Suppr超能文献

胰源性腹水:诊断与治疗的最新进展

Pancreatic ascites: update on diagnosis and management.

作者信息

Bathobakae Lefika, Farhan Heba, Mücahit Derya, Rohira Dina, Chauhan Kashyap, Cavanagh Yana, Baddoura Walid, Christian Derick J

机构信息

Internal Medicine, St. Joseph's University Medical Center, Paterson, NJ (Lefika Bathobakae).

Rowan-Virtua University School of Osteopathic Medicine, Stratford, NJ (Heba Farhan, Derya Mücahit).

出版信息

Ann Gastroenterol. 2025 May-Jun;38(3):247-254. doi: 10.20524/aog.2025.0961. Epub 2025 Apr 22.

Abstract

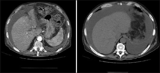
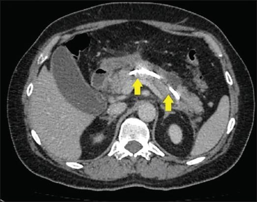
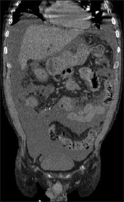
Pancreatic ascites is a rare condition characterized by the accumulation of high-amylase ascitic fluid in the peritoneal cavity. This condition is often associated with chronic pancreatitis, pancreatic trauma, or pseudocyst rupture. Because of its rarity and ill-defined clinical presentation, pancreatic ascites is often a diagnostic and therapeutic challenge in clinical practice. The current diagnostic criteria include an amylase level >1000 mg/dL, a protein level >3 g/dL, and a serum ascites albumin gradient <1.1 g/dL. The clinical features vary, but may include progressive abdominal distension, diffuse abdominal pain, weight loss and peritonitis. The management of pancreatic ascites remains controversial, and there is no consensus regarding the optimal approach. Conservative medical management, which includes nutritional support, pain control, therapeutic paracentesis and the use of somatostatin analogs, has been associated with a high failure rate and significant morbidity. Interventional therapies, such as surgery and endoscopic transpapillary stenting, have shown more promising outcomes. However, the choice between these methods is still debated, with some advocating for endoscopic approaches, because of their minimally invasive nature and reduced morbidity compared with surgical options. Endoscopic approaches remain underutilized in practice, probably because of the need for repeated interventions, the potential risks associated with endoscopic retrograde cholangiopancreatography, or a lack of skilled personnel. Although they show significant perioperative morbidity and mortality, surgical options provide definitive resolution of pancreatic ascites. Herein, we provide an updated review of pancreatic ascites, highlighting advances in diagnostic techniques and therapeutic approaches, and summarizing insights from recent clinical cases and retrospective studies.

摘要

胰源性腹水是一种罕见病症,其特征为腹腔内积聚高淀粉酶含量的腹水。这种病症常与慢性胰腺炎、胰腺创伤或假性囊肿破裂相关。由于其罕见性及临床表现不明确,胰源性腹水在临床实践中往往是诊断和治疗上的一大挑战。目前的诊断标准包括淀粉酶水平>1000毫克/分升、蛋白质水平>3克/分升以及血清腹水白蛋白梯度<1.1克/分升。临床特征各异,但可能包括进行性腹胀、弥漫性腹痛、体重减轻和腹膜炎。胰源性腹水的管理仍存在争议,对于最佳治疗方法尚无共识。保守药物治疗,包括营养支持、疼痛控制、治疗性腹腔穿刺放液及使用生长抑素类似物,其失败率较高且发病率显著。介入治疗,如手术和内镜下经乳头支架置入术,已显示出更有前景的结果。然而,这些方法之间的选择仍存在争议,一些人主张采用内镜方法,因为其微创性质以及与手术选择相比发病率较低。内镜方法在实践中的应用仍然不足,可能是因为需要重复干预、与内镜逆行胰胆管造影相关的潜在风险,或缺乏技术熟练的人员。尽管手术选择显示出显著的围手术期发病率和死亡率,但能为胰源性腹水提供确定性的解决方案。在此,我们提供胰源性腹水的最新综述,强调诊断技术和治疗方法的进展,并总结近期临床病例和回顾性研究的见解。

https://cdn.ncbi.nlm.nih.gov/pmc/blobs/c624/12070342/38bb28fff92b/AnnGastroenterol-38-247-g001.jpg

文献检索

告别复杂PubMed语法,用中文像聊天一样搜索,搜遍4000万医学文献。AI智能推荐,让科研检索更轻松。

立即免费搜索

文件翻译

保留排版,准确专业,支持PDF/Word/PPT等文件格式,支持 12+语言互译。

免费翻译文档

深度研究

AI帮你快速写综述,25分钟生成高质量综述,智能提取关键信息,辅助科研写作。

立即免费体验