Suppr超能文献

天然受霉菌毒素污染的发酵和未发酵高粱粉日粮的毒性作用。

Toxic effects of fermented and unfermented sorghum meal diets naturally contaminated with mycotoxins.

作者信息

Kazanas N, Ely R W, Fields M L, Erdman J W

出版信息

Appl Environ Microbiol. 1984 May;47(5):1118-25. doi: 10.1128/aem.47.5.1118-1125.1984.

Abstract

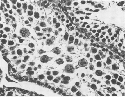
Male weanling rats fed diets containing fermented and unfermented tannin-free sorghum meals naturally contaminated with traces of ochratoxin A, zearalenone, and an unidentified toxic substance developed anorexia. Mean changes in body weight over a 28-day feeding period for rats fed fermented and unfermented sorghum meal and ANCR casein diets of 8% protein were -2.8, +13.8, and +100.5 g, respectively. Rats fed fermented sorghum meal developed alopecia; hematological findings showed a decreased mean corpuscular volume, hypochromic microcytosis, balanced leukopenia, and hypoproteinuria . Histological findings showed testicular hypoplasia of the germinal epithelium and no mature spermatozoa. Necrosis and mineralization in Henle's loop were also observed. No damage was apparent to the liver, cerebellum, cerebrum, spleen, or adrenal glands.

摘要

给雄性断奶大鼠喂食含有天然被微量赭曲霉毒素A、玉米赤霉烯酮和一种不明有毒物质污染的发酵和未发酵无单宁高粱粉的日粮后,大鼠出现厌食。在28天的喂食期内,喂食发酵和未发酵高粱粉以及蛋白质含量为8%的ANCR酪蛋白日粮的大鼠体重平均变化分别为-2.8、+13.8和+100.5克。喂食发酵高粱粉的大鼠出现脱发;血液学检查结果显示平均红细胞体积减小、低色素小红细胞症、白细胞减少和低蛋白尿。组织学检查结果显示生精上皮睾丸发育不全,无成熟精子。还观察到亨利氏袢的坏死和矿化。肝脏、小脑、大脑、脾脏或肾上腺未发现明显损伤。

https://cdn.ncbi.nlm.nih.gov/pmc/blobs/8027/240074/b4250dacfe02/aem00162-0243-a.jpg

文献检索

告别复杂PubMed语法,用中文像聊天一样搜索,搜遍4000万医学文献。AI智能推荐,让科研检索更轻松。

立即免费搜索

文件翻译

保留排版,准确专业,支持PDF/Word/PPT等文件格式,支持 12+语言互译。

免费翻译文档

深度研究

AI帮你快速写综述,25分钟生成高质量综述,智能提取关键信息,辅助科研写作。

立即免费体验