• 文献检索
  • 文档翻译
  • 深度研究
  • 学术资讯
  • Suppr Zotero 插件Zotero 插件
  • 邀请有礼
  • 套餐&价格
  • 历史记录
应用&插件
Suppr Zotero 插件Zotero 插件浏览器插件Mac 客户端Windows 客户端微信小程序
定价
高级版会员购买积分包购买API积分包
服务
文献检索文档翻译深度研究API 文档MCP 服务
关于我们
关于 Suppr公司介绍联系我们用户协议隐私条款
关注我们

Suppr 超能文献

核心技术专利:CN118964589B侵权必究
粤ICP备2023148730 号-1Suppr @ 2026

文献检索

告别复杂PubMed语法,用中文像聊天一样搜索,搜遍4000万医学文献。AI智能推荐,让科研检索更轻松。

立即免费搜索

文件翻译

保留排版,准确专业,支持PDF/Word/PPT等文件格式,支持 12+语言互译。

免费翻译文档

深度研究

AI帮你快速写综述,25分钟生成高质量综述,智能提取关键信息,辅助科研写作。

立即免费体验

三甲基锡神经毒性的发病机制。超微结构和细胞化学观察。

Pathogenesis of trimethyltin neuronal toxicity. Ultrastructural and cytochemical observations.

作者信息

Bouldin T W, Goines N D, Bagnell R C, Krigman M R

出版信息

Am J Pathol. 1981 Sep;104(3):237-49.

PMID:7294153
原文链接:https://pmc.ncbi.nlm.nih.gov/articles/PMC1903784/
Abstract

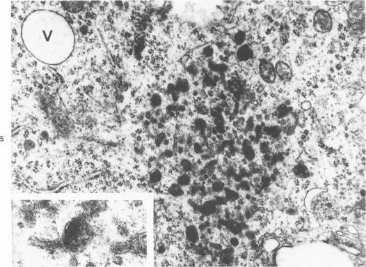
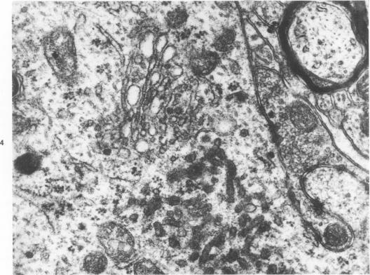
The ultrastructural cytopathologic and cytochemical effects of trimethyltin (TMT) neurotoxicity were delineated in hippocampal and pyriform neurons of acutely intoxicated adult rats. TMT produced neuronal necrosis that preferentially involved hippocampal formation pyriform cortex. The first subcellular alterations were multifocal collection of dense-cored vesicles and tubules and membrane-delimited vacuoles in the cytoplasm of the perikaryon and proximal dendrite. Ultrastructural cytochemical examination revealed that the vesicles and tubules had acid phosphatase activity analagous to Golgi-associated endoplasmic reticulum (GERL). Shortly after the appearance of the GERL-like vesicles and tubules, autophagic vacuoles and polymorphic dense bodies accumulated in the neuronal cytoplasm. Some dense bodies appeared to arise from the dense-cored tubules. Neuronal necrosis was characterized by increased electron density of the cytoplasm and large, electron-dense intranuclear masses. Alterations of mitochondria and other organelles were not observed in the early stages of cell injury. No light- or electron-microscopic alterations were found in liver or kidney. Comparable subcellular alterations were observed in adult and neonatal rats chronically intoxicated with TMT. A series of other trialkyl and tricyclic tins and dimethyltin did not produce similar pathologic findings. The GERL-like accumulations are unique in neuronal cytopathology. These findings suggests that GERL and autophagy play an important role in the pathogenesis of TMT-induced neuronal injury.

