• 文献检索
  • 文档翻译
  • 深度研究
  • 学术资讯
  • Suppr Zotero 插件Zotero 插件
  • 邀请有礼
  • 套餐&价格
  • 历史记录
应用&插件
Suppr Zotero 插件Zotero 插件浏览器插件Mac 客户端Windows 客户端微信小程序
定价
高级版会员购买积分包购买API积分包
服务
文献检索文档翻译深度研究API 文档MCP 服务
关于我们
关于 Suppr公司介绍联系我们用户协议隐私条款
关注我们

Suppr 超能文献

核心技术专利:CN118964589B侵权必究
粤ICP备2023148730 号-1Suppr @ 2026

文献检索

告别复杂PubMed语法,用中文像聊天一样搜索,搜遍4000万医学文献。AI智能推荐,让科研检索更轻松。

立即免费搜索

文件翻译

保留排版,准确专业,支持PDF/Word/PPT等文件格式,支持 12+语言互译。

免费翻译文档

深度研究

AI帮你快速写综述,25分钟生成高质量综述,智能提取关键信息,辅助科研写作。

立即免费体验

整合多组学研究确定AP-1转录因子是非小细胞肺癌中获得性奥希替尼耐药的一个可靶向介导因子。

Integrative multi-omics identifies AP-1 transcription factor as a targetable mediator of acquired osimertinib resistance in non-small cell lung cancer.

作者信息

Dayanc Bengisu, Eris Sude, Gulfirat Nazife Ege, Ozden-Yilmaz Gulden, Cakiroglu Ece, Coskun Deniz Ozlem Silan, Karakülah Gökhan, Erkek-Ozhan Serap, Senturk Serif

机构信息

Izmir Biomedicine and Genome Center, Izmir, Türkiye.

Izmir International Biomedicine and Genome Institute, Dokuz Eylul University, Izmir, Türkiye.

出版信息

Cell Death Dis. 2025 May 25;16(1):414. doi: 10.1038/s41419-025-07711-z.

DOI:10.1038/s41419-025-07711-z
PMID:40414926
原文链接:https://pmc.ncbi.nlm.nih.gov/articles/PMC12104440/
Abstract

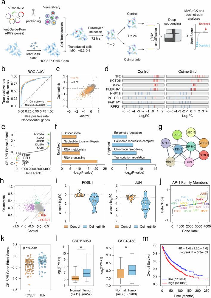
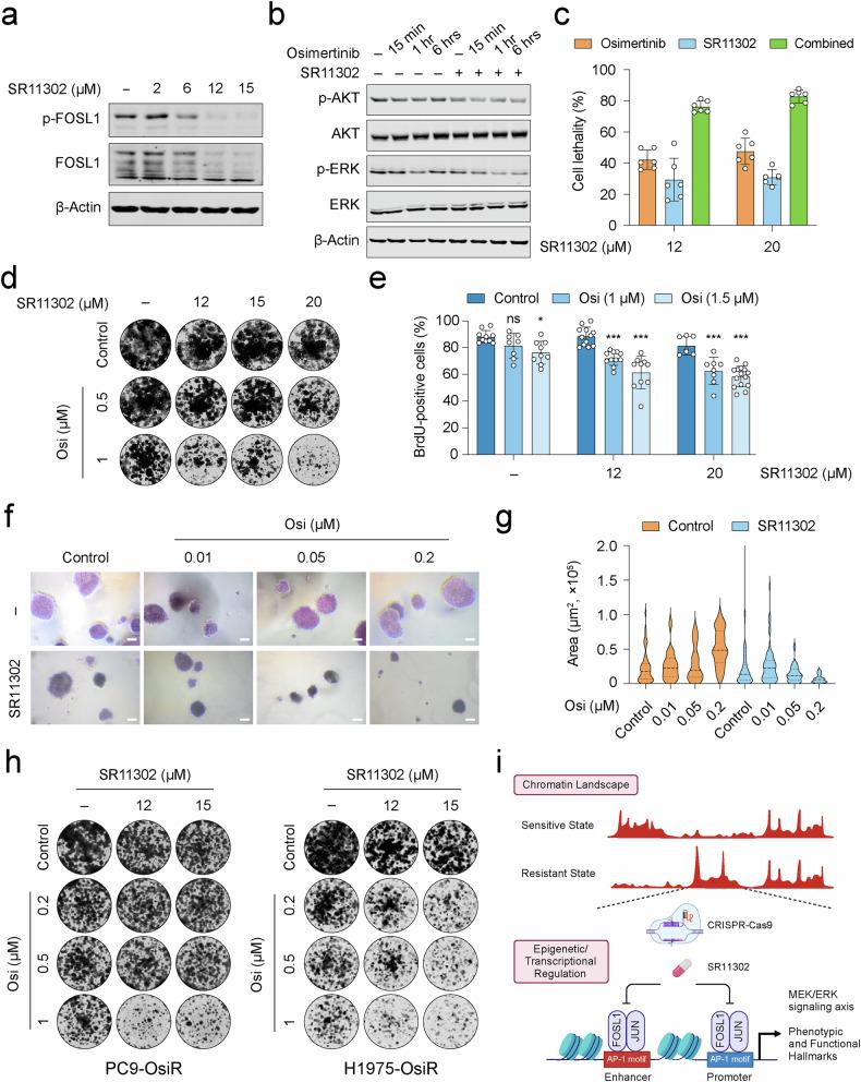
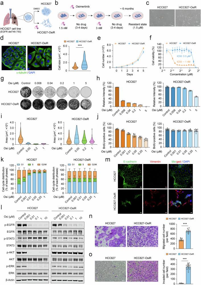
Osimertinib, a third-generation EGFR tyrosine kinase inhibitor (EGFR-TKI), has dramatically transformed the treatment landscape for patients with EGFR-mutant NSCLC. However, the long-term success of this therapy is often compromised by the onset of acquired resistance, with non-genetic mechanisms increasingly recognized as pivotal contributors. Here, we exploit a multi-omics approach to profile genome-wide chromatin accessibility and transcriptional landscapes between drug sensitive and resistant EGFR-mutant cells. Our findings reveal a robust concordance between epigenetic regulome and transcriptomic changes that characterize the osimertinib resistant state. Through CRISPR-based functional genomics screen targeting epigenetic regulators and transcription factors, we uncover a critical regulatory network featuring key members of the NuRD and PRC2 complexes that mediate resistance. Most critically, our screen identifies FOSL1 and JUN, two subunits of the AP-1 transcription factor within this network, as the most significant hits. Mechanistically, we demonstrate that cis-regulatory elements exhibiting altered chromatin accessibility in the resistant state are enriched for cognate AP-1 binding motifs, enabling AP-1 to orchestrate a gene expression program that underpins the druggable MEK/ERK signaling axis, potentially enhancing cell viability and fitness of resistant cells. Importantly, genetic depletion or pharmacological inhibition of AP-1 reinstates cellular and molecular sensitivity, and reverts resistance-associated phenotypes, such as epithelial-to-mesenchymal transition, upon anti-EGFR rechallenge by repressing AKT and ERK signaling. These findings provide novel insights into the epigenetic and transcriptional control of osimertinib resistance in EGFR-mutant NSCLC, highlighting AP-1 as a targetable vulnerability of resistance-related hallmarks and offering a promising avenue for developing resistance reversal strategies.

