• 文献检索
  • 文档翻译
  • 深度研究
  • 学术资讯
  • Suppr Zotero 插件Zotero 插件
  • 邀请有礼
  • 套餐&价格
  • 历史记录
应用&插件
Suppr Zotero 插件Zotero 插件浏览器插件Mac 客户端Windows 客户端微信小程序
定价
高级版会员购买积分包购买API积分包
服务
文献检索文档翻译深度研究API 文档MCP 服务
关于我们
关于 Suppr公司介绍联系我们用户协议隐私条款
关注我们

Suppr 超能文献

核心技术专利:CN118964589B侵权必究
粤ICP备2023148730 号-1Suppr @ 2026

文献检索

告别复杂PubMed语法,用中文像聊天一样搜索,搜遍4000万医学文献。AI智能推荐,让科研检索更轻松。

立即免费搜索

文件翻译

保留排版,准确专业,支持PDF/Word/PPT等文件格式,支持 12+语言互译。

免费翻译文档

深度研究

AI帮你快速写综述,25分钟生成高质量综述,智能提取关键信息,辅助科研写作。

立即免费体验

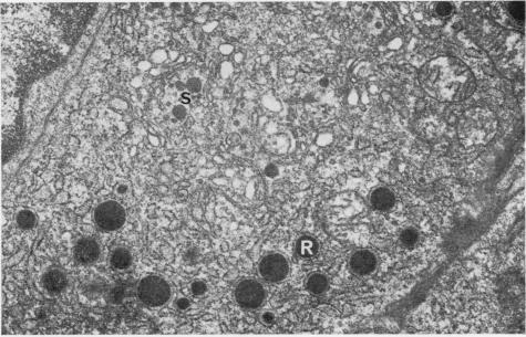
人胃和甲状腺中含拉塞尔小体浆细胞的超微结构

Ultrastructure of plasma cells containing Russell bodies in human stomach and thyroid.

作者信息

Gray A, Doniach I

出版信息

J Clin Pathol. 1970 Oct;23(7):608-12. doi: 10.1136/jcp.23.7.608.

DOI:10.1136/jcp.23.7.608
PMID:4098418
原文链接:https://pmc.ncbi.nlm.nih.gov/articles/PMC476846/
Abstract

The fine structure is illustrated of plasma cells containing Russell bodies. The material is from chronic inflammatory cell infiltrates in human gastric mucosa and thyroid glands in Graves' disease and Hashimoto's thyroiditis. It is noted that the Russell bodies lie in distended cisternae of rough endoplasmic reticulum and are easily distinguished from less electron-dense ;secretory granules' covered by a smooth membrane that are situated in the Golgi complex.

摘要

含拉塞尔小体的浆细胞的精细结构得以呈现。材料取自人类胃黏膜的慢性炎性细胞浸润以及格雷夫斯病和桥本甲状腺炎患者的甲状腺。值得注意的是,拉塞尔小体位于粗面内质网的扩张池内,且易于与位于高尔基体复合体中、被光滑膜覆盖的电子密度较低的“分泌颗粒”区分开来。

https://cdn.ncbi.nlm.nih.gov/pmc/blobs/2959/476846/e89faae81f2f/jclinpath00087-0059-b.jpg
https://cdn.ncbi.nlm.nih.gov/pmc/blobs/2959/476846/b3291321e873/jclinpath00087-0057-a.jpg
https://cdn.ncbi.nlm.nih.gov/pmc/blobs/2959/476846/911a78407fd3/jclinpath00087-0058-a.jpg
https://cdn.ncbi.nlm.nih.gov/pmc/blobs/2959/476846/ab4f3d45c07a/jclinpath00087-0058-b.jpg
https://cdn.ncbi.nlm.nih.gov/pmc/blobs/2959/476846/9ff651a3755c/jclinpath00087-0059-a.jpg
https://cdn.ncbi.nlm.nih.gov/pmc/blobs/2959/476846/e89faae81f2f/jclinpath00087-0059-b.jpg
https://cdn.ncbi.nlm.nih.gov/pmc/blobs/2959/476846/b3291321e873/jclinpath00087-0057-a.jpg
https://cdn.ncbi.nlm.nih.gov/pmc/blobs/2959/476846/911a78407fd3/jclinpath00087-0058-a.jpg
https://cdn.ncbi.nlm.nih.gov/pmc/blobs/2959/476846/ab4f3d45c07a/jclinpath00087-0058-b.jpg
https://cdn.ncbi.nlm.nih.gov/pmc/blobs/2959/476846/9ff651a3755c/jclinpath00087-0059-a.jpg
https://cdn.ncbi.nlm.nih.gov/pmc/blobs/2959/476846/e89faae81f2f/jclinpath00087-0059-b.jpg

