• 文献检索
  • 文档翻译
  • 深度研究
  • 学术资讯
  • Suppr Zotero 插件Zotero 插件
  • 邀请有礼
  • 套餐&价格
  • 历史记录
应用&插件
Suppr Zotero 插件Zotero 插件浏览器插件Mac 客户端Windows 客户端微信小程序
定价
高级版会员购买积分包购买API积分包
服务
文献检索文档翻译深度研究API 文档MCP 服务
关于我们
关于 Suppr公司介绍联系我们用户协议隐私条款
关注我们

Suppr 超能文献

核心技术专利:CN118964589B侵权必究
粤ICP备2023148730 号-1Suppr @ 2026

文献检索

告别复杂PubMed语法,用中文像聊天一样搜索,搜遍4000万医学文献。AI智能推荐,让科研检索更轻松。

立即免费搜索

文件翻译

保留排版,准确专业,支持PDF/Word/PPT等文件格式,支持 12+语言互译。

免费翻译文档

深度研究

AI帮你快速写综述,25分钟生成高质量综述,智能提取关键信息,辅助科研写作。

立即免费体验

经支气管镜切除治疗支气管内肺副神经节瘤

Management of an Endobronchial Pulmonary Paraganglioma via Bronchoscopic Resection.

作者信息

Hoang Khuyen, Brown Michael V, Badiei Arash, Nguyen Phan

机构信息

Adelaide Medical School, Faculty of Health and Medical Sciences University of Adelaide Adelaide Australia.

Department of Thoracic Medicine Royal Adelaide Hospital Adelaide Australia.

出版信息

Respirol Case Rep. 2025 Jul 4;13(7):e70265. doi: 10.1002/rcr2.70265. eCollection 2025 Jul.

DOI:10.1002/rcr2.70265
PMID:40625883
原文链接:https://pmc.ncbi.nlm.nih.gov/articles/PMC12231209/
Abstract

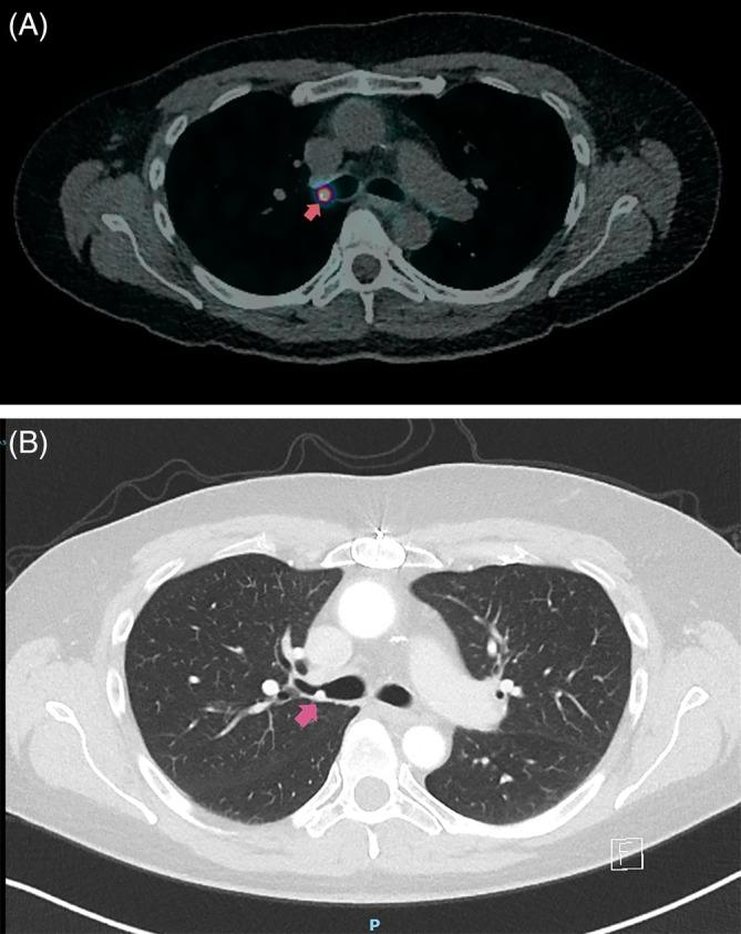
Paragangliomas are rare neuroendocrine tumours sharing embryological origins with phaeochromocytomas but differ in that they are found outside the adrenal medulla. The prevalence in literature ranges from 2 to 8 cases per million people. Pulmonary paragangliomas account for approximately 2% of this. Paragangliomas can cause symptoms due to the secretion of catecholamines. Other 'non-functional' paragangliomas may cause symptoms relating to mass effect or endobronchial obstruction. Once a diagnosis is made, the most common reported modality of management are lobectomy and endobronchial sleeve resection. Only a limited number of case reports describe other management modalities such as endobronchial ablation. We present the case of 48-year-old female with a right main bronchus endobronchial lesion identified on positron emission tomography (PET) dotatate scan on a background of succinic dehydrogenase B gene mutation (SDHB) familial paraganglioma. Bronchoscopic management with argon plasma coagulation (APC) probe ablation was used to debulk the lesion which resulted in excellent symptomatic improvement and stability on follow-up.

