Suppr超能文献

由侵袭上皮细胞的大肠杆菌引起的仓鼠(金黄仓鼠)肠炎。

Hamster (Mesocricetus auratus) enteritis caused by epithelial cell-invasive Escherichia coli.

作者信息

Frisk C S, Wagner J E, Owens D R

出版信息

Infect Immun. 1981 Mar;31(3):1232-8. doi: 10.1128/iai.31.3.1232-1238.1981.

Abstract

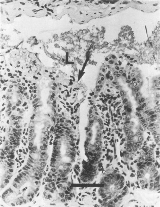
When inoculated orally, Escherichia coli strain 1056 caused acute enteritis in 7 of 22 weanling hamsters. E. coli strain 1056 was isolated from the ileum of a hamster with proliferative ileitis. It was lactose negative, nonmotile, and anaerogenic. By electron microscopy and indirect fluorescent-antibody techniques, E. coli strain 1056 was detected in absorptive epithelial cells, resembling invasive E. coli and shigella infections of other species. Ileitis did not progress to epithelial cell hyperplasia, which is characteristic of proliferative ileitis of hamsters. A control group of 10 hamsters, inoculated with nonenteropathogenic E. coli isolated from a normal hamster, did not develop signs or lesions.

摘要

经口接种时,大肠杆菌菌株1056在22只断奶仓鼠中的7只引发了急性肠炎。大肠杆菌菌株1056是从一只患有增生性回肠炎的仓鼠的回肠中分离出来的。它乳糖阴性、无运动性且不产气。通过电子显微镜和间接荧光抗体技术,在吸收性上皮细胞中检测到了大肠杆菌菌株1056,这类似于其他物种的侵袭性大肠杆菌和志贺氏菌感染。回肠炎并未发展为上皮细胞增生,而上皮细胞增生是仓鼠增生性回肠炎的特征。一组10只仓鼠的对照组接种了从正常仓鼠分离出的非致病性大肠杆菌,未出现症状或病变。

https://cdn.ncbi.nlm.nih.gov/pmc/blobs/a490/351447/fee5a88b3311/iai00167-0400-a.jpg

文献检索

告别复杂PubMed语法,用中文像聊天一样搜索,搜遍4000万医学文献。AI智能推荐,让科研检索更轻松。

立即免费搜索

文件翻译

保留排版,准确专业,支持PDF/Word/PPT等文件格式,支持 12+语言互译。

免费翻译文档

深度研究

AI帮你快速写综述,25分钟生成高质量综述,智能提取关键信息,辅助科研写作。

立即免费体验