Suppr超能文献

针对哈维鼠肉瘤病毒转化基因和细胞ras基因家族p21产物的单克隆抗体。

Monoclonal antibodies to the p21 products of the transforming gene of Harvey murine sarcoma virus and of the cellular ras gene family.

作者信息

Furth M E, Davis L J, Fleurdelys B, Scolnick E M

出版信息

J Virol. 1982 Jul;43(1):294-304. doi: 10.1128/JVI.43.1.294-304.1982.

Abstract

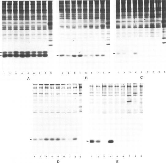
We have isolated eight rat lymphocyte-myeloma hybrid cell lines producing monoclonal antibodies that react with the 21,000-dalton transforming protein (p21) encoded by the v-ras gene of Harvey murine sarcoma virus (Ha-MuSV). These antibodies specifically immunoprecipitate both phosphorylated and non-phosphorylated forms of p21 from lysates of cells transformed by Ha-MuSV. All eight react with the products of closely related ras genes expressed in cells transformed by two additional sarcoma viruses (rat sarcoma virus and BALB sarcoma virus) or by a cellular Harvey-ras gene placed under the control of a viral promoter. Three of the antibodies also react strongly with the p21 encoded by the v-ras gene of Kirsten MuSV. These same three antibodies immunoprecipitate the predominant p21 species synthesized normally in a variety of rodent cell lines, including the p21 produced at high levels in 416B murine hemopoietic cells. This suggests that an endogenous gene closely related to Kirsten-ras is expressed in these cells. The monoclonal antibodies have been used to confirm two properties associated with p21; localization at the inner surface of the membrane of Ha-MuSV-transformed cells, assayed by immunofluorescence microscopy, and binding of guanine nucleotides.

摘要

我们已经分离出8个大鼠淋巴细胞-骨髓瘤杂交细胞系,它们产生的单克隆抗体可与哈维鼠肉瘤病毒(Ha-MuSV)的v-ras基因编码的21,000道尔顿转化蛋白(p21)发生反应。这些抗体能从Ha-MuSV转化的细胞裂解物中特异性免疫沉淀磷酸化和非磷酸化形式的p21。所有这8种抗体都能与另外两种肉瘤病毒(大鼠肉瘤病毒和BALB肉瘤病毒)转化的细胞或由病毒启动子控制的细胞哈维-ras基因表达的密切相关的ras基因产物发生反应。其中3种抗体也能与柯斯顿MuSV的v-ras基因编码的p21强烈反应。同样是这3种抗体能免疫沉淀多种啮齿动物细胞系中正常合成的主要p21种类,包括在416B小鼠造血细胞中高水平产生的p21。这表明在这些细胞中表达了一种与柯斯顿-ras密切相关的内源基因。这些单克隆抗体已被用于证实与p21相关的两个特性;通过免疫荧光显微镜检测,p21定位于Ha-MuSV转化细胞的膜内表面,以及鸟嘌呤核苷酸的结合。

https://cdn.ncbi.nlm.nih.gov/pmc/blobs/cd4b/256120/8ef843020548/jvirol00154-0311-a.jpg

文献检索

告别复杂PubMed语法,用中文像聊天一样搜索,搜遍4000万医学文献。AI智能推荐,让科研检索更轻松。

立即免费搜索

文件翻译

保留排版,准确专业,支持PDF/Word/PPT等文件格式,支持 12+语言互译。

免费翻译文档

深度研究

AI帮你快速写综述,25分钟生成高质量综述,智能提取关键信息,辅助科研写作。

立即免费体验