Suppr超能文献

含氮双膦酸盐对隐孢子虫属感染具有显著疗效。

Promising efficacy of nitrogen-containing bisphosphonates against the infection of Cryptosporidium spp.

作者信息

Hou Wenyan, Chen Xinyi, Zhang Yingying, Wu Longfei, Sun Songying, Guo Jiaye, Zhao Wenchao, Li Junqiang, Zhang Sumei, Zhang Longxian, Li Xiaoying

机构信息

State Key Laboratory for Diagnosis and Treatment of Severe Zoonotic Infectious Diseases, Key Laboratory for Zoonosis Research of the Ministry of Education, College of Veterinary Medicine, Henan Agricultural University, Zhengzhou 450056, China; International Joint Research Laboratory for Zoonotic Diseases of Henan, Zhengzhou, 450046, Henan, China; Key Laboratory of Quality and Safety Control of Poultry Products, Ministry of Agriculture and Rural Affairs, Zhengzhou, 450046, Henan, China.

State Key Laboratory for Diagnosis and Treatment of Severe Zoonotic Infectious Diseases, Key Laboratory for Zoonosis Research of the Ministry of Education, College of Veterinary Medicine, Henan Agricultural University, Zhengzhou 450056, China; International Joint Research Laboratory for Zoonotic Diseases of Henan, Zhengzhou, 450046, Henan, China; Key Laboratory of Quality and Safety Control of Poultry Products, Ministry of Agriculture and Rural Affairs, Zhengzhou, 450046, Henan, China.

出版信息

Int J Parasitol Drugs Drug Resist. 2025 Aug 6;29:100607. doi: 10.1016/j.ijpddr.2025.100607.

Abstract

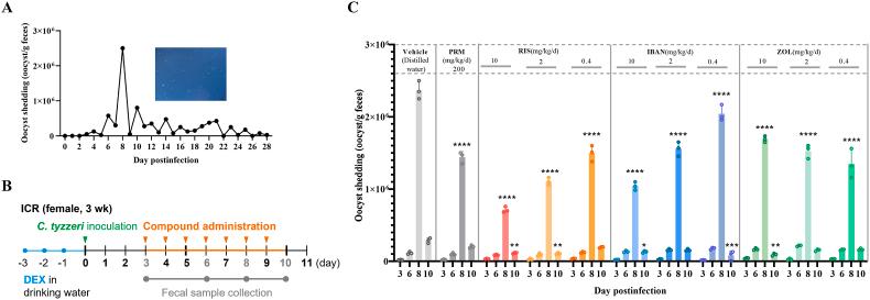
Cryptosporidiosis is a major diarrheal disease that affects both humans and animals. Fully effective drug for treating cryptosporidiosis is still lacking. Nitrogen-containing bisphosphonates have been reported to inhibit Cryptosporidium growth in vitro; however, the in vivo efficacy against Cryptosporidium remain unevaluated. This study determined the anti-Cryptosporidium effect of three nitrogen-containing bisphosphonates risedronate, ibandronate, and zoledronate through both in vitro and in vivo experiments. It was determined that risedronate exhibited the highest therapeutic index of 39.10 among the three compounds, with the median effective concentration low to 17.44 μM against Cryptosporidium parvum infection in vitro. In vivo experiments showed that the high dose (10 mg/kg/d) of risedronate and ibandronate significantly reduced the shedding of Cryptosporidium tyzzeri oocyst, with no toxicity in ICR mice. Histopathological examinations of ICR mice indicated that high and medium (2 mg/kg/d) doses of the bisphosphonates could reduce intestinal damage, recover the height of intestinal villi and crypt depth, led to more intact intestinal structures, and risedronate showed the most promising effects. Furthermore, the three compounds modulated the elevated levels of IL-2, IL-4, and TNF-α cytokines, induced by C. tyzzeri infection, towards normalcy in a dose-dependent manner. In conclusion, the efficacy of three nitrogen-containing bisphosphonates against the in vitro and in vivo infection of Cryptosporidium spp. was assessed. Risedronate show promising effect for further development of new anticryptosporidial drugs.

摘要

隐孢子虫病是一种影响人类和动物的主要腹泻疾病。目前仍缺乏治疗隐孢子虫病的完全有效的药物。据报道,含氮双膦酸盐在体外可抑制隐孢子虫的生长;然而,其对隐孢子虫的体内疗效仍未得到评估。本研究通过体外和体内实验确定了三种含氮双膦酸盐利塞膦酸盐、伊班膦酸盐和唑来膦酸盐的抗隐孢子虫作用。结果表明,利塞膦酸盐在这三种化合物中表现出最高的治疗指数,为39.10,其对微小隐孢子虫感染的体外半数有效浓度低至17.44μM。体内实验表明,高剂量(10mg/kg/d)的利塞膦酸盐和伊班膦酸盐可显著减少泰泽隐孢子虫卵囊的排出,对ICR小鼠无毒性。对ICR小鼠的组织病理学检查表明,高剂量和中剂量(2mg/kg/d)的双膦酸盐可减轻肠道损伤,恢复肠绒毛高度和隐窝深度,使肠道结构更完整,利塞膦酸盐的效果最显著。此外,这三种化合物可使由泰泽隐孢子虫感染诱导升高的IL-2、IL-4和TNF-α细胞因子水平呈剂量依赖性恢复正常。总之,评估了三种含氮双膦酸盐对隐孢子虫属体外和体内感染的疗效。利塞膦酸盐在新型抗隐孢子虫药物的进一步开发方面显示出有前景的效果。

https://cdn.ncbi.nlm.nih.gov/pmc/blobs/87b9/12355920/5af42f1f304e/ga1.jpg

文献AI研究员

20分钟写一篇综述,助力文献阅读效率提升50倍。

立即体验

用中文搜PubMed

大模型驱动的PubMed中文搜索引擎

马上搜索

文档翻译

学术文献翻译模型,支持多种主流文档格式。

立即体验