• 文献检索
  • 文档翻译
  • 深度研究
  • 学术资讯
  • Suppr Zotero 插件Zotero 插件
  • 邀请有礼
  • 套餐&价格
  • 历史记录
应用&插件
Suppr Zotero 插件Zotero 插件浏览器插件Mac 客户端Windows 客户端微信小程序
定价
高级版会员购买积分包购买API积分包
服务
文献检索文档翻译深度研究API 文档MCP 服务
关于我们
关于 Suppr公司介绍联系我们用户协议隐私条款
关注我们

Suppr 超能文献

核心技术专利:CN118964589B侵权必究
粤ICP备2023148730 号-1Suppr @ 2026

文献检索

告别复杂PubMed语法,用中文像聊天一样搜索,搜遍4000万医学文献。AI智能推荐,让科研检索更轻松。

立即免费搜索

文件翻译

保留排版,准确专业,支持PDF/Word/PPT等文件格式,支持 12+语言互译。

免费翻译文档

深度研究

AI帮你快速写综述,25分钟生成高质量综述,智能提取关键信息,辅助科研写作。

立即免费体验

首例因早产新生儿张力性气胸行胸腔闭式引流术后发生医源性心脏压塞的病例报告。

First Reported Case of Iatrogenic Cardiac Tamponade Following Chest Drain Insertion for Tension Pneumothorax in a Premature Newborn.

作者信息

Grandmougin Daniel, Dan Pan, Wurtz François, Larmure Olivier, Birliga Constanta, Jellimann Jean-Marc, Giroux Nathan, Bosser Gilles, Maureira Juan-Pablo

机构信息

Department of Cardiac Surgery and Transplantation, ILCV Louis Mathieu, Centre Hospitalier Régional et Universitaire de Nancy, Nancy, France.

Department of Anesthesia, Hôpital d'Enfants, Centre Hospitalier Régional et Universitaire de Nancy, Nancy, France.

出版信息

Case Rep Pediatr. 2025 May 18;2025:7960753. doi: 10.1155/crpe/7960753. eCollection 2025.

DOI:10.1155/crpe/7960753
PMID:40420844
原文链接:https://pmc.ncbi.nlm.nih.gov/articles/PMC12103966/
Abstract

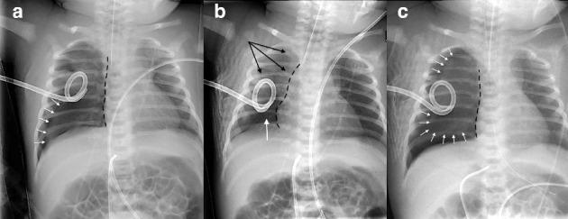
Cardiac tamponade is a challenging clinical situation in preterm newborns. We report the first case of an iatrogenic cardiac tamponade secondary to direct myocardial disruption with pericardial penetration following unsuccessful attempts to drain a right tension pneumothorax in a 34-week premature female newborn. The pathophysiologic mechanisms involved are discussed.

摘要

心脏压塞在早产新生儿中是一种具有挑战性的临床情况。我们报告了首例医源性心脏压塞病例,该病例发生在一名34周早产女婴身上,在尝试引流右侧张力性气胸失败后,因直接心肌破裂伴心包穿透继发心脏压塞。文中讨论了所涉及的病理生理机制。

https://cdn.ncbi.nlm.nih.gov/pmc/blobs/5dfb/12103966/27b209d3fc25/CRIPE2025-7960753.002.jpg
https://cdn.ncbi.nlm.nih.gov/pmc/blobs/5dfb/12103966/a70d146c2f16/CRIPE2025-7960753.001.jpg
https://cdn.ncbi.nlm.nih.gov/pmc/blobs/5dfb/12103966/27b209d3fc25/CRIPE2025-7960753.002.jpg
https://cdn.ncbi.nlm.nih.gov/pmc/blobs/5dfb/12103966/a70d146c2f16/CRIPE2025-7960753.001.jpg
https://cdn.ncbi.nlm.nih.gov/pmc/blobs/5dfb/12103966/27b209d3fc25/CRIPE2025-7960753.002.jpg

