• 文献检索
  • 文档翻译
  • 深度研究
  • 学术资讯
  • Suppr Zotero 插件Zotero 插件
  • 邀请有礼
  • 套餐&价格
  • 历史记录
应用&插件
Suppr Zotero 插件Zotero 插件浏览器插件Mac 客户端Windows 客户端微信小程序
定价
高级版会员购买积分包购买API积分包
服务
文献检索文档翻译深度研究API 文档MCP 服务
关于我们
关于 Suppr公司介绍联系我们用户协议隐私条款
关注我们

Suppr 超能文献

核心技术专利:CN118964589B侵权必究
粤ICP备2023148730 号-1Suppr @ 2026

文献检索

告别复杂PubMed语法,用中文像聊天一样搜索,搜遍4000万医学文献。AI智能推荐,让科研检索更轻松。

立即免费搜索

文件翻译

保留排版,准确专业,支持PDF/Word/PPT等文件格式,支持 12+语言互译。

免费翻译文档

深度研究

AI帮你快速写综述,25分钟生成高质量综述,智能提取关键信息,辅助科研写作。

立即免费体验

胎儿肝脏杂交瘤中免疫球蛋白基因的组织与表达

Organization and expression of immunoglobulin genes in fetal liver hybridomas.

作者信息

Perry R P, Kelley D E, Coleclough C, Kearney J F

出版信息

Proc Natl Acad Sci U S A. 1981 Jan;78(1):247-51. doi: 10.1073/pnas.78.1.247.

DOI:10.1073/pnas.78.1.247
PMID:6787586
原文链接:https://pmc.ncbi.nlm.nih.gov/articles/PMC319029/
Abstract

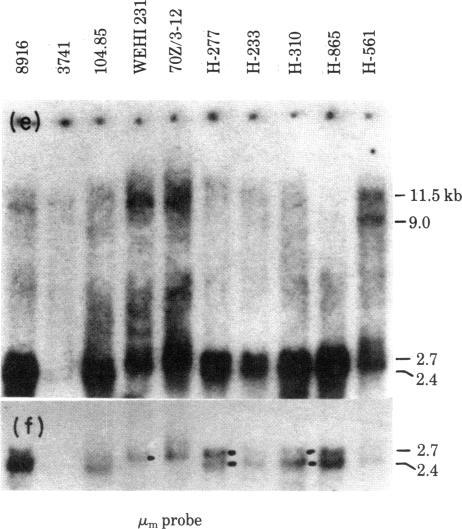
The organization and expression of immunoglobulin genes were studied in a series of six hybridomas derived from the fusion of a nonproducing myeloma cell with cells from mouse fetal liver. These hybridomas, which exhibit several phenotypic characteristics of immature B lymphocytes, all have productively rearranged mu heavy chain genes and produce both the membrane and secreted forms of mu mRNA in a ratio of about 1:10. Significantly, none of the hybridomas has an unrearranged (germ line) allelic mu gene. Examination of the kappa light chain genes revealed that all six of the hybridomas contain unrearranged kappa loci and produce 8.4-kilobase transcripts containing kappa constant region sequences. None of the five hybridomas that exhibit a mu-only phenotype contains a rearranged kappa gene other than that derived from the myeloma parent. One hybridoma, which actively secretes kappa immunoglobulin, contains a rearranged kappa gene of fetal liver origin and synthesizes a distinctive kappa mRNA precursor in addition to the 8.4-kilobase transcript. These results demonstrate that rearrangement of heavy chain immunoglobulin genes normally occurs prior to that of light chain genes and further indicate that the transcriptional competence of the kappa constant region locus is established prior to the time of its rearrangement.

