• 文献检索
  • 文档翻译
  • 深度研究
  • 学术资讯
  • Suppr Zotero 插件Zotero 插件
  • 邀请有礼
  • 套餐&价格
  • 历史记录
应用&插件
Suppr Zotero 插件Zotero 插件浏览器插件Mac 客户端Windows 客户端微信小程序
定价
高级版会员购买积分包购买API积分包
服务
文献检索文档翻译深度研究API 文档MCP 服务
关于我们
关于 Suppr公司介绍联系我们用户协议隐私条款
关注我们

Suppr 超能文献

核心技术专利:CN118964589B侵权必究
粤ICP备2023148730 号-1Suppr @ 2026

文献检索

告别复杂PubMed语法,用中文像聊天一样搜索,搜遍4000万医学文献。AI智能推荐,让科研检索更轻松。

立即免费搜索

文件翻译

保留排版,准确专业,支持PDF/Word/PPT等文件格式,支持 12+语言互译。

免费翻译文档

深度研究

AI帮你快速写综述,25分钟生成高质量综述,智能提取关键信息,辅助科研写作。

立即免费体验

海马蛋白质组学揭示出生后铅暴露对自闭症样行为的新型分子特征。

Hippocampal Proteomics Reveals the Novel Molecular Profiling of Postnatal Lead (Pb) Exposure on Autism-like Behaviors.

作者信息

Liu Li, Zhou Xulan, Ma Zihan, Liu Ruming, Zhang Yuhan, Wang Yaqi, Liu Yiwen, Xia Xiaochun, Wang Juan

机构信息

School of Public Health, Fujian Medical University, Fuzhou 350122, China.

Department of Public Health and Medical Technology, Xiamen Medical College, Xiamen 361023, China.

出版信息

Toxics. 2025 May 31;13(6):465. doi: 10.3390/toxics13060465.

DOI:10.3390/toxics13060465
PMID:40559938
原文链接:https://pmc.ncbi.nlm.nih.gov/articles/PMC12197489/
Abstract

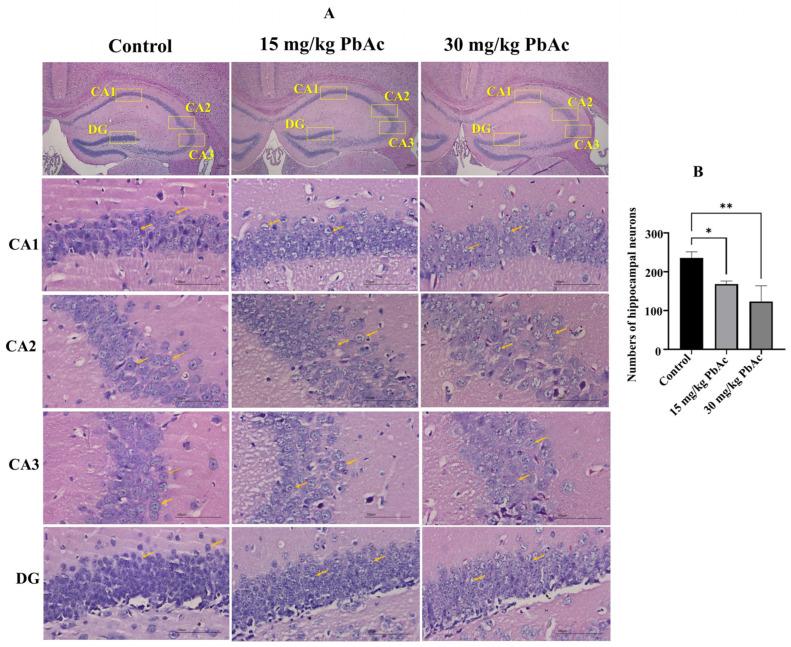
Autism spectrum disorder (ASD) is a multifactorial neurodevelopmental disorder, with lead (Pb) exposure increasingly linked to its risk. However, the molecular mechanisms linking Pb to ASD remain poorly understood. This study established a postnatal Pb-exposed mouse model and employed the three-chamber social test and the marble-burying test to assess ASD-like behavioral phenotypes. The Pb levels in both blood and the hippocampus were quantified, and hippocampal neurons were assessed for morphological alterations. Moreover, a Tandem Mass Tag (TMT)-based quantitative proteomics approach was applied to elucidate the underlying mechanisms. Neurobehavioral experiments revealed Pb-exposed C57BL/6 offspring exhibited reduced social interaction and novelty preference along with increased repetitive marble-burying behavior. The Pb levels in both the blood and hippocampus of Pb-treated mice were significantly elevated compared with those of control animals. Postnatal Pb exposure resulted in a reduction in the neuronal numbers and disorganized neuronal arrangement in the hippocampus. A total of 66 proteins were identified as being differentially expressed after postnatal Pb exposure. Among them, 34 differentially expressed proteins were common in both Pb exposure groups, with 33 downregulated and 1 upregulated. Bioinformatic analysis revealed multi-pathway regulation involved in Pb-induced neurodevelopmental disorders, including dysregulation of synaptic signaling, abnormal activation of neuron apoptosis, and neuroinflammation. Notably, the SYT10/IGF-1 signaling pathway may play a potential key role. These findings enhance understanding of Pb-induced autism-like behaviors, providing novel proteomic insights into the etiology of ASD.