摘要

在急性中毒成年大鼠的海马和梨状神经元中,描述了三甲基锡(TMT)神经毒性的超微结构细胞病理学和细胞化学效应。TMT导致神经元坏死,主要累及海马结构和梨状皮质。最初的亚细胞改变是在核周体和近端树突的细胞质中出现多灶性密集核心囊泡、小管和膜界定的空泡。超微结构细胞化学检查显示,这些囊泡和小管具有酸性磷酸酶活性,类似于高尔基相关内质网(GERL)。在类似GERL的囊泡和小管出现后不久,自噬空泡和多形性致密体在神经元细胞质中积累。一些致密体似乎起源于密集核心小管。神经元坏死的特征是细胞质电子密度增加和大的、电子致密的核内团块。在细胞损伤的早期阶段未观察到线粒体和其他细胞器的改变。在肝脏或肾脏中未发现光镜或电镜改变。在慢性中毒的成年和新生大鼠中观察到类似的亚细胞改变。一系列其他三烷基和三环锡以及二甲基锡未产生类似的病理结果。类似GERL的聚集在神经元细胞病理学中是独特的。这些发现表明,GERL和自噬在TMT诱导的神经元损伤发病机制中起重要作用。

https://cdn.ncbi.nlm.nih.gov/pmc/blobs/27ef/1903784/07622544cb28/amjpathol00216-0060-b.jpg
https://cdn.ncbi.nlm.nih.gov/pmc/blobs/27ef/1903784/24bfd9a4716e/amjpathol00216-0053-a.jpg
https://cdn.ncbi.nlm.nih.gov/pmc/blobs/27ef/1903784/b663f3071bba/amjpathol00216-0053-b.jpg
https://cdn.ncbi.nlm.nih.gov/pmc/blobs/27ef/1903784/3ab637f9f200/amjpathol00216-0054-a.jpg
https://cdn.ncbi.nlm.nih.gov/pmc/blobs/27ef/1903784/12281f3c0568/amjpathol00216-0056-a.jpg
https://cdn.ncbi.nlm.nih.gov/pmc/blobs/27ef/1903784/19baff03a8a2/amjpathol00216-0056-b.jpg
https://cdn.ncbi.nlm.nih.gov/pmc/blobs/27ef/1903784/d83a51a3d0bd/amjpathol00216-0057-a.jpg
https://cdn.ncbi.nlm.nih.gov/pmc/blobs/27ef/1903784/5eeedd34af85/amjpathol00216-0057-b.jpg
https://cdn.ncbi.nlm.nih.gov/pmc/blobs/27ef/1903784/b99d76d95157/amjpathol00216-0059-a.jpg
https://cdn.ncbi.nlm.nih.gov/pmc/blobs/27ef/1903784/34bd0773463a/amjpathol00216-0059-b.jpg
https://cdn.ncbi.nlm.nih.gov/pmc/blobs/27ef/1903784/9d7a994945ee/amjpathol00216-0060-a.jpg
https://cdn.ncbi.nlm.nih.gov/pmc/blobs/27ef/1903784/07622544cb28/amjpathol00216-0060-b.jpg
https://cdn.ncbi.nlm.nih.gov/pmc/blobs/27ef/1903784/24bfd9a4716e/amjpathol00216-0053-a.jpg
https://cdn.ncbi.nlm.nih.gov/pmc/blobs/27ef/1903784/b663f3071bba/amjpathol00216-0053-b.jpg
https://cdn.ncbi.nlm.nih.gov/pmc/blobs/27ef/1903784/3ab637f9f200/amjpathol00216-0054-a.jpg
https://cdn.ncbi.nlm.nih.gov/pmc/blobs/27ef/1903784/12281f3c0568/amjpathol00216-0056-a.jpg
https://cdn.ncbi.nlm.nih.gov/pmc/blobs/27ef/1903784/19baff03a8a2/amjpathol00216-0056-b.jpg
https://cdn.ncbi.nlm.nih.gov/pmc/blobs/27ef/1903784/d83a51a3d0bd/amjpathol00216-0057-a.jpg
https://cdn.ncbi.nlm.nih.gov/pmc/blobs/27ef/1903784/5eeedd34af85/amjpathol00216-0057-b.jpg
https://cdn.ncbi.nlm.nih.gov/pmc/blobs/27ef/1903784/b99d76d95157/amjpathol00216-0059-a.jpg
https://cdn.ncbi.nlm.nih.gov/pmc/blobs/27ef/1903784/34bd0773463a/amjpathol00216-0059-b.jpg
https://cdn.ncbi.nlm.nih.gov/pmc/blobs/27ef/1903784/9d7a994945ee/amjpathol00216-0060-a.jpg
https://cdn.ncbi.nlm.nih.gov/pmc/blobs/27ef/1903784/07622544cb28/amjpathol00216-0060-b.jpg

