Suppr超能文献

通过地衣红染色在长期胆汁淤积性肝病中证实一种细胞内铜结合蛋白

Demonstration of an intracellular copper-binding protein by orcein staining in long-standing cholestatic liver diseases.

作者信息

Salaspuro M, Sipponen P

出版信息

Gut. 1976 Oct;17(10):787-90. doi: 10.1136/gut.17.10.787.

Abstract

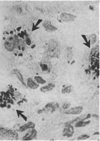
Liver biopsies from eight patients with primary biliary cirrhosis, two with chronic active hepatitis of a cholestatic form, three with long-standing alcoholic liver cirrhosis, and one with extrahepatic biliary obstruction were studied. In each case dark brown cytoplasmic material was seen after staining of the tissue sections with Shikata's orcein method. In exactly the same cellular and subcellular locations as the orcein-positive material, and with morphologically equal granules, two different ordinary staining methods for copper (rubeanic acid and Mallory-Parker's haematoxylin) gave positive reactions. The earlier histochemical findings have revealed the protein nature and high sulphydryl content of the orcein-positive material. Its close association with copper in liver sections suggests its copper-binding nature and indicates that a common copper-protein complex accumulates in the cytoplasm of liver cells during longstanding cholestasis in biliary diseases of various pathogenetic origin.

摘要

对8例原发性胆汁性肝硬化患者、2例胆汁淤积型慢性活动性肝炎患者、3例长期酒精性肝硬化患者和1例肝外胆管梗阻患者的肝脏活检组织进行了研究。在每例患者中,用志方氏orcein法对组织切片染色后,可见深棕色细胞质物质。在与orcein阳性物质完全相同的细胞和亚细胞位置,以及形态相同的颗粒,两种不同的铜常规染色方法(二硫代氨基甲酸盐和马洛里-帕克苏木精)均呈阳性反应。早期的组织化学研究结果揭示了orcein阳性物质的蛋白质性质和高巯基含量。它在肝脏切片中与铜的密切关联表明其具有铜结合性质,并表明在各种致病原因引起的胆汁性疾病的长期胆汁淤积过程中,一种常见的铜蛋白复合物在肝细胞的细胞质中积累。

https://cdn.ncbi.nlm.nih.gov/pmc/blobs/89c6/1411183/7be45919536c/gut00491-0052-a.jpg

文献检索

告别复杂PubMed语法,用中文像聊天一样搜索,搜遍4000万医学文献。AI智能推荐,让科研检索更轻松。

立即免费搜索

文件翻译

保留排版,准确专业,支持PDF/Word/PPT等文件格式,支持 12+语言互译。

免费翻译文档

深度研究

AI帮你快速写综述,25分钟生成高质量综述,智能提取关键信息,辅助科研写作。

立即免费体验