摘要

自闭症谱系障碍(ASD)是一种多因素神经发育障碍,铅(Pb)暴露与其风险的关联日益增加。然而,将铅与ASD联系起来的分子机制仍知之甚少。本研究建立了出生后铅暴露小鼠模型,并采用三室社交试验和埋大理石试验来评估ASD样行为表型。对血液和海马中的铅水平进行了定量,并评估了海马神经元的形态改变。此外,应用基于串联质谱标签(TMT)的定量蛋白质组学方法来阐明潜在机制。神经行为实验表明,铅暴露的C57BL/6后代表现出社交互动减少、新奇偏好降低以及重复埋大理石行为增加。与对照动物相比,铅处理小鼠的血液和海马中的铅水平显著升高。出生后铅暴露导致海马中神经元数量减少和神经元排列紊乱。共鉴定出66种蛋白质在出生后铅暴露后差异表达。其中,34种差异表达蛋白质在两个铅暴露组中均常见,33种下调,1种上调。生物信息学分析揭示了铅诱导的神经发育障碍涉及多途径调节,包括突触信号失调、神经元凋亡异常激活和神经炎症。值得注意的是,SYT10/IGF-1信号通路可能起潜在关键作用。这些发现增进了对铅诱导的自闭症样行为的理解,为ASD的病因提供了新的蛋白质组学见解。

https://cdn.ncbi.nlm.nih.gov/pmc/blobs/d8a0/12197489/71c5f70afa36/toxics-13-00465-g010.jpg
https://cdn.ncbi.nlm.nih.gov/pmc/blobs/d8a0/12197489/e9632a4b6e2d/toxics-13-00465-g001.jpg
https://cdn.ncbi.nlm.nih.gov/pmc/blobs/d8a0/12197489/3d767cebd2a9/toxics-13-00465-g002.jpg
https://cdn.ncbi.nlm.nih.gov/pmc/blobs/d8a0/12197489/2497a9f788d6/toxics-13-00465-g003.jpg
https://cdn.ncbi.nlm.nih.gov/pmc/blobs/d8a0/12197489/4f403204ae31/toxics-13-00465-g004.jpg
https://cdn.ncbi.nlm.nih.gov/pmc/blobs/d8a0/12197489/1da7c2035a78/toxics-13-00465-g005.jpg
https://cdn.ncbi.nlm.nih.gov/pmc/blobs/d8a0/12197489/485a104c074a/toxics-13-00465-g006.jpg
https://cdn.ncbi.nlm.nih.gov/pmc/blobs/d8a0/12197489/acbe8e3ba1da/toxics-13-00465-g007.jpg
https://cdn.ncbi.nlm.nih.gov/pmc/blobs/d8a0/12197489/9c6712891d49/toxics-13-00465-g008.jpg
https://cdn.ncbi.nlm.nih.gov/pmc/blobs/d8a0/12197489/8aafbeab41a8/toxics-13-00465-g009.jpg
https://cdn.ncbi.nlm.nih.gov/pmc/blobs/d8a0/12197489/71c5f70afa36/toxics-13-00465-g010.jpg
https://cdn.ncbi.nlm.nih.gov/pmc/blobs/d8a0/12197489/e9632a4b6e2d/toxics-13-00465-g001.jpg
https://cdn.ncbi.nlm.nih.gov/pmc/blobs/d8a0/12197489/3d767cebd2a9/toxics-13-00465-g002.jpg
https://cdn.ncbi.nlm.nih.gov/pmc/blobs/d8a0/12197489/2497a9f788d6/toxics-13-00465-g003.jpg
https://cdn.ncbi.nlm.nih.gov/pmc/blobs/d8a0/12197489/4f403204ae31/toxics-13-00465-g004.jpg
https://cdn.ncbi.nlm.nih.gov/pmc/blobs/d8a0/12197489/1da7c2035a78/toxics-13-00465-g005.jpg
https://cdn.ncbi.nlm.nih.gov/pmc/blobs/d8a0/12197489/485a104c074a/toxics-13-00465-g006.jpg
https://cdn.ncbi.nlm.nih.gov/pmc/blobs/d8a0/12197489/acbe8e3ba1da/toxics-13-00465-g007.jpg
https://cdn.ncbi.nlm.nih.gov/pmc/blobs/d8a0/12197489/9c6712891d49/toxics-13-00465-g008.jpg
https://cdn.ncbi.nlm.nih.gov/pmc/blobs/d8a0/12197489/8aafbeab41a8/toxics-13-00465-g009.jpg
https://cdn.ncbi.nlm.nih.gov/pmc/blobs/d8a0/12197489/71c5f70afa36/toxics-13-00465-g010.jpg

