Suppr超能文献

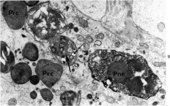
Electron microscopy of the spleen. 3. Erythro-leukophagocytosis.

作者信息

Simon G T, Burke J S

出版信息

Am J Pathol. 1970 Mar;58(3):451-70.

Abstract
摘要
https://cdn.ncbi.nlm.nih.gov/pmc/blobs/433c/2032845/7ab345d1ee35/amjpathol00572-0101-a.jpg

文献AI研究员

20分钟写一篇综述,助力文献阅读效率提升50倍。

立即体验

用中文搜PubMed

大模型驱动的PubMed中文搜索引擎

马上搜索

文档翻译

学术文献翻译模型,支持多种主流文档格式。

立即体验