述
Clin Respir J. 2017 Jul;11(4):405-410. doi: 10.1111/crj.12354. Epub 2015 Sep 24.
4
Titanium, sinusitis, and the yellow nail syndrome.钛,鼻窦炎,和黄甲综合征。
Biol Trace Elem Res. 2011 Oct;143(1):1-7. doi: 10.1007/s12011-010-8828-5. Epub 2010 Sep 1.
5
Yellow nail syndrome.黄甲综合征。
Curr Opin Pulm Med. 2009 Jul;15(4):371-5. doi: 10.1097/MCP.0b013e32832ad45a.
6
Combination of fluconazole and alpha-tocopherol in the treatment of yellow nail syndrome.氟康唑与α-生育酚联合治疗黄甲综合征
J Drugs Dermatol. 2009 Mar;8(3):276-8.
7
Yellow nail syndrome: analysis of 41 consecutive patients.黄甲综合征:41例连续病例分析
Chest. 2008 Aug;134(2):375-381. doi: 10.1378/chest.08-0137. Epub 2008 Apr 10.
8
Yellow nail syndrome: not a genetic disorder? Eleven new cases and a review of the literature.黄甲综合征:并非遗传性疾病?11例新病例及文献综述
Br J Dermatol. 2007 Jun;156(6):1230-4. doi: 10.1111/j.1365-2133.2007.07894.x. Epub 2007 Apr 25.
9
THE "YELLOW NAIL" SYNDROME.“黄甲”综合征
Br J Dermatol. 1964 Apr;76:153-7. doi: 10.1111/j.1365-2133.1964.tb14499.x.
10
Lymphatic function in the yellow nail syndrome.黄甲综合征中的淋巴功能。
Br J Dermatol. 1996 Feb;134(2):307-12.