相似文献

1
Pathogenesis of trimethyltin neuronal toxicity. Ultrastructural and cytochemical observations.三甲基锡神经毒性的发病机制。超微结构和细胞化学观察。
Am J Pathol. 1981 Sep;104(3):237-49.
2
Trimethyltin retinopathy. Relationship of subcellular response to neuronal subspecialization.三甲基锡视网膜病变。亚细胞反应与神经元亚专业化的关系。
J Neuropathol Exp Neurol. 1984 Mar;43(2):162-74.
3
Trimethyltin induced pathology in sensory neurons.三甲基锡诱导感觉神经元病变。
Neurobehav Toxicol Teratol. 1983 Nov-Dec;5(6):673-96.
4
Neuropathology of mouse hippocampus in acute trimethyltin intoxication.急性三甲基锡中毒小鼠海马的神经病理学
Neurobehav Toxicol Teratol. 1982 Mar-Apr;4(2):149-56.
5
Early effects of trimethyltin on the dentate gyrus basket cells: a morphological study.三甲基锡对齿状回篮状细胞的早期影响:一项形态学研究。
J Toxicol Environ Health. 1985;16(3-4):641-53. doi: 10.1080/15287398509530770.
6
The trimethyltin syndrome in rats.大鼠的三甲基锡综合征
Neurobehav Toxicol Teratol. 1982 Mar-Apr;4(2):127-33.
7
Evolution of the intracellular changes in neurons caused by trimethyltin.
Neuropathol Appl Neurobiol. 1984 Jul-Aug;10(4):267-83. doi: 10.1111/j.1365-2990.1984.tb00359.x.
8
Hippocampal lesions induced by trimethyltin in the neonatal rat brain.
Neurotoxicology. 1984 Summer;5(2):205-15.
9
On the role of seizure activity in the hippocampal damage produced by trimethyltin.癫痫发作活动在三甲基锡所致海马损伤中的作用
Brain Res. 1986 Mar 5;367(1-2):169-82. doi: 10.1016/0006-8993(86)91590-8.
10
Role of autophagy inhibitors and inducers in modulating the toxicity of trimethyltin in neuronal cell cultures.自噬抑制剂和诱导剂在调节神经细胞培养物中三甲基锡毒性中的作用。
J Neural Transm (Vienna). 2012 Nov;119(11):1295-305. doi: 10.1007/s00702-012-0785-z. Epub 2012 Mar 14.

引用本文的文献

1
Long-lasting increases in GABA receptor subunit levels in hippocampal dentate gyrus of mice with a single systemic injection of trimethyltin.单次全身注射三甲基锡的小鼠海马齿状回中GABA受体亚基水平的持久增加。
Heliyon. 2024 Apr 16;10(9):e29713. doi: 10.1016/j.heliyon.2024.e29713. eCollection 2024 May 15.
2
Brain Region and Sex-specific Changes in Mitochondrial Biogenesis Induced by Acute Trimethyltin Exposure.急性三甲基锡暴露诱导的线粒体生物合成的脑区和性别特异性变化
Clin Psychopharmacol Neurosci. 2022 Aug 31;20(3):474-481. doi: 10.9758/cpn.2022.20.3.474.
3
Delayed Expression of Both GABAR1 and GABAR2 Subunits in Murine Hippocampal Dentate Gyrus After a Single Systemic Injection of Trimethyltin.

