• 文献检索
  • 文档翻译
  • 深度研究
  • 学术资讯
  • Suppr Zotero 插件Zotero 插件
  • 邀请有礼
  • 套餐&价格
  • 历史记录
应用&插件
Suppr Zotero 插件Zotero 插件浏览器插件Mac 客户端Windows 客户端微信小程序
定价
高级版会员购买积分包购买API积分包
服务
文献检索文档翻译深度研究API 文档MCP 服务
关于我们
关于 Suppr公司介绍联系我们用户协议隐私条款
关注我们

Suppr 超能文献

核心技术专利:CN118964589B侵权必究
粤ICP备2023148730 号-1Suppr @ 2026

文献检索

告别复杂PubMed语法,用中文像聊天一样搜索,搜遍4000万医学文献。AI智能推荐,让科研检索更轻松。

立即免费搜索

文件翻译

保留排版,准确专业,支持PDF/Word/PPT等文件格式,支持 12+语言互译。

免费翻译文档

深度研究

AI帮你快速写综述,25分钟生成高质量综述,智能提取关键信息,辅助科研写作。

立即免费体验

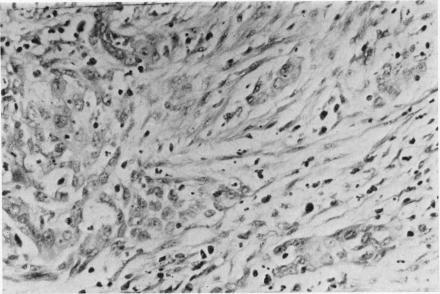
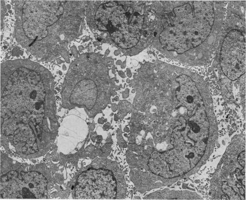
源自人移行细胞癌的细胞系的超微结构、核型分析及免疫学研究

Ultrastructure, karyology and immunology of a cell line originated from a human transitional-cell carcinoma.

作者信息

O'Toole C, Price Z H, Ohnuki Y, Unsgaard B

出版信息

Br J Cancer. 1978 Jul;38(1):64-76. doi: 10.1038/bjc.1978.164.

DOI:10.1038/bjc.1978.164
PMID:687519
原文链接:https://pmc.ncbi.nlm.nih.gov/articles/PMC2009694/
Abstract

A cell line (J82) was derived from a poorly differentiated, invasive, transitional-cell carcinoma, Stage T3. The cells have been propagated in vitro for 5 years and showed 100% aneuploidy and a mixed epithelial-fibroblastic morphology. The majority of cells contained 2Y chromosomes and several distinctive markers. Peripheral-blood lymphocytes from the donor of the J82 cells were tested sequentially for cytotoxicity toward autologous and allogeneic tumour cells. Autologous cytotoxicity was detected against J82 cells in early in vitro passage. Allogeneic lymphocytes from some patients with transitional-cell carcinoma were also cytotoxic to J82 cells in primary culture. However, selective cytotoxicity by lymphoid cells from bladder-carcinoma patients was not detected against J82 cells in long-term tissue culture.

摘要

一种细胞系(J82)源自一名T3期低分化浸润性移行细胞癌患者。这些细胞已在体外传代培养5年,显示出100%的非整倍体特征以及上皮-成纤维细胞混合形态。大多数细胞含有两条Y染色体以及几个独特的标志物。对J82细胞供体的外周血淋巴细胞针对自体和异体肿瘤细胞的细胞毒性进行了连续检测。在体外传代早期检测到了针对J82细胞的自体细胞毒性。一些移行细胞癌患者的异体淋巴细胞对原代培养中的J82细胞也具有细胞毒性。然而,未检测到膀胱癌患者的淋巴细胞对长期组织培养中的J82细胞具有选择性细胞毒性。

