Suppr超能文献

慢性活动性肝炎中与肝细胞接触的白细胞的定量超微结构分析,单核吞噬细胞的细胞化学检测。

A quantitative ultrastructural analysis of the leukocytes in contact with hepatocytes in chronic active hepatitis, with a cytochemical detection of mononuclear phagocytes.

作者信息

Bernuau D, Rogier E, Feldmann G

出版信息

Am J Pathol. 1982 Dec;109(3):310-20.

Abstract

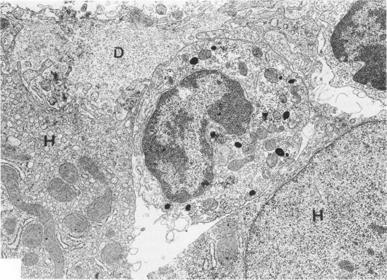
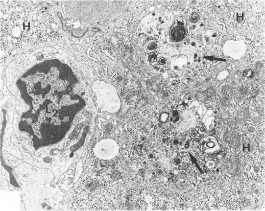
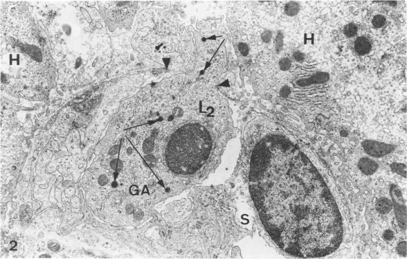
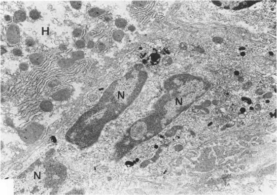
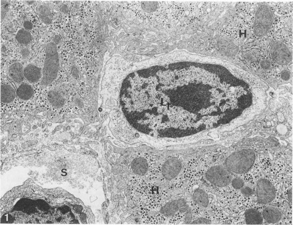
In an attempt to characterize in vivo the immune cells cytotoxic to hepatocytes in patients with chronic active hepatitis (CAH), a quantitative ultrastructural analysis of leukocytes in close contact with hepatocytes was performed in 13 patients with untreated HBsAg-negative CAH. Mononuclear phagocytes were identified by detection of endogenous peroxidase. Of the leukocytes, 8.3-4.1% were mononuclear phagocytes, 12.5-25.8% were large lymphocytes with a prominent secretory apparatus, assumed to represent mostly killer cells (T-cytotoxic cells and/or null cells), 12.2-56.8% were small lymphocytes poor in cytoplasmic organelles, and 0-45.8% were plasma cells. Patients with high serum transaminase levels had significantly more mononuclear phagocytes (P less than 0.001) and significantly fewer plasma cells (P less than 0.001) and small lymphocytes (P less than 0.001) than patients with lower disease activity. The profile of the leukocytes in contact with hepatocytes in these CAH patients suggests that mononuclear phagocyte-mediated mechanisms play an important role in hepatocyte necrosis in vivo.

摘要

为了在体内鉴定慢性活动性肝炎(CAH)患者中对肝细胞具有细胞毒性的免疫细胞,对13例未经治疗的HBsAg阴性CAH患者中与肝细胞紧密接触的白细胞进行了定量超微结构分析。通过检测内源性过氧化物酶来识别单核吞噬细胞。在白细胞中,8.3 - 4.1%是单核吞噬细胞,12.5 - 25.8%是具有突出分泌装置的大淋巴细胞,推测主要代表杀伤细胞(T细胞毒性细胞和/或裸细胞),12.2 - 56.8%是细胞质细胞器较少的小淋巴细胞,0 - 45.8%是浆细胞。血清转氨酶水平高的患者比疾病活动度较低的患者具有明显更多的单核吞噬细胞(P < 0.001),明显更少的浆细胞(P < 0.001)和小淋巴细胞(P < 0.001)。这些CAH患者中与肝细胞接触的白细胞谱表明,单核吞噬细胞介导的机制在体内肝细胞坏死中起重要作用。

https://cdn.ncbi.nlm.nih.gov/pmc/blobs/659f/1916106/19e1a4a4951d/amjpathol00201-0064-a.jpg

文献检索

告别复杂PubMed语法,用中文像聊天一样搜索,搜遍4000万医学文献。AI智能推荐,让科研检索更轻松。

立即免费搜索

文件翻译

保留排版,准确专业,支持PDF/Word/PPT等文件格式,支持 12+语言互译。

免费翻译文档

深度研究

AI帮你快速写综述,25分钟生成高质量综述,智能提取关键信息,辅助科研写作。

立即免费体验