本文引用的文献

1
Biochemical studies on the toxicity of tetraethyl lead and other organo-lead compounds.四乙基铅及其他有机铅化合物毒性的生化研究
Br J Ind Med. 1959 Jul;16(3):191-9. doi: 10.1136/oem.16.3.191.
2
Nucleosidediphosphatase activity in the Golgi apparatus and its usefulness for cytological studies.高尔基体中的核苷二磷酸酶活性及其在细胞学研究中的用途。
Proc Natl Acad Sci U S A. 1961 Jun 15;47(6):802-10. doi: 10.1073/pnas.47.6.802.
3
The biochemistry of organotin compounds; the conversion of tetraethyltin into triethyltin in mammals.
三甲基锡单次全身注射后小鼠海马齿状回 GABAAR1 和 GABAAR2 亚基表达延迟。
Neurochem Res. 2022 Sep;47(9):2780-2792. doi: 10.1007/s11064-022-03652-7. Epub 2022 Jun 23.
4
Inhibitors of Lipoxygenase and Cyclooxygenase-2 Attenuate Trimethyltin-Induced Neurotoxicity through Regulating Oxidative Stress and Pro-Inflammatory Cytokines in Human Neuroblastoma SH-SY5Y Cells.脂氧合酶和环氧化酶-2抑制剂通过调节人神经母细胞瘤SH-SY5Y细胞中的氧化应激和促炎细胞因子减轻三甲基锡诱导的神经毒性。
Brain Sci. 2021 Aug 24;11(9):1116. doi: 10.3390/brainsci11091116.
5
Autophagy in trimethyltin-induced neurodegeneration.三甲基锡诱导的神经退行性变中的自噬作用。
J Neural Transm (Vienna). 2020 Jul;127(7):987-998. doi: 10.1007/s00702-020-02210-1. Epub 2020 May 25.
6
Autophagy is Activated during Trimethyltin-Induced Apoptotic Neurodegeneration: A Study in the Rat Hippocampus.自噬在三甲基锡诱导的凋亡性神经退行性变中被激活:在大鼠海马中的研究。
Int J Mol Sci. 2019 Dec 25;21(1):175. doi: 10.3390/ijms21010175.
7
Organotin Compounds Toxicity: Focus on Kidney.有机锡化合物毒性:聚焦于肾脏。
Front Endocrinol (Lausanne). 2018 May 22;9:256. doi: 10.3389/fendo.2018.00256. eCollection 2018.
8
Organotins in Neuronal Damage, Brain Function, and Behavior: A Short Review.有机锡在神经元损伤、脑功能及行为方面的研究综述
Front Endocrinol (Lausanne). 2018 Jan 8;8:366. doi: 10.3389/fendo.2017.00366. eCollection 2017.
9
Ginsenoside Rd as a potential neuroprotective agent prevents trimethyltin injury.人参皂苷Rd作为一种潜在的神经保护剂可预防三甲基锡损伤。
Biomed Rep. 2017 Apr;6(4):435-440. doi: 10.3892/br.2017.864. Epub 2017 Feb 22.
10
Boswellic Acid Improves Cognitive Function in a Rat Model Through Its Antioxidant Activity: - Neuroprotective effect of Boswellic acid.乳香酸通过其抗氧化活性改善大鼠模型的认知功能:乳香酸的神经保护作用。
J Pharmacopuncture. 2017 Mar;20(1):10-17. doi: 10.3831/KPI.2017.20.001.
有机锡化合物的生物化学;四乙基锡在哺乳动物体内转化为三乙基锡。
Biochem J. 1958 Apr;68(4):685-92. doi: 10.1042/bj0680685.
4
Toxic properties of some dialkyl and trialkyl tin salts.某些二烷基和三烷基锡盐的毒性特性。
Br J Ind Med. 1958 Jan;15(1):15-22. doi: 10.1136/oem.15.1.15.
5
Cytochemical differentiation of the Golgi apparatus from GERL.高尔基体相对于GERL的细胞化学分化。
J Histochem Cytochem. 1980 Jan;28(1):82-6. doi: 10.1177/28.1.7351475.
6
The use of potassium ferricyanide in neural fixation.铁氰化钾在神经固定中的应用。
Anat Rec. 1980 Jul;197(3):297-303. doi: 10.1002/ar.1091970304.
7
Effect of triethyl tin on myelination in the developing rat.
J Neurochem. 1981 Jan;36(1):44-52. doi: 10.1111/j.1471-4159.1981.tb02375.x.
8
Electron microscopic studies of the dentate gyrus of the rat. I. Normal structure with special reference to synaptic organization.大鼠齿状回的电子显微镜研究。I. 正常结构,特别涉及突触组织
J Comp Neurol. 1966 Nov;128(3):359-95. doi: 10.1002/cne.901280305.
9
Fine structure and electrolyte analyses of cerebral edema induced by alkyl tin intoxication.
J Neuropathol Exp Neurol. 1963 Jul;22(3):403-13. doi: 10.1097/00005072-196307000-00003.
10
Prolonged epileptic seizures in primates. Ischemic cell change and its relation to ictal physiological events.灵长类动物的长时间癫痫发作。缺血性细胞变化及其与发作期生理事件的关系。
Arch Neurol. 1973 Jan;28(1):10-7. doi: 10.1001/archneur.1973.00490190028002.