Hicks R M, Wright R, Wakefield J S
Br J Cancer. 1982 Oct;46(4):646-61. doi: 10.1038/bjc.1982.250.
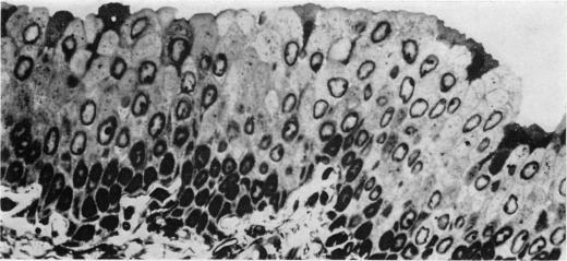
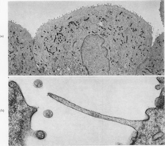
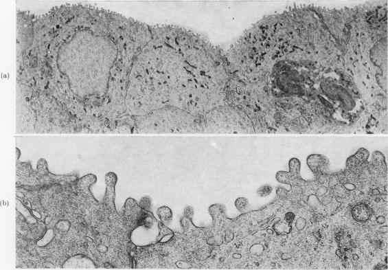
The widely held belief that 2-naphthylamine is not carcinogenic for the rat has been re-examined. Twenty female Wistar rats were dosed by gastric intubation weekly for 57 weeks with 2-naphthylamine, 300 mg/kg body wt, in arachis oil and 20 controls were given arachis oil alone. Animals which became moribund were killed during the course of the experiment and the remainder after 100 weeks. A 2-naphthylamine-treated animal died at 21 weeks; all others survived 57 weeks or longer. The urinary tracts of all but two 2-naphthylamine-treated animals, which were found dead and cannibalized, were examined histologically.No neoplastic disease of the urinary tract was present in control animals. In 10 of the 2-naphthylamine-treated rats there was neither neoplasia nor hyperplasia of the urothelium, but 4 of the 18 examined histologically had large, macroscopically visible bladder cancers; one of these also had bilateral transitional cell tumours of the kidney calyces and multiple tumours in both ureters. Another animal had bilateral urothelial cancers in the ureters. The histology and ultrastructure of these urothelial cancers were comparable to those of rat transitional-cell carcinomas experimentally induced with other chemical carcinogens.These results, considered in the context both of early and more recently published biochemical studies of 2-naphthylamine metabolism in the rat, support the possibility that production of the active carcinogenic metabolite in this species may be influenced by a pH-dependent, non-enzymic mechanism in the urine, which could account for individual, strain- and diet-related variations in response in the rat.
人们普遍认为2-萘胺对大鼠无致癌性,这一观点已被重新审视。20只雌性Wistar大鼠每周经胃插管给予溶于花生油中的2-萘胺,剂量为300mg/kg体重,持续57周,另外20只作为对照,仅给予花生油。在实验过程中,濒死的动物被处死,其余动物在100周后处死。一只经2-萘胺处理的动物在21周时死亡;其他所有动物均存活57周或更长时间。除两只被发现死亡并被同类相食的经2-萘胺处理的动物外,对所有动物的泌尿道进行了组织学检查。对照动物未出现泌尿道肿瘤性疾病。在18只经组织学检查的经2-萘胺处理的大鼠中,10只既没有尿路上皮瘤形成也没有增生,但其中4只出现了肉眼可见的大膀胱癌;其中一只还患有双侧肾盏移行细胞肿瘤以及双侧输尿管多发性肿瘤。另一只动物双侧输尿管出现尿路上皮癌。这些尿路上皮癌的组织学和超微结构与用其他化学致癌物实验诱导的大鼠移行细胞癌相似。结合大鼠2-萘胺代谢的早期和近期发表的生化研究结果来看,这些结果支持这样一种可能性,即该物种中活性致癌代谢物的产生可能受尿液中pH依赖的非酶机制影响,这可以解释大鼠个体、品系和饮食相关的反应差异。