摘要

对一系列六个杂交瘤进行了免疫球蛋白基因的组织和表达研究,这些杂交瘤源自非分泌性骨髓瘤细胞与小鼠胎肝细胞的融合。这些杂交瘤表现出未成熟B淋巴细胞的几种表型特征,均具有重排成功的μ重链基因,并以约1:10的比例产生膜形式和分泌形式的μmRNA。值得注意的是,所有杂交瘤均没有未重排(种系)的等位基因μ基因。对κ轻链基因的检测表明,所有六个杂交瘤均含有未重排的κ基因座,并产生含有κ恒定区序列的8.4千碱基转录本。表现出仅μ表型的五个杂交瘤中,除了源自骨髓瘤亲本的κ基因外,均不含有重排的κ基因。一个活跃分泌κ免疫球蛋白的杂交瘤,含有源自胎肝的重排κ基因,除了8.4千碱基转录本外,还合成一种独特的κmRNA前体。这些结果表明,重链免疫球蛋白基因的重排通常发生在轻链基因重排之前,进一步表明κ恒定区基因座的转录能力在其重排之前就已确立。

https://cdn.ncbi.nlm.nih.gov/pmc/blobs/8ba8/319029/8ad2db2bb13f/pnas00652-0273-a.jpg
https://cdn.ncbi.nlm.nih.gov/pmc/blobs/8ba8/319029/c072621abdf0/pnas00652-0271-a.jpg
https://cdn.ncbi.nlm.nih.gov/pmc/blobs/8ba8/319029/b78afaf28446/pnas00652-0272-a.jpg
https://cdn.ncbi.nlm.nih.gov/pmc/blobs/8ba8/319029/5ee0027a5b3d/pnas00652-0272-b.jpg
https://cdn.ncbi.nlm.nih.gov/pmc/blobs/8ba8/319029/6976e8e5e1ba/pnas00652-0272-c.jpg
https://cdn.ncbi.nlm.nih.gov/pmc/blobs/8ba8/319029/da97713312e7/pnas00652-0272-d.jpg
https://cdn.ncbi.nlm.nih.gov/pmc/blobs/8ba8/319029/8ad2db2bb13f/pnas00652-0273-a.jpg
https://cdn.ncbi.nlm.nih.gov/pmc/blobs/8ba8/319029/c072621abdf0/pnas00652-0271-a.jpg
https://cdn.ncbi.nlm.nih.gov/pmc/blobs/8ba8/319029/b78afaf28446/pnas00652-0272-a.jpg
https://cdn.ncbi.nlm.nih.gov/pmc/blobs/8ba8/319029/5ee0027a5b3d/pnas00652-0272-b.jpg
https://cdn.ncbi.nlm.nih.gov/pmc/blobs/8ba8/319029/6976e8e5e1ba/pnas00652-0272-c.jpg
https://cdn.ncbi.nlm.nih.gov/pmc/blobs/8ba8/319029/da97713312e7/pnas00652-0272-d.jpg
https://cdn.ncbi.nlm.nih.gov/pmc/blobs/8ba8/319029/8ad2db2bb13f/pnas00652-0273-a.jpg