https://cdn.ncbi.nlm.nih.gov/pmc/blobs/d7a8/2009694/2e749d2609fd/brjcancer00153-0076-a.jpg
https://cdn.ncbi.nlm.nih.gov/pmc/blobs/d7a8/2009694/4f48ea0fe8ce/brjcancer00153-0067-a.jpg
https://cdn.ncbi.nlm.nih.gov/pmc/blobs/d7a8/2009694/c2644234f4a0/brjcancer00153-0067-b.jpg
https://cdn.ncbi.nlm.nih.gov/pmc/blobs/d7a8/2009694/7c56c00435d6/brjcancer00153-0068-a.jpg
https://cdn.ncbi.nlm.nih.gov/pmc/blobs/d7a8/2009694/2b90717c6ee5/brjcancer00153-0069-a.jpg
https://cdn.ncbi.nlm.nih.gov/pmc/blobs/d7a8/2009694/93e0923131a4/brjcancer00153-0070-a.jpg
https://cdn.ncbi.nlm.nih.gov/pmc/blobs/d7a8/2009694/3aaa1f9db9ba/brjcancer00153-0072-a.jpg
https://cdn.ncbi.nlm.nih.gov/pmc/blobs/d7a8/2009694/dc5af6cf94e0/brjcancer00153-0074-a.jpg
https://cdn.ncbi.nlm.nih.gov/pmc/blobs/d7a8/2009694/2e749d2609fd/brjcancer00153-0076-a.jpg
https://cdn.ncbi.nlm.nih.gov/pmc/blobs/d7a8/2009694/4f48ea0fe8ce/brjcancer00153-0067-a.jpg
https://cdn.ncbi.nlm.nih.gov/pmc/blobs/d7a8/2009694/c2644234f4a0/brjcancer00153-0067-b.jpg
https://cdn.ncbi.nlm.nih.gov/pmc/blobs/d7a8/2009694/7c56c00435d6/brjcancer00153-0068-a.jpg
https://cdn.ncbi.nlm.nih.gov/pmc/blobs/d7a8/2009694/2b90717c6ee5/brjcancer00153-0069-a.jpg
https://cdn.ncbi.nlm.nih.gov/pmc/blobs/d7a8/2009694/93e0923131a4/brjcancer00153-0070-a.jpg
https://cdn.ncbi.nlm.nih.gov/pmc/blobs/d7a8/2009694/3aaa1f9db9ba/brjcancer00153-0072-a.jpg
https://cdn.ncbi.nlm.nih.gov/pmc/blobs/d7a8/2009694/dc5af6cf94e0/brjcancer00153-0074-a.jpg
https://cdn.ncbi.nlm.nih.gov/pmc/blobs/d7a8/2009694/2e749d2609fd/brjcancer00153-0076-a.jpg

相似文献

1
Ultrastructure, karyology and immunology of a cell line originated from a human transitional-cell carcinoma.源自人移行细胞癌的细胞系的超微结构、核型分析及免疫学研究
Br J Cancer. 1978 Jul;38(1):64-76. doi: 10.1038/bjc.1978.164.
2
A cell line from an anaplastic transitional cell carcinoma of human urinary bladder.一株源自人膀胱间变性移行细胞癌的细胞系。
Br J Cancer. 1977 Feb;35(2):142-51. doi: 10.1038/bjc.1977.21.
3
Establishment and characterization of a new human urinary bladder carcinoma cell line (PS-1).一种新的人膀胱癌细胞系(PS-1)的建立与鉴定
Invest Urol. 1978 Nov;16(3):246-52.
4
A human tissue culture cell line from a transitional cell tumour of the urinary bladder: growth, chromosone pattern and ultrastructure.一株源自膀胱移行细胞肿瘤的人组织培养细胞系:生长、染色体模式及超微结构
Br J Cancer. 1970 Dec;24(4):746-54. doi: 10.1038/bjc.1970.89.
5
Antigen(s) on human transitional cell carcinoma detected by a xenogeneic antiserum.一种异种抗血清检测到的人移行细胞癌上的抗原。
Urol Res. 1977;5(3):141-8. doi: 10.1007/BF00256868.
6
Transitional cell carcinoma: lymphocyte-mediated cytotoxicity.移行细胞癌:淋巴细胞介导的细胞毒性。
Natl Cancer Inst Monogr. 1978 Dec(49):85-7.
7
Characterization of a transitional cell carcinoma line arising from a previously irradiated tumor.一株源自先前接受过放疗的肿瘤的移行细胞癌系的特征描述。
J Urol. 1984 Sep;132(3):606-8. doi: 10.1016/s0022-5347(17)49758-8.
8
Characterization of cell-mediated cytolytic mechanisms against human transitional cell carcinoma line, 253J.针对人移行细胞癌系253J的细胞介导细胞溶解机制的特征分析
Immunology. 1980 Jan;39(1):119-25.
9
Immunologic evaluation of human bladder cancer: in vitro studies.
Cancer. 1975 Feb;35(2):419-31. doi: 10.1002/1097-0142(197502)35:2<419::aid-cncr2820350218>3.0.co;2-r.
10
In vitro generation of cytotoxic lymphocytes by tumor extracts of transitional cell carcinoma.通过移行细胞癌肿瘤提取物在体外生成细胞毒性淋巴细胞。
Natl Cancer Inst Monogr. 1978 Dec(49):173-4.