摘要

奥希替尼是一种第三代表皮生长因子受体酪氨酸激酶抑制剂(EGFR-TKI),它极大地改变了EGFR突变型非小细胞肺癌(NSCLC)患者的治疗格局。然而,这种疗法的长期成功往往因获得性耐药的出现而受到影响,非遗传机制越来越被认为是关键因素。在这里,我们采用多组学方法来描绘药物敏感和耐药的EGFR突变细胞之间全基因组染色质可及性和转录图谱。我们的研究结果揭示了表观遗传调控组与转录组变化之间的强烈一致性,这些变化表征了奥希替尼耐药状态。通过基于CRISPR的针对表观遗传调节因子和转录因子的功能基因组学筛选,我们发现了一个关键的调控网络,其特征是介导耐药性的NuRD和PRC2复合物的关键成员。最关键的是,我们的筛选确定了该网络中AP-1转录因子的两个亚基FOSL1和JUN是最显著的命中靶点。从机制上讲,我们证明在耐药状态下染色质可及性发生改变的顺式调控元件富含同源AP-1结合基序,使AP-1能够协调一个基因表达程序,该程序支撑可靶向的MEK/ERK信号轴,可能增强耐药细胞的活力和适应性。重要的是,AP-1的基因敲除或药理抑制恢复了细胞和分子敏感性,并在抗EGFR再次攻击时通过抑制AKT和ERK信号逆转了与耐药相关的表型,如上皮-间质转化。这些发现为EGFR突变型NSCLC中奥希替尼耐药的表观遗传和转录控制提供了新的见解,突出了AP-1作为耐药相关特征的可靶向弱点,并为开发耐药逆转策略提供了一条有前景的途径。