相似文献

1
First Reported Case of Iatrogenic Cardiac Tamponade Following Chest Drain Insertion for Tension Pneumothorax in a Premature Newborn.首例因早产新生儿张力性气胸行胸腔闭式引流术后发生医源性心脏压塞的病例报告。
Case Rep Pediatr. 2025 May 18;2025:7960753. doi: 10.1155/crpe/7960753. eCollection 2025.
2
Cardiac tamponade in a preterm neonate secondary to a chest tube.一名早产儿因胸腔引流管导致心脏压塞。
Acta Paediatr. 1993 May;82(5):490-1. doi: 10.1111/j.1651-2227.1993.tb12730.x.
3
Delayed pericardial effusion and cardiac tamponade following penetrating chest trauma.穿透性胸部创伤后迟发性心包积液和心脏压塞
CJEM. 2013 May;15(3):186-9.
4
Barotrauma-associated posterior tension pneumomediastinum, a rare cause of cardiac tamponade in a ventilated neonate: a case report and review of the literature.气压伤相关性张力性纵隔气肿,致机械通气新生儿心脏压塞的罕见病因:病例报告及文献复习。
Acta Paediatr. 2012 Mar;101(3):e142-4. doi: 10.1111/j.1651-2227.2011.02525.x. Epub 2011 Nov 29.
5
Cardiac tamponade secondary to chest tube placement.胸腔闭式引流管置入术后并发心脏压塞
Eur J Emerg Med. 2001 Sep;8(3):237-9. doi: 10.1097/00063110-200109000-00014.
6
Bloody pericardial effusion in patients with cardiac tamponade: is the cause cancerous, tuberculous, or iatrogenic in the 1990s?心脏压塞患者的血性心包积液:在20世纪90年代,病因是癌症、结核还是医源性的?
Chest. 1999 Dec;116(6):1564-9. doi: 10.1378/chest.116.6.1564.
7
Cardiac Tamponade - a Cause of Sudden Death in a Premature Newborn.心脏压塞——早产儿猝死的一个原因。
Fetal Pediatr Pathol. 2022 Dec;41(6):1057-1059. doi: 10.1080/15513815.2021.2011994. Epub 2021 Dec 6.
8
Pericardial injury from chest compression: a case report of incidental release of cardiac tamponade.胸部按压导致的心包损伤:一例心脏压塞偶然解除的病例报告
J Intensive Care. 2018 Aug 28;6:54. doi: 10.1186/s40560-018-0325-5. eCollection 2018.
9
Iatrogenic pneumopericardium after tube thoracostomy: A case report.胸腔闭式引流术后医源性心包积气:一例报告。
Int J Surg Case Rep. 2020;76:259-262. doi: 10.1016/j.ijscr.2020.10.006. Epub 2020 Oct 8.
10
Cardiac tamponade secondary to iatrogenic needle decompression in blunt force trauma.钝性暴力创伤中因医源性针减压导致的心包填塞。
Proc (Bayl Univ Med Cent). 2022 Apr 22;35(4):524-525. doi: 10.1080/08998280.2022.2063628. eCollection 2022.

本文引用的文献

1
Resident physician training in bedside pleural procedures: A one-year experience at a teaching hospital.住院医师在床边胸腔操作中的培训:教学医院一年的经验。
Clinics (Sao Paulo). 2024 Jun 3;79:100399. doi: 10.1016/j.clinsp.2024.100399. eCollection 2024.
2
Differences in Possible Risk Factors, Treatment Strategies, and Outcomes of Neonatal Pneumothorax in Preterm and Term Infants.早产儿和足月儿新生儿气胸的潜在危险因素、治疗策略及预后差异。
Turk Arch Pediatr. 2024 Jan;59(1):87-92. doi: 10.5152/TurkArchPediatr.2024.23124.
3
Central Lines and Their Complications in Neonates: A Case Report and Literature Review.
新生儿中心静脉置管及其并发症:病例报告与文献综述
Children (Basel). 2023 Dec 25;11(1):26. doi: 10.3390/children11010026.
4
Epidemiology of neonatal pneumothorax developed spontaneously and during respiratory supports in neonatal intensive care units.新生儿气胸的流行病学:在新生儿重症监护病房中,自发性气胸和呼吸支持相关气胸的发生情况。
Malays J Pathol. 2023 Dec;45(3):441-456.
5
A rare cause of air-leak syndrome in a premature newborn: a case report.早产儿气漏综合征的罕见病因:病例报告。
BMC Pediatr. 2023 Jul 13;23(1):360. doi: 10.1186/s12887-023-04140-9.
6
Assessment of an umbilical venous catheter dwell-time of 8-14 days versus 1-7 days in very low birth weight infacts (UVC - You Will See): a pilot single-center, randomized controlled trial.极低出生体重儿脐静脉导管留置8 - 14天与1 - 7天的评估(UVC - 你将会看到):一项单中心试点随机对照试验
Early Hum Dev. 2023 Apr;179:105752. doi: 10.1016/j.earlhumdev.2023.105752. Epub 2023 Mar 17.
7
Tamponade and massive pleural effusions secondary to peripherally inserted central catheter in neonates-A complication to be aware of.新生儿经外周静脉穿刺中心静脉置管引起的心包填塞和大量胸腔积液——一种需警惕的并发症。
Front Cardiovasc Med. 2023 Feb 17;10:1092814. doi: 10.3389/fcvm.2023.1092814. eCollection 2023.
8
Management of pneumothorax with 8.3-French Pigtail Catheter: description of the ultrasound-guided technique and case series.使用8.3法式猪尾导管治疗气胸:超声引导技术及病例系列描述
Ultrasound J. 2023 Jan 12;15(1):1. doi: 10.1186/s13089-022-00303-4.
9
The incidence and mortality rate of catheter-related neonatal pericardial effusion: A meta-analysis.导管相关性新生儿心包积液的发生率和死亡率:一项荟萃分析。
Medicine (Baltimore). 2022 Nov 25;101(47):e32050. doi: 10.1097/MD.0000000000032050.
10
Neonatal Pneumothorax Outcome in Preterm and Term Newborns.新生儿气胸在早产儿和足月儿中的结局。
Medicina (Kaunas). 2022 Jul 20;58(7):965. doi: 10.3390/medicina58070965.