Suppr超能文献

结节病之谜。

Enigmas in sarcoidosis.

作者信息

Chesnutt A N

机构信息

Division of Pulmonary and Critical Care Medicine, University of California, San Francisco, School of Medicine 94143-0111, USA.

出版信息

West J Med. 1995 Jun;162(6):519-26.

Abstract

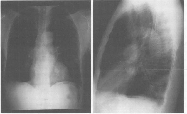
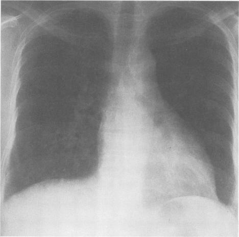
Sarcoidosis is a multisystem granulomatous disorder of unknown cause that presents most frequently in young adults with bilateral hilar adenopathy, pulmonary infiltrates, and skin or eye lesions. The multisystem clinical manifestations of this disease are a diagnostic challenge to all physicians. Although the clinical and pathologic characteristics of sarcoidosis are well described, the decision to treat and the optimal therapy are less well defined. This review focuses on the natural history, clinical manifestations, controversies in therapy, including steroid-sparing agents, and current concepts of how the disease's activity can be monitored.

摘要

结节病是一种病因不明的多系统肉芽肿性疾病,最常见于年轻成年人,表现为双侧肺门淋巴结肿大、肺部浸润以及皮肤或眼部病变。该疾病的多系统临床表现对所有医生来说都是一个诊断挑战。尽管结节病的临床和病理特征已有详尽描述,但关于治疗决策和最佳治疗方法的界定却不够明确。本综述聚焦于结节病的自然病程、临床表现、治疗方面的争议(包括糖皮质激素节省剂)以及目前关于如何监测该疾病活动的理念。

https://cdn.ncbi.nlm.nih.gov/pmc/blobs/e5f4/1022830/1c139bd07c0e/westjmed00058-0034-a.jpg

文献检索

告别复杂PubMed语法,用中文像聊天一样搜索,搜遍4000万医学文献。AI智能推荐,让科研检索更轻松。

立即免费搜索

文件翻译

保留排版,准确专业,支持PDF/Word/PPT等文件格式,支持 12+语言互译。

免费翻译文档

深度研究

AI帮你快速写综述,25分钟生成高质量综述,智能提取关键信息,辅助科研写作。

立即免费体验