https://cdn.ncbi.nlm.nih.gov/pmc/blobs/c681/12104440/05cb37d24b9d/41419_2025_7711_Fig6_HTML.jpg
https://cdn.ncbi.nlm.nih.gov/pmc/blobs/c681/12104440/5400790e85c5/41419_2025_7711_Fig1_HTML.jpg
https://cdn.ncbi.nlm.nih.gov/pmc/blobs/c681/12104440/3523f1cc5975/41419_2025_7711_Fig2_HTML.jpg
https://cdn.ncbi.nlm.nih.gov/pmc/blobs/c681/12104440/2a0518c62a62/41419_2025_7711_Fig3_HTML.jpg
https://cdn.ncbi.nlm.nih.gov/pmc/blobs/c681/12104440/88615a30bd40/41419_2025_7711_Fig4_HTML.jpg
https://cdn.ncbi.nlm.nih.gov/pmc/blobs/c681/12104440/5b782c7cbc46/41419_2025_7711_Fig5_HTML.jpg
https://cdn.ncbi.nlm.nih.gov/pmc/blobs/c681/12104440/05cb37d24b9d/41419_2025_7711_Fig6_HTML.jpg
https://cdn.ncbi.nlm.nih.gov/pmc/blobs/c681/12104440/5400790e85c5/41419_2025_7711_Fig1_HTML.jpg
https://cdn.ncbi.nlm.nih.gov/pmc/blobs/c681/12104440/3523f1cc5975/41419_2025_7711_Fig2_HTML.jpg
https://cdn.ncbi.nlm.nih.gov/pmc/blobs/c681/12104440/2a0518c62a62/41419_2025_7711_Fig3_HTML.jpg
https://cdn.ncbi.nlm.nih.gov/pmc/blobs/c681/12104440/88615a30bd40/41419_2025_7711_Fig4_HTML.jpg
https://cdn.ncbi.nlm.nih.gov/pmc/blobs/c681/12104440/5b782c7cbc46/41419_2025_7711_Fig5_HTML.jpg
https://cdn.ncbi.nlm.nih.gov/pmc/blobs/c681/12104440/05cb37d24b9d/41419_2025_7711_Fig6_HTML.jpg

相似文献

1
Integrative multi-omics identifies AP-1 transcription factor as a targetable mediator of acquired osimertinib resistance in non-small cell lung cancer.整合多组学研究确定AP-1转录因子是非小细胞肺癌中获得性奥希替尼耐药的一个可靶向介导因子。
Cell Death Dis. 2025 May 25;16(1):414. doi: 10.1038/s41419-025-07711-z.
2
Branched-chain amino acid transaminase 1 confers EGFR-TKI resistance through epigenetic glycolytic activation.支链氨基酸转氨酶 1 通过表观遗传糖酵解激活赋予 EGFR-TKI 耐药性。
Signal Transduct Target Ther. 2024 Aug 15;9(1):216. doi: 10.1038/s41392-024-01928-8.
3
PIM1 kinase promotes EMT-associated osimertinib resistance via regulating GSK3β signaling pathway in EGFR-mutant non-small cell lung cancer.PIM1 激酶通过调节 EGFR 突变型非小细胞肺癌中的 GSK3β 信号通路促进 EMT 相关的奥希替尼耐药。
Cell Death Dis. 2024 Sep 3;15(9):644. doi: 10.1038/s41419-024-07039-0.
4
AXIN1/MYC Axis Mediated the Osimertinib Resistance in EGFR Mutant Non-Small Cell Lung Cancer Cells.AXIN1/MYC 轴介导 EGFR 突变型非小细胞肺癌细胞对奥希替尼的耐药性。
Tohoku J Exp Med. 2024 May 1;262(4):269-276. doi: 10.1620/tjem.2024.J002. Epub 2024 Jan 18.
5
MDM2 drives resistance to Osimertinib by contextually disrupting FBW7-mediated destruction of MCL-1 protein in EGFR mutant NSCLC.MDM2 通过上下文干扰 EGFR 突变 NSCLC 中 FBW7 介导的 MCL-1 蛋白降解,从而导致对奥希替尼的耐药性。
J Exp Clin Cancer Res. 2024 Nov 15;43(1):302. doi: 10.1186/s13046-024-03220-7.
6
Activation of insulin-like growth factor-1 receptor confers acquired resistance to osimertinib in non-small cell lung cancer with EGFR T790M mutation.胰岛素样生长因子-1 受体的激活赋予 EGFR T790M 突变的非小细胞肺癌对奥希替尼的获得性耐药。
Thorac Cancer. 2020 Jan;11(1):140-149. doi: 10.1111/1759-7714.13255. Epub 2019 Nov 22.
7
Targeting pyruvate dehydrogenase kinase 1 overcomes EGFR C797S mutation-driven osimertinib resistance in non-small cell lung cancer.靶向丙酮酸脱氢酶激酶 1 克服非小细胞肺癌中 EGFR C797S 突变驱动的奥希替尼耐药。
Exp Mol Med. 2024 May;56(5):1137-1149. doi: 10.1038/s12276-024-01221-2. Epub 2024 May 1.
8
Let-7c regulated epithelial-mesenchymal transition leads to osimertinib resistance in NSCLC cells with EGFR T790M mutations.Let-7c 调控的上皮-间充质转化导致 EGFR T790M 突变的 NSCLC 细胞对奥希替尼耐药。
Sci Rep. 2020 Jul 8;10(1):11236. doi: 10.1038/s41598-020-67908-4.
9
Targeting the EMT transcription factor TWIST1 overcomes resistance to EGFR inhibitors in EGFR-mutant non-small-cell lung cancer.靶向 EMT 转录因子 TWIST1 克服 EGFR 突变型非小细胞肺癌对 EGFR 抑制剂的耐药性。
Oncogene. 2019 Jan;38(5):656-670. doi: 10.1038/s41388-018-0482-y. Epub 2018 Aug 31.
10
L3MBTL1, a polycomb protein, promotes Osimertinib acquired resistance through epigenetic regulation of DNA damage response in lung adenocarcinoma.L3MBTL1,一种多梳蛋白,通过对肺腺癌中 DNA 损伤反应的表观遗传调控促进奥希替尼获得性耐药。
Cell Death Dis. 2024 Sep 4;15(9):649. doi: 10.1038/s41419-024-06796-2.