摘要

副神经节瘤是一种罕见的神经内分泌肿瘤,与嗜铬细胞瘤有着共同的胚胎学起源,但不同的是,它们位于肾上腺髓质之外。文献报道的发病率为每百万人中有2至8例。肺副神经节瘤约占其中的2%。副神经节瘤可因儿茶酚胺分泌而引起症状。其他“无功能”副神经节瘤可能会引起与占位效应或支气管内阻塞相关的症状。一旦确诊,最常见的治疗方式是肺叶切除术和支气管袖状切除术。只有少数病例报告描述了其他治疗方式,如支气管内消融。我们报告一例48岁女性患者,在琥珀酸脱氢酶B基因突变(SDHB)家族性副神经节瘤背景下,正电子发射断层扫描(PET)钇[90Y] DOTATATE扫描发现右主支气管内病变。采用氩等离子体凝固(APC)探头消融进行支气管镜治疗,以减少病变体积,症状得到显著改善,随访期间病情稳定。

https://cdn.ncbi.nlm.nih.gov/pmc/blobs/242e/12231209/3ab788f09688/RCR2-13-e70265-g003.jpg
https://cdn.ncbi.nlm.nih.gov/pmc/blobs/242e/12231209/33849403981c/RCR2-13-e70265-g001.jpg
https://cdn.ncbi.nlm.nih.gov/pmc/blobs/242e/12231209/b7821e440f96/RCR2-13-e70265-g005.jpg
https://cdn.ncbi.nlm.nih.gov/pmc/blobs/242e/12231209/1075a1f87536/RCR2-13-e70265-g002.jpg
https://cdn.ncbi.nlm.nih.gov/pmc/blobs/242e/12231209/3ab788f09688/RCR2-13-e70265-g003.jpg
https://cdn.ncbi.nlm.nih.gov/pmc/blobs/242e/12231209/33849403981c/RCR2-13-e70265-g001.jpg
https://cdn.ncbi.nlm.nih.gov/pmc/blobs/242e/12231209/b7821e440f96/RCR2-13-e70265-g005.jpg
https://cdn.ncbi.nlm.nih.gov/pmc/blobs/242e/12231209/1075a1f87536/RCR2-13-e70265-g002.jpg
https://cdn.ncbi.nlm.nih.gov/pmc/blobs/242e/12231209/3ab788f09688/RCR2-13-e70265-g003.jpg