相似文献

1
Organization and expression of immunoglobulin genes in fetal liver hybridomas.胎儿肝脏杂交瘤中免疫球蛋白基因的组织与表达
Proc Natl Acad Sci U S A. 1981 Jan;78(1):247-51. doi: 10.1073/pnas.78.1.247.
2
Immunoglobulin gene rearrangement in immature B cells.未成熟B细胞中的免疫球蛋白基因重排。
Science. 1980 Sep 19;209(4463):1366-9. doi: 10.1126/science.6774416.
3
Inducible transcription of the unrearranged kappa constant region locus is a common feature of pre-B cells and does not require DNA or protein synthesis.未重排的κ恒定区基因座的可诱导转录是前B细胞的一个共同特征,且不需要DNA或蛋白质合成。
Proc Natl Acad Sci U S A. 1985 Aug;82(16):5305-9. doi: 10.1073/pnas.82.16.5305.
4
Transmission and expression of a specific pair of rearranged immunoglobulin mu and kappa genes in a transgenic mouse line.特定重排免疫球蛋白μ和κ基因在转基因小鼠品系中的传递与表达。
Nature. 1985;314(6009):330-4. doi: 10.1038/314330a0.
5
Ig heavy chain protein controls B cell development by regulating germ-line transcription and retargeting V(D)J recombination.免疫球蛋白重链蛋白通过调节种系转录和重新靶向V(D)J重组来控制B细胞发育。
J Immunol. 1994 Aug 15;153(4):1645-57.
6
Cloning and partial nucleotide sequence of human immunoglobulin mu chain cDNA from B cells and mouse-human hybridomas.来自B细胞和小鼠-人杂交瘤的人免疫球蛋白μ链cDNA的克隆及部分核苷酸序列
Proc Natl Acad Sci U S A. 1980 Oct;77(10):6027-31. doi: 10.1073/pnas.77.10.6027.
7
Expression of the immunoglobulin C mu gene in mouse T and B lymphoid and myeloid cell lines.免疫球蛋白Cμ基因在小鼠T和B淋巴细胞系及髓细胞系中的表达。
Proc Natl Acad Sci U S A. 1980 May;77(5):2876-80. doi: 10.1073/pnas.77.5.2876.
8
Allelic variants of rearranged immunoglobulin heavy and light chain genes in hybridoma PTF-02 and parent myeloma.杂交瘤PTF-02和亲本骨髓瘤中重排免疫球蛋白重链和轻链基因的等位基因变体。
Genetica. 1991;85(1):45-51. doi: 10.1007/BF00056105.
9
Feedback inhibition of immunoglobulin gene rearrangement by membrane mu, but not by secreted mu heavy chains.膜型μ链对免疫球蛋白基因重排具有反馈抑制作用,而分泌型μ重链则无此作用。
J Exp Med. 1988 Oct 1;168(4):1363-81. doi: 10.1084/jem.168.4.1363.
10
Mapping of the genes for mouse immunoglobulins M and D.小鼠免疫球蛋白M和D基因的定位
Crit Rev Immunol. 1983;4(2):169-95.

引用本文的文献

1
AIRR Community Guide to Planning and Performing AIRR-Seq Experiments.AIRR 社区 AIRR-Seq 实验规划和执行指南
Methods Mol Biol. 2022;2453:261-278. doi: 10.1007/978-1-0716-2115-8_15.
2
From gene amplification to V(D)J recombination and back: a personal account of my early years in B cell biology.从基因扩增到V(D)J重组,再回归原点:我早年在B细胞生物学领域的亲身经历
Eur J Immunol. 2007 Nov;37 Suppl 1(Suppl 1):S138-47. doi: 10.1002/eji.200737848.
3
Simultaneous expression of mu- and gamma-chain mRNA in cloned murine B-lymphoma cell lines.

