Suppr超能文献

豚鼠皮肤利什曼病的免疫

Immunity in cutaneous leishmaniasis of the guinea-pig.

作者信息

Bryceson A D, Bray R S, Wolstencroft R A, Dumonde D C

出版信息

Clin Exp Immunol. 1970 Sep;7(3):301-41.

Abstract

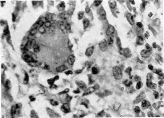
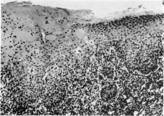
This paper describes the course of infection and development of immunity in guinea-pigs after intradermal inoculation of , and the use of and techniques to characterize the immunological response to infection and artificial immunization. Inoculation of 10 amastigotes into the ear produced a nodule which ulcerated in 2–3 weeks and healed in 8–16 weeks. 8% of animals developed cutaneous metastases which healed with the original lesions. Histology of the primary lesions showed epidermal necrosis overlying a mass of parasitized macrophages which, after 4–6 weeks, became surrounded and infiltrated by lymphocytes. Histological changes in the draining lymph node began after 3 days and proceeded for 6 weeks; both germinal centres and paracortical areas were hyperplastic and the medulla contained many plasma cells. Superinfection produced an `isophasic' lesion, but reinfection after healing elicited only a delayed hypersensitivity response. Artificial immunization with soluble and insoluble antigenic extracts of in Freund's complete adjuvant partially protected against infection; extracts of other leishmanial species failed to protect. Immunological paralysis, attempted with intravenous injections of soluble antigen, increased the severity of subsequent infection. Both infection and immunization were accompanied by delayed hypersensitivity which could be transferred passively by lymphoid cells. Cell-mediated immunity was studied by the ability of soluble leishmanial antigens to transform lymphocytes, to inhibit macrophage migration, and to induce the production of lymphokine factors from lymphocytes of sensitized animals. A target cell system was devised in which sensitized lymphocytes destroyed monolayers of parasitized macrophages. Cross reactivity of leishmanial with mycobacterial antigens was shown in skin tests and in target cell destruction, but not in cell transfer or in the other cell culture systems. The phagocytic activity of peritoneal macrophages from recovered animals was increased for homologous but not for heterologous species of ; the growth of ingested organisms was not however reduced. Circulating antibodies were not demonstrated by passive cutaneous anaphylaxis, or by agglutination of antigen coated sheep erythrocytes, in the sera of infected or convalescent animals, although some convalescent animals showed active cutaneous anaphylaxis. However, antibodies were demonstrated by both these techniques in immunized animals, which also showed anaphylactic and Arthus hypersensitivity when skin tested with the soluble antigens. The results are taken to indicate that cellular mechanisms are prominent in the development of immunity of the guinea-pig against , and ways in which the host may eliminate the parasite are discussed. It is concluded that this model provides an experimental counterpart of human cutaneous leishmaniasis and that it is suitable for the analysis of the role of cell-mediated specific immunity in resistance to intracellular infection.

摘要

本文描述了豚鼠皮内接种后感染的进程及免疫的发展,以及使用[具体技术名称1]和[具体技术名称2]技术来表征对感染和人工免疫的免疫反应。将10个无鞭毛体接种到耳部会产生一个结节,该结节在2 - 3周内溃疡,并在8 - 16周内愈合。8%的动物出现皮肤转移灶,其与原发病灶一同愈合。原发性病变的组织学检查显示,表皮坏死覆盖着大量被寄生的巨噬细胞,4 - 6周后,这些巨噬细胞被淋巴细胞包围并浸润。引流淋巴结的组织学变化在3天后开始,并持续6周;生发中心和皮质旁区域均增生,髓质含有许多浆细胞。重复感染产生“同相”病变,但愈合后再次感染仅引发迟发型超敏反应。用[病原体名称]的可溶性和不溶性抗原提取物在弗氏完全佐剂中进行人工免疫可部分预防感染;其他利什曼原虫物种的提取物则无保护作用。通过静脉注射可溶性抗原试图诱导免疫麻痹,会增加后续感染的严重程度。感染和免疫均伴有迟发型超敏反应,这种反应可由淋巴细胞被动转移。通过可溶性利什曼原虫抗原使淋巴细胞转化、抑制巨噬细胞迁移以及诱导致敏动物淋巴细胞产生淋巴因子的能力来研究细胞介导的免疫。设计了一个靶细胞系统,其中致敏淋巴细胞可破坏被寄生巨噬细胞的单层培养物。利什曼原虫与分枝杆菌抗原在皮肤试验和靶细胞破坏中显示出交叉反应,但在细胞转移或其他细胞培养系统中未显示。康复动物腹腔巨噬细胞对同源但非异源的[病原体名称]的吞噬活性增加;然而,摄入病原体的生长并未受到抑制。在感染或康复动物的血清中,被动皮肤过敏反应或抗原包被的绵羊红细胞凝集试验均未显示循环抗体,尽管一些康复动物表现出主动皮肤过敏反应。然而,在免疫动物中,这两种技术均显示出抗体,这些动物在用可溶性抗原进行皮肤试验时也表现出过敏反应和阿瑟斯超敏反应。这些结果表明细胞机制在豚鼠对[病原体名称]免疫的发展中占主导地位,并讨论了宿主消除寄生虫的方式。得出的结论是,该模型提供了人类皮肤利什曼病的实验对应物,并且适用于分析细胞介导的特异性免疫在抵抗细胞内感染中的作用。

https://cdn.ncbi.nlm.nih.gov/pmc/blobs/486b/1712737/2dec7ec72747/clinexpimmunol00382-0012-a.jpg

文献检索

告别复杂PubMed语法,用中文像聊天一样搜索,搜遍4000万医学文献。AI智能推荐,让科研检索更轻松。

立即免费搜索

文件翻译

保留排版,准确专业,支持PDF/Word/PPT等文件格式,支持 12+语言互译。

免费翻译文档

深度研究

AI帮你快速写综述,25分钟生成高质量综述,智能提取关键信息,辅助科研写作。

立即免费体验