本文引用的文献

1
Genome-wide CRISPR screen identifies BUB1 kinase as a druggable vulnerability in malignant pleural mesothelioma.全基因组CRISPR筛选确定BUB1激酶是恶性胸膜间皮瘤中的一个可药物靶向的脆弱靶点。
Cell Death Dis. 2025 Apr 3;16(1):241. doi: 10.1038/s41419-025-07587-z.
2
Leveraging Circular Polymerization and Extension Cloning (CPEC) Method for Construction of CRISPR Screening Libraries.利用环化聚合与延伸克隆(CPEC)方法构建CRISPR筛选文库。
Bio Protoc. 2025 Feb 20;15(4):e5183. doi: 10.21769/BioProtoc.5183.
3
Epigenetic regulation of noncanonical menin targets modulates menin inhibitor response in acute myeloid leukemia.
组蛋白修饰对非典型 MENIN 靶点的调控调节了 MENIN 抑制剂在急性髓系白血病中的反应。
Blood. 2024 Nov 7;144(19):2018-2032. doi: 10.1182/blood.2023023644.
4
Novel PROTAC probes targeting FOSL1 degradation to eliminate head and neck squamous cell carcinoma cancer stem cells.靶向 FOSL1 降解的新型 PROTAC 探针消除头颈部鳞状细胞癌癌症干细胞。
Bioorg Chem. 2024 Oct;151:107613. doi: 10.1016/j.bioorg.2024.107613. Epub 2024 Jul 9.
5
NEAT1_1 confers gefitinib resistance in lung adenocarcinoma through promoting AKR1C1-mediated ferroptosis defence.NEAT1_1通过促进AKR1C1介导的铁死亡防御赋予肺腺癌对吉非替尼的耐药性。
Cell Death Discov. 2024 Mar 12;10(1):131. doi: 10.1038/s41420-024-01892-w.
6
The study of primary and acquired resistance to first-line osimertinib to improve the outcome of EGFR-mutated advanced Non-small cell lung cancer patients: the challenge is open for new therapeutic strategies.研究第一代和获得性耐药对改善表皮生长因子受体突变型晚期非小细胞肺癌患者预后的影响:新的治疗策略仍面临挑战。
Crit Rev Oncol Hematol. 2024 Apr;196:104295. doi: 10.1016/j.critrevonc.2024.104295. Epub 2024 Feb 20.
7
ASCL1 Drives Tolerance to Osimertinib in EGFR Mutant Lung Cancer in Permissive Cellular Contexts.ASCL1在允许的细胞环境中驱动EGFR突变型肺癌对奥希替尼的耐受性。
Cancer Res. 2024 Apr 15;84(8):1303-1319. doi: 10.1158/0008-5472.CAN-23-0438.
8
EZH2-mediated development of therapeutic resistance in cancer.EZH2 介导的癌症治疗抵抗的发生。
Cancer Lett. 2024 Apr 1;586:216706. doi: 10.1016/j.canlet.2024.216706. Epub 2024 Feb 7.
9
EZH2/G9a interact to mediate drug resistance in non-small-cell lung cancer by regulating the SMAD4/ERK/c-Myc signaling axis.EZH2/G9a 通过调控 SMAD4/ERK/c-Myc 信号轴介导非小细胞肺癌的耐药性。
Cell Rep. 2024 Feb 27;43(2):113714. doi: 10.1016/j.celrep.2024.113714. Epub 2024 Feb 1.
10
Transcriptome-level discovery of survival-associated biomarkers and therapy targets in non-small-cell lung cancer.非小细胞肺癌中与生存相关的生物标志物和治疗靶点的转录组水平发现。
Br J Pharmacol. 2024 Feb;181(3):362-374. doi: 10.1111/bph.16257. Epub 2023 Nov 23.