相似文献

1
Hippocampal Proteomics Reveals the Novel Molecular Profiling of Postnatal Lead (Pb) Exposure on Autism-like Behaviors.海马蛋白质组学揭示出生后铅暴露对自闭症样行为的新型分子特征。
Toxics. 2025 May 31;13(6):465. doi: 10.3390/toxics13060465.
2
Effects of Cannabidiol Isolated or in Association With Risperidone in an Animal Model of Autism.大麻二酚单独或联合利培酮在自闭症动物模型中的作用。
Dev Neurobiol. 2025 Jan;85(1):e22955. doi: 10.1002/dneu.22955.
3
Home treatment for mental health problems: a systematic review.心理健康问题的居家治疗:一项系统综述
Health Technol Assess. 2001;5(15):1-139. doi: 10.3310/hta5150.
4
Arecoline alleviates autism spectrum disorder-like behaviors and cognition disorders in a valproic acid mouse model by activating the AMPK/CREB/BDNF signaling pathway.槟榔碱通过激活AMPK/CREB/BDNF信号通路减轻丙戊酸小鼠模型中的自闭症谱系障碍样行为和认知障碍。
Brain Res Bull. 2025 Jun 11;229:111431. doi: 10.1016/j.brainresbull.2025.111431.
5
Methylphenidate for children and adolescents with autism spectrum disorder.用于治疗自闭症谱系障碍儿童和青少年的哌醋甲酯
Cochrane Database Syst Rev. 2017 Nov 21;11(11):CD011144. doi: 10.1002/14651858.CD011144.pub2.
6
Behavioural and cognitive behavioural therapy for obsessive compulsive disorder (OCD) in individuals with autism spectrum disorder (ASD).针对自闭症谱系障碍(ASD)个体的强迫症(OCD)的行为和认知行为疗法。
Cochrane Database Syst Rev. 2021 Sep 3;9(9):CD013173. doi: 10.1002/14651858.CD013173.pub2.
7
Region-Specific Brain Volume Changes Emerge in Adolescence in the Valproic Acid Model of Autism and Parallel Human Findings.在丙戊酸自闭症模型中,特定区域的脑容量变化在青少年期出现,与人类研究结果相似。
Dev Neurosci. 2025;47(1):68-80. doi: 10.1159/000538932. Epub 2024 Apr 26.
8
Memantine for autism spectrum disorder.美金刚治疗自闭症谱系障碍。
Cochrane Database Syst Rev. 2022 Aug 25;8(8):CD013845. doi: 10.1002/14651858.CD013845.pub2.
9
Challenges to high-quality care in autism with functional somatic symptoms: A case-inspired narrative review and exploratory biopsychosocial model.伴有功能性躯体症状的自闭症患者高质量护理面临的挑战:基于病例的叙事综述与探索性生物心理社会模型
Clin Child Psychol Psychiatry. 2025 Jul;30(3):562-587. doi: 10.1177/13591045251343692. Epub 2025 May 16.
10
A systematic literature review on the association between exposures to toxic elements and an autism spectrum disorder.一项关于有毒元素暴露与自闭症谱系障碍之间关联的系统文献综述。
Sci Total Environ. 2023 Jan 20;857(Pt 2):159246. doi: 10.1016/j.scitotenv.2022.159246. Epub 2022 Oct 8.

