Suppr超能文献

牙源性细菌引起的脑脓肿:一例报告

Brain Abscess From Dental Bacteria: A Case Report.

作者信息

Staniszewska Magdalena, Krzesniak Kamil, Kolasa Pawel, Smielak Beata

机构信息

Department of Neurosurgery and Cancer of the Nervous System, Regional Multi-Specialist Center for Oncology and Traumatology, Nicolaus Copernicus Memorial Hospital, Lodz, POL.

Department of Dental Technology, Medical University of Lodz, Lodz, POL.

出版信息

Cureus. 2025 Jul 12;17(7):e87768. doi: 10.7759/cureus.87768. eCollection 2025 Jul.

Abstract

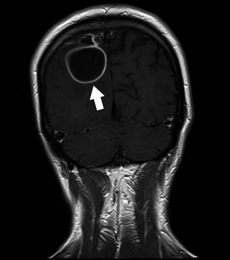
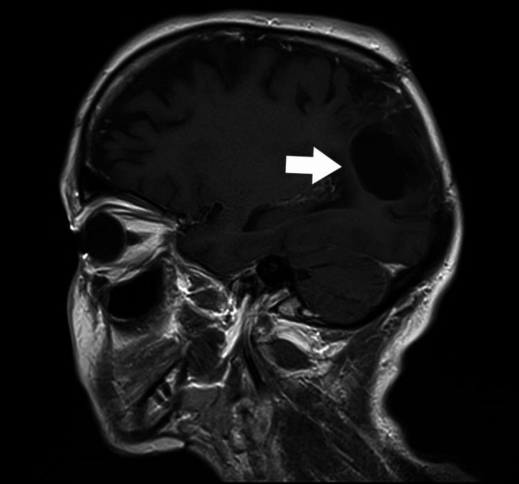
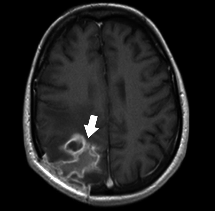
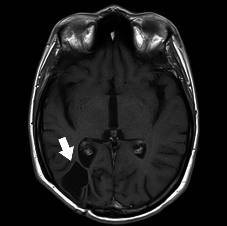
A brain abscess (BA) is a purulent infection of the central nervous system and can be associated with dental procedures. The paper presents a case of a patient diagnosed with an odontogenic BA. On admission, the patient was awake, alert, and oriented (Glasgow Coma Scale 15). The patient reported undergoing excision and drainage of an abscess in the submandibular area three years earlier. An MRI of the head showed a mass lesion (34x19x25 mm) located in the right parieto-occipital region, and an abscess was suspected. During the procedure, puncture and evacuation of the contents of the abscess in the right parieto-occipital area were performed. Oral microorganisms, including and , were isolated from the brain pus. A thorough radiographic and dental examination should be conducted during hospitalization in these patients. Always evaluate for periapical pathology in unexplained BAs, even in the absence of oral symptoms.

摘要

脑脓肿(BA)是中枢神经系统的化脓性感染,可能与牙科手术有关。本文介绍了一例被诊断为牙源性脑脓肿的患者。入院时,患者清醒、警觉且定向力正常(格拉斯哥昏迷量表评分为15分)。患者报告三年前曾接受下颌下区脓肿的切除和引流手术。头部MRI显示右顶枕区有一个肿块病变(34×19×25mm),怀疑为脓肿。手术过程中,对右顶枕区脓肿内容物进行了穿刺和引流。从脑脓液中分离出包括[具体微生物名称1]和[具体微生物名称2]在内的口腔微生物。对这些患者住院期间应进行全面的影像学和牙科检查。即使没有口腔症状,对于不明原因的脑脓肿也应始终评估根尖周病变情况。

https://cdn.ncbi.nlm.nih.gov/pmc/blobs/0527/12337240/1db8a7d1fee8/cureus-0017-00000087768-i01.jpg

文献检索

告别复杂PubMed语法,用中文像聊天一样搜索,搜遍4000万医学文献。AI智能推荐,让科研检索更轻松。

立即免费搜索

文件翻译

保留排版,准确专业,支持PDF/Word/PPT等文件格式,支持 12+语言互译。

免费翻译文档

深度研究

AI帮你快速写综述,25分钟生成高质量综述,智能提取关键信息,辅助科研写作。

立即免费体验