Suppr超能文献

Development of Microbodies in the yeast Kloeckera growing on methanol.

作者信息

Tanaka A, Yasuhara S, Kawamoto S, Fukui S, Osumi M

出版信息

J Bacteriol. 1976 May;126(2):919-27. doi: 10.1128/jb.126.2.919-927.1976.

Abstract

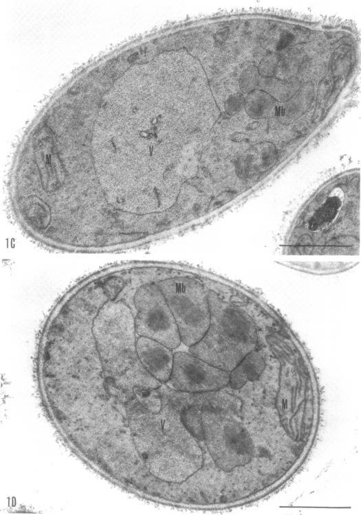
A number of microbodies appear regularly in methanol-grown yeast cells, but rarely in ethanol- or glucose-grown cells. When one of representative methanol-utilizing yeasts, Kloeckera sp.no. 2201 (also known as Candida bodinii), was cultured on glucose and then transferred into a methanol medium, microbodies of small size could be observed in 2-h old cells. The number of microbodies per sectioned cell reached five to six after 4 h of cultivation. Though the number of microbodies did not change during prolonged cultivation, their size became larger with the passage of cultivation time. The activities of catalase and alcohol oxidase were confirmed in the particulate fractions throughout the cultivation period, whereas the activities of formaldehyde dehydrogenase and formate dehydrogenase were not detected in the particles. The activity of isocitrate lyase was detected in the particulate fractions only at the early growth phase.

摘要
https://cdn.ncbi.nlm.nih.gov/pmc/blobs/a6c1/233230/c588e57ea62f/jbacter00318-0369-a.jpg

文献检索

告别复杂PubMed语法,用中文像聊天一样搜索,搜遍4000万医学文献。AI智能推荐,让科研检索更轻松。

立即免费搜索

文件翻译

保留排版,准确专业,支持PDF/Word/PPT等文件格式,支持 12+语言互译。

免费翻译文档

深度研究

AI帮你快速写综述,25分钟生成高质量综述,智能提取关键信息,辅助科研写作。

立即免费体验