本文引用的文献

1
Are snRNPs involved in splicing?小核核糖核蛋白颗粒参与剪接过程吗?
Nature. 1980 Jan 10;283(5743):220-4. doi: 10.1038/283220a0.
2
5' flanking region of immunoglobulin heavy chain constant region genes displays length heterogeneity in germlines of inbred mouse strains.免疫球蛋白重链恒定区基因的5'侧翼区域在近交系小鼠品系的种系中表现出长度多态性。
Cell. 1980 Nov;22(1 Pt 1):187-96. doi: 10.1016/0092-8674(80)90167-1.
3
Two types of somatic recombination are necessary for the generation of complete immunoglobulin heavy-chain genes.产生完整的免疫球蛋白重链基因需要两种类型的体细胞重组。
克隆的小鼠B淋巴瘤细胞系中μ链和γ链mRNA的同时表达。
EMBO J. 1983;2(2):167-72. doi: 10.1002/j.1460-2075.1983.tb01400.x.
4
Stimulation of kappa light-chain gene rearrangement by the immunoglobulin mu heavy chain in a pre-B-cell line.免疫球蛋白μ重链对前B细胞系中κ轻链基因重排的刺激作用。
Mol Cell Biol. 1993 Sep;13(9):5679-90. doi: 10.1128/mcb.13.9.5679-5690.1993.
5
Effect of lipopolysaccharide stimulation on the transcription and translation of messenger RNA for cell surface immunoglobulin M.脂多糖刺激对细胞表面免疫球蛋白M信使核糖核酸转录和翻译的影响。
J Exp Med. 1982 Oct 1;156(4):962-74. doi: 10.1084/jem.156.4.962.
6
Differential regulation of membrane and secretory mu chain synthesis in human beta cell lines. Regulation of membrane mu or secreted mu.人β细胞系中膜结合型和分泌型μ链合成的差异调节。膜结合型μ链或分泌型μ链的调节。
J Exp Med. 1982 Dec 1;156(6):1622-34. doi: 10.1084/jem.156.6.1622.
7
Immunoglobulin isotype expression of normal pre-B cells as determined by immunofluorescence.通过免疫荧光法测定的正常前B细胞的免疫球蛋白同种型表达。
J Clin Immunol. 1982 Oct;2(4):264-9. doi: 10.1007/BF00915065.
8
Biosynthesis and structure of membrane and secretory immunoglobulins.膜免疫球蛋白和分泌型免疫球蛋白的生物合成与结构
Mol Cell Biochem. 1982 Aug 20;47(1):11-22. doi: 10.1007/BF00241561.
9
Mediators from cloned T helper cell lines affect immunoglobulin expression by B cells.来自克隆的辅助性T细胞系的介质影响B细胞的免疫球蛋白表达。
Proc Natl Acad Sci U S A. 1982 Aug;79(15):4756-60. doi: 10.1073/pnas.79.15.4756.
10
Multiple immunoglobulin heavy-chain gene transcripts in Abelson murine leukemia virus-transformed lymphoid cell lines.艾贝尔逊鼠白血病病毒转化的淋巴样细胞系中的多种免疫球蛋白重链基因转录物
Mol Cell Biol. 1982 Apr;2(4):386-400. doi: 10.1128/mcb.2.4.386-400.1982.
Nature. 1980 Aug 14;286(5774):676-83. doi: 10.1038/286676a0.
4
Two mRNAs can be produced from a single immunoglobulin mu gene by alternative RNA processing pathways.通过可变RNA加工途径,可从单个免疫球蛋白μ基因产生两种mRNA。
Cell. 1980 Jun;20(2):313-9. doi: 10.1016/0092-8674(80)90617-0.
5
Two mRNAs with different 3' ends encode membrane-bound and secreted forms of immunoglobulin mu chain.两个具有不同3'末端的mRNA编码免疫球蛋白μ链的膜结合形式和分泌形式。
Cell. 1980 Jun;20(2):303-12. doi: 10.1016/0092-8674(80)90616-9.
6
Synthesis of secreted and membrane-bound immunoglobulin mu heavy chains is directed by mRNAs that differ at their 3' ends.分泌型和膜结合型免疫球蛋白μ重链的合成由3'端不同的mRNA指导。
Cell. 1980 Jun;20(2):293-301. doi: 10.1016/0092-8674(80)90615-7.
7
An immunoglobulin heavy chain variable region gene is generated from three segments of DNA: VH, D and JH.免疫球蛋白重链可变区基因由三段DNA片段组成:VH、D和JH。
Cell. 1980 Apr;19(4):981-92. doi: 10.1016/0092-8674(80)90089-6.
8
Transcription of mouse kappa chain genes: implications for allelic exclusion.小鼠κ链基因的转录:对等位基因排斥的影响。
Proc Natl Acad Sci U S A. 1980 Apr;77(4):1937-41. doi: 10.1073/pnas.77.4.1937.
9
Rearrangement of immunoglobulin heavy chain genes during B-lymphocyte development as revealed by studies of mouse plasmacytoma cells.通过对小鼠浆细胞瘤细胞的研究揭示B淋巴细胞发育过程中免疫球蛋白重链基因的重排。
Proc Natl Acad Sci U S A. 1980 Mar;77(3):1422-6. doi: 10.1073/pnas.77.3.1422.
10
Mouse pre-B cells synthesize and secrete mu heavy chains but not light chains.小鼠前B细胞合成并分泌μ重链,但不分泌轻链。
Cell. 1980 Mar;19(3):617-25. doi: 10.1016/s0092-8674(80)80038-9.