引用本文的文献

1
Quantitative functional profiling of ERCC2 mutations deciphers cisplatin sensitivity in bladder cancer.ERCC2 突变的定量功能分析揭示膀胱癌对顺铂的敏感性
J Clin Invest. 2025 Aug 15;135(16). doi: 10.1172/JCI186688.
2
Synergistic Combination of Quercetin and Mafosfamide in Treatment of Bladder Cancer Cells.槲皮素和 mafosfamide 联合治疗膀胱癌细胞。
Molecules. 2024 Oct 31;29(21):5176. doi: 10.3390/molecules29215176.
3
Downregulation of the keratins CK13 and CK14 does not significantly affect cell viability of human urinary bladder carcinoma cells.

本文引用的文献

1
Electron microscopy of oral cells in vitro. I. Annulate lamellae observed in strain KB cells.体外口腔细胞的电子显微镜观察。I. 在KB细胞系中观察到的环孔板层
J Cell Biol. 1967 Sep;34(3):897-901. doi: 10.1083/jcb.34.3.897.
2
A human tissue culture cell line from a transitional cell tumour of the urinary bladder: growth, chromosone pattern and ultrastructure.一株源自膀胱移行细胞肿瘤的人组织培养细胞系:生长、染色体模式及超微结构
Br J Cancer. 1970 Dec;24(4):746-54. doi: 10.1038/bjc.1970.89.
3
Electron microscopy of oral cells in vitro. II. Subsurface and intracytoplasmic confronting cisternae in strain KB cells.
角蛋白CK13和CK14的下调对人膀胱癌细胞的细胞活力没有显著影响。
Contemp Oncol (Pozn). 2024;28(3):227-234. doi: 10.5114/wo.2024.144215. Epub 2024 Oct 15.
4
Macrophages directly kill bladder cancer cells through TNF signaling as an early response to BCG therapy.巨噬细胞通过肿瘤坏死因子(TNF)信号通路直接杀死膀胱癌细胞,作为对卡介苗(BCG)治疗的早期反应。
Dis Model Mech. 2024 Aug 1;17(8). doi: 10.1242/dmm.050693. Epub 2024 Aug 8.
5
Phenolic Extract from Extra Virgin Olive Oil Induces Different Anti-Proliferative Pathways in Human Bladder Cancer Cell Lines.特级初榨橄榄油中的酚类提取物诱导人膀胱癌细胞系产生不同的抗增殖途径。
Nutrients. 2022 Dec 30;15(1):182. doi: 10.3390/nu15010182.
6
Targeting Bladder Urothelial Carcinoma with pHLIP-ICG and Inhibition of Urothelial Cancer Cell Proliferation by pHLIP-amanitin.用pH敏感脂质体-吲哚菁绿靶向膀胱尿路上皮癌及用pH敏感脂质体-鹅膏蕈碱抑制尿路上皮癌细胞增殖
Front Urol. 2022;2. doi: 10.3389/fruro.2022.868919. Epub 2022 Aug 24.
7
Repression of the PRELP gene is relieved by histone deacetylase inhibitors through acetylation of histone H2B lysine 5 in bladder cancer.组蛋白去乙酰化酶抑制剂通过组蛋白 H2B 赖氨酸 5 的乙酰化来缓解膀胱癌中 PRELP 基因的抑制。
Clin Epigenetics. 2022 Nov 12;14(1):147. doi: 10.1186/s13148-022-01370-z.
8
