Suppr超能文献

蛋清溶菌酶和人溶酶体酶对A组链球菌细胞壁的降解作用。

Degradation of group A streptococcal cell walls by egg-white lysozyme and human lysosomal enzymes.

作者信息

Glick A D, Ranhand J M, Cole R M

出版信息

Infect Immun. 1972 Sep;6(3):403-13. doi: 10.1128/iai.6.3.403-413.1972.

Abstract

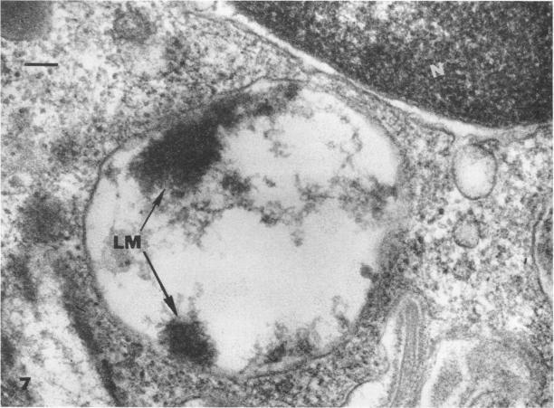
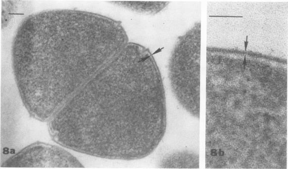
Group A streptococci and their isolated cell walls, normally resistant to egg-white lysozyme and the lysosomal enzymes of human phagocytes, were converted to lysozyme-sensitive forms by partial removal of cell wall carbohydrate, substitution of free amino groups, and by saponification of O-acyl groups. The resultant modified streptococcal cell walls showed rapid degradation when treated with leukocyte granule extract derived from human peripheral blood polymorphonuclear leukocytes and monocytes and when subjected to phagocytosis by living human leukocytes. These results indicate that the factors responsible for lysozyme resistance of the group A cell wall also influence its resistance to human leukocyte granule enzymes and suggest that the chemical composition of the cell wall, in addition to the presence of cell wall carbohydrate, determines this resistance.

摘要

A组链球菌及其分离出的细胞壁通常对蛋清溶菌酶和人类吞噬细胞的溶酶体酶具有抗性,通过部分去除细胞壁碳水化合物、取代游离氨基以及皂化O-酰基,可将其转化为对溶菌酶敏感的形式。当用源自人类外周血多形核白细胞和单核细胞的白细胞颗粒提取物处理时,以及当被活的人类白细胞吞噬时,所得的经修饰的链球菌细胞壁显示出快速降解。这些结果表明,导致A组细胞壁对溶菌酶具有抗性的因素也影响其对人类白细胞颗粒酶的抗性,并表明除了细胞壁碳水化合物的存在外,细胞壁的化学成分决定了这种抗性。

https://cdn.ncbi.nlm.nih.gov/pmc/blobs/0c5f/422548/51f6454960df/iai00273-0195-a.jpg

文献检索

告别复杂PubMed语法,用中文像聊天一样搜索,搜遍4000万医学文献。AI智能推荐,让科研检索更轻松。

立即免费搜索

文件翻译

保留排版,准确专业,支持PDF/Word/PPT等文件格式,支持 12+语言互译。

免费翻译文档

深度研究

AI帮你快速写综述,25分钟生成高质量综述,智能提取关键信息,辅助科研写作。

立即免费体验