相似文献

1
Management of an Endobronchial Pulmonary Paraganglioma via Bronchoscopic Resection.经支气管镜切除治疗支气管内肺副神经节瘤
Respirol Case Rep. 2025 Jul 4;13(7):e70265. doi: 10.1002/rcr2.70265. eCollection 2025 Jul.
2
Hereditary Paraganglioma-Pheochromocytoma Syndromes遗传性副神经节瘤-嗜铬细胞瘤综合征
3
Signs and symptoms to determine if a patient presenting in primary care or hospital outpatient settings has COVID-19.在基层医疗机构或医院门诊环境中,如果患者出现以下症状和体征,可判断其是否患有 COVID-19。
Cochrane Database Syst Rev. 2022 May 20;5(5):CD013665. doi: 10.1002/14651858.CD013665.pub3.
4
A rapid and systematic review of the clinical effectiveness and cost-effectiveness of paclitaxel, docetaxel, gemcitabine and vinorelbine in non-small-cell lung cancer.对紫杉醇、多西他赛、吉西他滨和长春瑞滨在非小细胞肺癌中的临床疗效和成本效益进行的快速系统评价。
Health Technol Assess. 2001;5(32):1-195. doi: 10.3310/hta5320.
5
Bronchoscopic lung volume reduction procedures for chronic obstructive pulmonary disease.用于慢性阻塞性肺疾病的支气管镜下肺减容术
Cochrane Database Syst Rev. 2017 Feb 23;2(2):CD012158. doi: 10.1002/14651858.CD012158.pub2.
6
Systemic treatments for metastatic cutaneous melanoma.转移性皮肤黑色素瘤的全身治疗
Cochrane Database Syst Rev. 2018 Feb 6;2(2):CD011123. doi: 10.1002/14651858.CD011123.pub2.
7
Home treatment for mental health problems: a systematic review.心理健康问题的居家治疗:一项系统综述
Health Technol Assess. 2001;5(15):1-139. doi: 10.3310/hta5150.
8
The Black Book of Psychotropic Dosing and Monitoring.《精神药物剂量与监测黑皮书》
Psychopharmacol Bull. 2024 Jul 8;54(3):8-59.
9
Drugs for preventing postoperative nausea and vomiting in adults after general anaesthesia: a network meta-analysis.成人全身麻醉后预防术后恶心呕吐的药物:网状Meta分析
Cochrane Database Syst Rev. 2020 Oct 19;10(10):CD012859. doi: 10.1002/14651858.CD012859.pub2.
10
Bronchoscopy-guided antimicrobial therapy for cystic fibrosis.支气管镜引导下的囊性纤维化抗菌治疗
Cochrane Database Syst Rev. 2016 Jan 21(1):CD009530. doi: 10.1002/14651858.CD009530.pub3.

本文引用的文献

1
Pulmonary gangliocytic paraganglioma: An under-recognized mimic of carcinoid tumor.肺神经节细胞瘤性副神经节瘤:类癌肿瘤的一种被低估的模拟物。
Hum Pathol. 2024 Apr;146:23-27. doi: 10.1016/j.humpath.2024.02.013. Epub 2024 Mar 3.
2
Techniques and outcomes of bronchoplastic and sleeve resection: an 8-year single-center experience.支气管成形术和袖状切除术的技术与结果:一项为期8年的单中心经验
Transl Lung Cancer Res. 2021 Dec;10(12):4538-4548. doi: 10.21037/tlcr-21-913.
3
An Unusual Histology for a Lung Nodule: A Case Report of Primary Pulmonary Paraganglioma.
一例罕见组织学表现的肺结节:原发性肺副神经节瘤病例报告
Front Surg. 2021 Jun 18;8:688236. doi: 10.3389/fsurg.2021.688236. eCollection 2021.
4
Primary endobronchial paraganglioma with lymph node metastasis: a case report.原发性支气管内副神经节瘤伴淋巴结转移:一例报告。
J Int Med Res. 2021 Mar;49(3):3000605211003014. doi: 10.1177/03000605211003014.
5
A rare neurendocrine tumor of the lung: sclerosing paraganglioma. A neoplasm that is difficult to diagnose and a source of dangerous pitfalls. A case report and literature review.一种罕见的肺部神经内分泌肿瘤:硬化性副神经节瘤。这种肿瘤很难诊断,容易出现危险的陷阱。病例报告及文献复习。
Pathologica. 2020 Dec;112(4):191-194. doi: 10.32074/1591-951X-23-19.
6
Standard and extended sleeve resections of the tracheobronchial tree.气管支气管树的标准袖状切除术和扩大袖状切除术。
J Thorac Dis. 2020 Oct;12(10):6163-6172. doi: 10.21037/jtd.2020.02.65.
7
Postoperative complications of pulmonary resection.肺切除术后并发症。
Clin Radiol. 2020 Nov;75(11):876.e1-876.e15. doi: 10.1016/j.crad.2020.05.006. Epub 2020 Jun 27.
8
Primary pulmonary paraganglioma: Two cases.原发性肺副神经节瘤:两例报告
Turk Gogus Kalp Damar Cerrahisi Derg. 2020 Apr 22;28(2):394-398. doi: 10.5606/tgkdc.dergisi.2020.18844. eCollection 2019 Jun.
9
Pathologic features and clinical course of a non-functioning primary pulmonary paraganglioma: A case report.一例无功能型原发性肺副神经节瘤的病理特征及临床病程:病例报告
Ann Med Surg (Lond). 2020 May 27;55:185-189. doi: 10.1016/j.amsu.2020.05.027. eCollection 2020 Jul.
10
Bronchogenic Gangliocytic Paraganglioma.支气管源性神经节细胞性副神经节瘤
J Bronchology Interv Pulmonol. 2020 Jul;27(3):212-215. doi: 10.1097/LBR.0000000000000667.