Vδ2 T cells are associated with favorable clinical outcomes in patients with bladder cancer and their tumor reactivity can be boosted by BCG and zoledronate treatments.Vδ2 T 细胞与膀胱癌患者的良好临床结果相关,其肿瘤反应性可以通过卡介苗和唑来膦酸治疗来增强。
J Immunother Cancer. 2022 Aug;10(8). doi: 10.1136/jitc-2022-004880.
9
Molecular characterization of type I IFN-induced cytotoxicity in bladder cancer cells reveals biomarkers of resistance.膀胱癌细胞中I型干扰素诱导的细胞毒性的分子特征揭示了耐药生物标志物。
Mol Ther Oncolytics. 2021 Nov 12;23:547-559. doi: 10.1016/j.omto.2021.11.006. eCollection 2021 Dec 17.
10
The oncogenic role of the cerebral endothelial cell adhesion molecule (CERCAM) in bladder cancer cells in vitro and in vivo.脑内皮细胞黏附分子(CERCAM)在膀胱癌细胞中的致癌作用,在体外和体内。
Cancer Med. 2021 Jul;10(13):4437-4450. doi: 10.1002/cam4.3955. Epub 2021 Jun 8.
口腔细胞体外的电子显微镜观察。II. KB 细胞系中的亚表面和胞质内相对池
J Cell Biol. 1968 Mar;36(3):443-52. doi: 10.1083/jcb.36.3.443.
4
The cellular immune response to carcinoma of the urinary bladder: correlation to clinical stage and treatment.膀胱癌的细胞免疫反应:与临床分期及治疗的相关性
Br J Cancer Suppl. 1973 Aug;1:266-75.
5
Chromosome constitution of transitional cell carcinoma of the urinary bladder.膀胱移行细胞癌的染色体构成
Cancer. 1972 May;29(5):1401-12. doi: 10.1002/1097-0142(197205)29:5<1401::aid-cncr2820290543>3.0.co;2-0.
6
Lymphoid cells mediating tumor-specific cytotoxicity to carcinoma of the urinary bladder. Separation of the effector population using a surface marker.介导对膀胱癌肿瘤特异性细胞毒性的淋巴细胞。利用表面标志物分离效应细胞群体。
J Exp Med. 1974 Mar 1;139(3):457-66. doi: 10.1084/jem.139.3.457.
7
Banded marker chromosomes as indicators of intraspecies cellular contamination.带型标记染色体作为种内细胞污染的指标。
Science. 1974 Jun 7;184(4141):1093-6. doi: 10.1126/science.184.4141.1093.
8
Established cell line of urinary bladder carcinoma (T24) containing tumour-specific antigen.建立的含有肿瘤特异性抗原的膀胱癌细胞系(T24)。
Int J Cancer. 1973 May;11(3):765-73. doi: 10.1002/ijc.2910110327.
9
Y bodies and similar fluorescent chromocentres in human tumours including teratomata.人体肿瘤(包括畸胎瘤)中的Y小体及类似的荧光染色中心。
Br J Cancer. 1973 Feb;27(2):183-9. doi: 10.1038/bjc.1973.22.
10
The influence of tumour burden and therapy on cellular cytotoxicity responses in patients with ocular and skin melanoma.肿瘤负荷和治疗对眼和皮肤黑色素瘤患者细胞毒性反应的影响。
Br J Cancer. 1975 Mar;31(3):301-16. doi: 10.1038/bjc.1975.65.