相似文献

1
Ultrastructure of plasma cells containing Russell bodies in human stomach and thyroid.人胃和甲状腺中含拉塞尔小体浆细胞的超微结构
J Clin Pathol. 1970 Oct;23(7):608-12. doi: 10.1136/jcp.23.7.608.
2
C cells in Hashimoto's thyroiditis. Ultrastructural and immunohistochemical observations.
Acta Pathol Jpn. 1987 Oct;37(10):1611-20. doi: 10.1111/j.1440-1827.1987.tb02471.x.
3
Thyroid fetal male microchimerisms in mothers with thyroid disorders: presence of Y-chromosomal immunofluorescence in thyroid-infiltrating lymphocytes is more prevalent in Hashimoto's thyroiditis and Graves' disease than in follicular adenomas.患有甲状腺疾病的母亲体内的胎儿男性微嵌合体:甲状腺浸润淋巴细胞中Y染色体免疫荧光的存在在桥本甲状腺炎和格雷夫斯病中比在滤泡性腺瘤中更普遍。
J Clin Endocrinol Metab. 2004 Nov;89(11):5810-4. doi: 10.1210/jc.2004-1049.
4
Intrathyroidal dendritic cells.甲状腺内树突状细胞
J Clin Endocrinol Metab. 1988 Jan;66(1):199-207. doi: 10.1210/jcem-66-1-199.
5
Graves' disease progressing to Hashimoto's thyroiditis.格雷夫斯病进展为桥本甲状腺炎。
JAMA. 1983 Aug 5;250(5):644-5.
6
The electron microscope comparative study of the thyroidian cell in Graves' disease and of the normal human thyroidian cell.格雷夫斯病甲状腺细胞与正常人类甲状腺细胞的电子显微镜对比研究。
Rom J Morphol Embryol. 1992 Jul-Dec;38(1-2):25-8.
7
Ultrastructural features of subacute granulomatous thyroiditis and Hashimoto's disease.
Am J Clin Pathol. 1973 Mar;59(3):327-37. doi: 10.1093/ajcp/59.3.327.
8
Ultrastructure of the thyroid in a case of Hashimoto goitre. (Struma lymphomatosa).桥本甲状腺肿(淋巴细胞性甲状腺炎)一例的甲状腺超微结构
Pathol Eur. 1966;1(1):234-45.
9
Ultrastructural alterations of the follicular basement membrane in Hashimoto's thyroiditis. Report of eight cases with basement deposits.桥本甲状腺炎中滤泡基底膜的超微结构改变。8例伴有基底膜沉积物的报告。
Am J Med. 1973 Oct;55(3):485-91. doi: 10.1016/0002-9343(73)90205-2.
10
[Ultrastructure of the thyroid gland during hyperfunction under normal and pathological conditions].[正常及病理状态下甲状腺功能亢进时的超微结构]
Eksp Med Morfol. 1971;10(3):133-9.

引用本文的文献

1
Localized accumulation of kappa restricted Russell body-containing plasma cells in tonsil.扁桃体中κ受限的含拉塞尔小体浆细胞的局部聚集。
Clin Case Rep. 2019 Aug 9;7(9):1766-1768. doi: 10.1002/ccr3.2372. eCollection 2019 Sep.
2
Russell body gastritis with Dutcher bodies evaluated using magnification endoscopy.使用放大内镜评估伴有达彻小体的拉塞尔小体胃炎。
World J Gastrointest Endosc. 2017 Aug 16;9(8):417-424. doi: 10.4253/wjge.v9.i8.417.
3
Helicobacter pylori-negative Russell body gastritis: does the diagnosis call for screening for plasmacytic malignancies, especially multiple myeloma?

本文引用的文献

1
The Nature of Russell Bodies and Kurloff Bodies: Observations on the Cytochemistry of Plasma Cells and Reticulum Cells.拉塞尔小体和库尔洛夫小体的本质:关于浆细胞和网状细胞细胞化学的观察
J Clin Pathol. 1949 May;2(2):81-90. doi: 10.1136/jcp.2.2.81.
2
Light and electron microscopic correlation of the periodic acid-Schiff reaction in the human plasma cell.人浆细胞中高碘酸-希夫反应的光镜与电镜相关性研究
Am J Pathol. 1962 Mar;40(3):285-96.
3
The fine structure of connective tissue. II. The plasma cell.
幽门螺杆菌阴性的拉塞尔小体胃炎:该诊断是否需要筛查浆细胞恶性肿瘤,尤其是多发性骨髓瘤?
BMJ Case Rep. 2014 Mar 26;2014:bcr2013202672. doi: 10.1136/bcr-2013-202672.
4
Aggregates, crystals, gels, and amyloids: intracellular and extracellular phenotypes at the crossroads of immunoglobulin physicochemical property and cell physiology.聚集体、晶体、凝胶和淀粉样蛋白:处于免疫球蛋白物理化学性质与细胞生理学交叉点的细胞内和细胞外表型。
Int J Cell Biol. 2013;2013:604867. doi: 10.1155/2013/604867. Epub 2013 Mar 5.
5
Russell body gastritis associated with Helicobacter pylori infection: a case report.与幽门螺杆菌感染相关的拉塞尔小体胃炎:一例报告
J Clin Pathol. 2006 Dec;59(12):1316-9. doi: 10.1136/jcp.2005.032185.
6
Selective presence of ubiquitin in intracellular inclusions.泛素在细胞内包涵体中的选择性存在。
Am J Pathol. 1989 Mar;134(3):505-13.
7
Hashimoto's thyroiditis with immunoblastic lymphadenopathy and unusual "macaroni cells".伴有免疫母细胞性淋巴结病及异常“通心粉细胞”的桥本甲状腺炎
Can Med Assoc J. 1977 Jul 9;117(1):41-3.
8
[Electron microscopical investigation of rhinoscleroma (author's transl)].鼻硬结病的电子显微镜研究(作者译)
Arch Dermatol Res (1975). 1975 Dec 31;254(3):263-74. doi: 10.1007/BF00557968.
Exp Mol Pathol. 1962 Dec;1:535-53. doi: 10.1016/0014-4800(62)90041-2.
4
[Contrast phase and electron microscopy study of plasmocytes. III. Plasmocytes with Russell bodies and crystals].
Rev Hematol. 1958 Jan-Mar;13(1):61-78.
5
Observations on the formation and nature of Russell bodies.关于拉塞尔小体的形成及性质的观察
Br J Exp Pathol. 1954 Aug;35(4):365-76.
6
Ultrastructural localization of antibody in differentiating plasma cells.分化浆细胞中抗体的超微结构定位
J Exp Med. 1968 Jan 1;127(1):109-18. doi: 10.1084/jem.127.1.109.