本文引用的文献

1
Evaluation of Heavy Metals and Essential Minerals in the Hair of Children with Autism Spectrum Disorder and Their Association with Symptom Severity.自闭症谱系障碍儿童头发中重金属和必需矿物质的评估及其与症状严重程度的关联。
Biol Trace Elem Res. 2025 Mar 28. doi: 10.1007/s12011-025-04588-z.
2
The global epidemiology and health burden of the autism spectrum: findings from the Global Burden of Disease Study 2021.自闭症谱系障碍的全球流行病学与健康负担:2021年全球疾病负担研究的结果
Lancet Psychiatry. 2025 Feb;12(2):111-121. doi: 10.1016/S2215-0366(24)00363-8. Epub 2024 Dec 19.
3
Deubiquitinase MYSM1: An Important Tissue Development and Function Regulator.
去泛素化酶MYSM1:一种重要的组织发育和功能调节因子。
Int J Mol Sci. 2024 Dec 4;25(23):13051. doi: 10.3390/ijms252313051.
4
Identifying BLOC1S4 as a prospective target and prognostic indicator in lung adenocarcinoma.将BLOC1S4鉴定为肺腺癌的潜在靶点和预后指标。
Asian J Surg. 2024 Nov 7. doi: 10.1016/j.asjsur.2024.10.059.
5
TMT-based proteomics reveals methylprotodioscin alleviates oxidative stress and inflammation via COX6C in myocardial infraction.基于 TMT 的蛋白质组学揭示了甲基原薯蓣皂苷通过 COX6C 在心肌梗死中缓解氧化应激和炎症。
Biomed Pharmacother. 2024 Nov;180:117489. doi: 10.1016/j.biopha.2024.117489. Epub 2024 Sep 24.
6
METTL16 participates in haemoglobin H disease through m6A modification.METTL16 通过 m6A 修饰参与血红蛋白 H 病。
PLoS One. 2024 Aug 1;19(8):e0306043. doi: 10.1371/journal.pone.0306043. eCollection 2024.
7
Integration of Proteomic and Metabolomic Data Reveals the Lipid Metabolism Disorder in the Liver of Rats Exposed to Simulated Microgravity.蛋白质组学和代谢组学数据的整合揭示了模拟微重力暴露大鼠肝脏中的脂质代谢紊乱。
Biomolecules. 2024 Jun 12;14(6):682. doi: 10.3390/biom14060682.
8
Insights into the mechanism of transcription factors in Pb-induced apoptosis.探讨转录因子在 Pb 诱导细胞凋亡中的作用机制。
Toxicology. 2024 Mar;503:153760. doi: 10.1016/j.tox.2024.153760. Epub 2024 Feb 21.
9
Molecular profiling of the hippocampus of children with autism spectrum disorder.自闭症谱系障碍患儿海马体的分子谱分析。
Mol Psychiatry. 2024 Jul;29(7):1968-1979. doi: 10.1038/s41380-024-02441-8. Epub 2024 Feb 14.
10
Prenatal exposure to metal mixtures and childhood temporal processing in the PROGRESS Birth Cohort Study: Modification by childhood obesity.产前暴露于金属混合物与 PROGRESS 出生队列研究中儿童的时间处理能力:儿童肥胖的影响。
Sci Total Environ. 2024 Mar 20;917:170576. doi: 10.1016/j.scitotenv.2024.170576. Epub 2024 Feb 1.